زگیل تناسلی در مردان چگونه به وجود میآید؟
زگیل تناسلی یکی از شایعترین بیماریهای مقاربتی در مردان است که به دلیل ابتلا به ویروس پاپیلومای انسانی یا HPV ایجاد میشود. این ویروس باعث رشد برجستگیهای کوچک یا خوشهای در ناحیه تناسلی میشود و میتواند علاوه بر ایجاد مشکلات ظاهری، زمینهساز عوارض جدی در بلندمدت باشد. در این مقاله بهطور کامل و طولانی، علل ایجاد زگیل تناسلی در مردان، علائم، روشهای درمان، پیشگیری و نکات مراقبتی مربوط به این بیماری را بررسی میکنیم.
علت ایجاد زگیل تناسلی در مردان
زگیل تناسلی ناشی از عفونت با ویروس HPV است. این ویروس از طریق تماس مستقیم پوست با پوست در ناحیه تناسلی یا از طریق رابطه جنسی واژینال، مقعدی یا دهانی منتقل میشود. ویروس HPV شامل صدها نوع مختلف است که برخی از آنها کمخطر و برخی پرخطر هستند. عواملی که احتمال ابتلا را افزایش میدهند عبارتند از:
-
داشتن شرکای جنسی متعدد
-
رابطه جنسی محافظتنشده
-
ضعف سیستم ایمنی بدن
-
ابتلا به سایر بیماریهای مقاربتی
انواع HPV و خطرات آن
HPV در مردان نیز به دو دسته تقسیم میشود:
-
انواع کمخطر (Low-risk): معمولاً باعث زگیل تناسلی میشوند و خطر تبدیل به سرطان ندارند.
-
انواع پرخطر (High-risk): میتوانند باعث تغییرات سلولی در نواحی تناسلی و مقعد شوند و در طولانیمدت احتمال ابتلا به سرطانهای مقعد، آلت تناسلی و حلق وجود دارد.
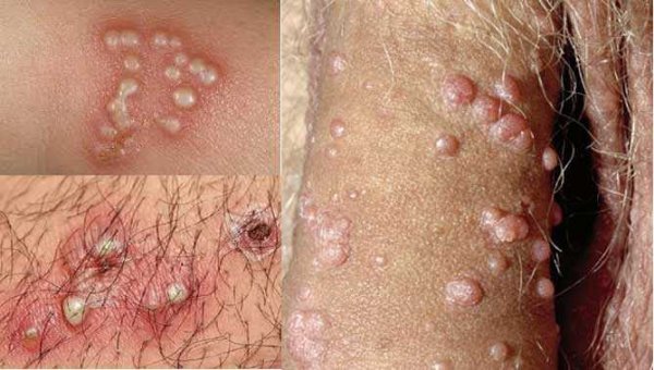
علائم زگیل تناسلی در مردان
علائم زگیل تناسلی در مردان ممکن است بلافاصله بعد از عفونت ظاهر نشوند و ویروس ممکن است ماهها یا حتی سالها بدون علامت باقی بماند. برخی از شایعترین علائم عبارتند از:
-
برجستگیهای کوچک یا خوشهای روی آلت تناسلی، کیسه بیضه یا اطراف مقعد
-
برجستگیهای صاف، زبر یا شبیه گلکلم
-
خارش، سوزش یا تحریک در ناحیه آلوده
-
خونریزی جزئی هنگام تماس یا مقاربت
-
ایجاد ترشحات یا التهاب در ناحیه تناسلی
مراحل رشد زگیل و خطرات آن
پس از ورود ویروس HPV به بدن، سلولهای پوستی آلوده میشوند و ممکن است به تدریج رشد کرده و زگیلها ظاهر شوند. اگرچه زگیلها معمولاً خوشخیم هستند، اما انواع پرخطر HPV میتوانند باعث تغییرات پیشسرطانی در سلولها شوند. این تغییرات در صورت عدم پیگیری میتوانند در بلندمدت منجر به سرطان شوند.
روشهای درمان زگیل تناسلی در مردان
انتخاب روش درمانی بستگی به اندازه، تعداد، محل و شدت ضایعه دارد. روشهای رایج عبارتند از:
درمان دارویی
داروهای موضعی مانند پودوفیلین، ایمیکیمود و اسید تری کلرواستیک میتوانند زگیلها را به مرور از بین ببرند. استفاده از این داروها باید تحت نظر پزشک انجام شود تا آسیب به پوست سالم اطراف ضایعه رخ ندهد.
کرایوتراپی (سرما درمانی)
در این روش زگیلها با نیتروژن مایع منجمد میشوند و از بین میروند. معمولاً چند جلسه درمان نیاز است و این روش کمتهاجمی است.
لیزر درمانی
لیزر برای زگیلهای بزرگ یا مقاوم مناسب است و دقت بالایی دارد. میزان عود در روش لیزر نسبت به سایر روشها کمتر است.
جراحی و الکتروکوتر
در مواردی که زگیلها بزرگ، متعدد یا مقاوم باشند، پزشک ممکن است از جراحی یا سوزاندن با جریان برق استفاده کند.
پیشگیری از زگیل تناسلی
برای کاهش احتمال ابتلا و بازگشت زگیل تناسلی، اقدامات زیر توصیه میشود:
-
واکسیناسیون HPV: این واکسن میتواند در برابر انواع کمخطر و پرخطر ویروس محافظت ایجاد کند.
-
استفاده از کاندوم در تمام روابط جنسی، که تا حد زیادی احتمال انتقال ویروس را کاهش میدهد.
-
کاهش تعداد شرکای جنسی و پرهیز از روابط پرخطر
-
تقویت سیستم ایمنی از طریق تغذیه سالم، ورزش، خواب کافی و مدیریت استرس
-
مراجعه منظم به پزشک برای معاینه و بررسیهای دورهای
اثرات روانی زگیل تناسلی در مردان
وجود زگیل تناسلی میتواند باعث اضطراب، خجالت، کاهش اعتماد به نفس و مشکلات در روابط جنسی شود. مشاوره روانشناسی و آگاهی کامل از روشهای درمان و پیشگیری میتواند به کاهش استرس و مدیریت بهتر این بیماری کمک کند.
جمعبندی
زگیل تناسلی در مردان معمولاً یک بیماری خوشخیم است، اما انواع پرخطر HPV میتوانند زمینهساز تغییرات پیشسرطانی و سرطان شوند. درمانهای دارویی، سرما درمانی، لیزر و جراحی روشهای مؤثری برای کنترل و رفع زگیل هستند. پیشگیری با واکسیناسیون، رعایت بهداشت جنسی و پایش منظم سلامت ناحیه تناسلی، نقش کلیدی در کاهش خطرات این بیماری دارد. آگاهی و اقدام به موقع، کلید کنترل و مدیریت موفق زگیل تناسلی در مردان است.
بهترین دارو برای از بین بردن زگیل تناسلی مردان
زگیل تناسلی یکی از شایعترین عفونتهای مقاربتی در مردان است که توسط ویروس پاپیلومای انسانی یا HPV ایجاد میشود. این بیماری میتواند بر ناحیه آلت تناسلی، کیسه بیضه و اطراف مقعد ظاهر شود و علاوه بر تاثیرات جسمی، باعث ناراحتی روانی و کاهش اعتماد به نفس شود. درمان به موقع زگیل تناسلی اهمیت بالایی دارد زیرا هم از گسترش بیماری جلوگیری میکند و هم احتمال انتقال ویروس به شریک جنسی کاهش مییابد. در این مقاله به صورت کامل و طولانی به بررسی بهترین داروها و روشهای درمان زگیل تناسلی مردان، نحوه مصرف، مدت زمان درمان و نکات مهم پس از درمان پرداخته میشود.
علائم زگیل تناسلی در مردان
قبل از انتخاب درمان، شناسایی دقیق زگیلها ضروری است. زگیل تناسلی در مردان معمولاً به صورت برجستگیهای کوچک، نرم و گوشتی در ناحیه تناسلی ظاهر میشود. ویژگیهای زگیل تناسلی عبارتند از:
-
برآمدگیهای کوچک و گرد یا شبیه گلکلم
-
ممکن است منفرد یا خوشهای باشند پماد الدرا برای زگیل تناسلی
-
رنگ معمولاً مشابه پوست یا کمی تیرهتر
-
سطح آنها ممکن است صاف یا کمی زبر باشد
-
معمولاً بدون درد هستند اما ممکن است خارش یا سوزش ایجاد کنند
در برخی موارد، زگیلها در اطراف مقعد یا زیر پوست کیسه بیضه رشد میکنند و دسترسی به آنها سختتر است.
انواع داروهای موثر در درمان زگیل تناسلی مردان
داروهای موضعی یکی از رایجترین روشهای درمان زگیل تناسلی در مردان هستند. بهترین داروها شامل موارد زیر میشوند:
-
ایمیکویمود (Imiquimod):
ایمیکویمود کرم موضعی است که با تحریک سیستم ایمنی بدن باعث نابودی زگیلها میشود. این دارو معمولاً سه بار در هفته به مدت ۸ تا ۱۶ هفته استفاده میشود. اثر درمانی آن تدریجی است و نیاز به صبر و پیگیری دارد. -
پودوفیلین (Podophyllin) و پودوفیلوکس (Podofilox):
این داروها به صورت محلول یا ژل استفاده میشوند و سلولهای زگیل را از بین میبرند. پودوفیلوکس معمولاً دو بار در روز به مدت سه روز متوالی استفاده شده و سپس یک هفته استراحت داده میشود. دوره درمان ممکن است چندین هفته طول بکشد. -
تریکلرواستیک اسید (TCA):
تریکلرواستیک اسید دارویی شیمیایی است که توسط پزشک بر روی زگیلها اعمال میشود و باعث تخریب آنها میگردد. این روش معمولاً برای زگیلهای کوچک و مقاوم استفاده میشود و جلسات درمانی چند هفتهای ممکن است نیاز باشد. -
کرایوتراپی و لیزر:
هرچند این روشها دارو محسوب نمیشوند، اما در مواردی که زگیلها بزرگ یا مقاوم به درمان دارویی هستند، استفاده میشوند. کرایوتراپی با نیتروژن مایع زگیل را فریز میکند و لیزر با تابش مستقیم زگیلها را از بین میبرد. مدت زمان بهبودی چند هفته است.
نکات مهم در مصرف داروهای موضعی
-
داروها باید تنها بر روی زگیلها و نه پوست سالم اطراف آن استفاده شوند.
-
دستها قبل و بعد از استفاده از دارو شسته شوند تا از انتقال ویروس جلوگیری شود.
-
مصرف دارو طبق دستور پزشک و زمانبندی توصیه شده انجام شود.
-
از تماس جنسی تا زمان بهبودی کامل زگیلها خودداری شود.
-
در صورت مشاهده تحریک پوست، قرمزی شدید یا درد، مصرف دارو باید متوقف و با پزشک مشورت شود.
بهترین دارو برای از بین بردن زگیل تناسلی زنان
مدت زمان درمان زگیل تناسلی با دارو
مدت زمان درمان به نوع دارو، تعداد و اندازه زگیلها و وضعیت سیستم ایمنی بدن مرد بستگی دارد. به طور میانگین:
-
ایمیکویمود: بین ۸ تا ۱۶ هفته
-
پودوفیلوکس: ۴ تا ۶ هفته
-
تریکلرواستیک اسید: چند جلسه طی چند هفته
-
کرایوتراپی و لیزر: ۲ تا ۶ هفته بسته به تعداد جلسات
توجه داشته باشید که حتی پس از حذف زگیلها، ویروس HPV ممکن است در بدن باقی بماند و امکان بازگشت زگیل وجود دارد. پیگیری منظم با پزشک اهمیت بالایی دارد.
راهکارهای افزایش اثربخشی درمان
-
رعایت بهداشت ناحیه تناسلی و خشک نگه داشتن محل زگیلها
-
پرهیز از تماس جنسی تا بهبودی کامل
-
تقویت سیستم ایمنی با تغذیه سالم، ورزش و مدیریت استرس
-
مراجعه منظم به پزشک برای بررسی روند بهبودی و درمانهای تکمیلی در صورت نیاز
پیشگیری از بازگشت زگیل تناسلی
-
واکسیناسیون HPV: واکسن HPV میتواند در پیشگیری از برخی انواع زگیل و سرطان مرتبط با HPV موثر باشد.
-
استفاده از کاندوم: کاهش احتمال انتقال ویروس به شریک جنسی علائم زگیل تناسلی در مردان
-
خودداری از رفتارهای جنسی پرخطر
-
معاینات منظم برای شناسایی زگیلهای جدید
جمعبندی
بهترین دارو برای از بین بردن زگیل تناسلی مردان بستگی به نوع زگیل، اندازه، محل و وضعیت سیستم ایمنی فرد دارد. کرمهایی مانند ایمیکویمود، پودوفیلکس و داروهای شیمیایی مانند تریکلرواستیک اسید از رایجترین روشهای درمانی هستند و درمان میتواند از چند هفته تا چند ماه طول بکشد. رعایت نکات بهداشتی، پرهیز از رابطه جنسی تا بهبودی کامل، تقویت سیستم ایمنی و پیگیری منظم با پزشک از عوامل مهم در اثربخشی درمان و کاهش احتمال بازگشت زگیل محسوب میشوند.
پماد برای درمان زگیل تناسلی مردان
زگیل تناسلی یکی از شایعترین بیماریهای مقاربتی در مردان است که معمولاً توسط ویروس پاپیلومای انسانی (HPV) ایجاد میشود. این بیماری میتواند ظاهر ناخوشایند، خارش و سوزش و گاهی درد ایجاد کند و در برخی موارد زمینهساز عوارض جدیتر مانند ضایعات پیشسرطانی شود. خوشبختانه، زگیل تناسلی در مردان با روشهای دارویی و به ویژه استفاده از پمادها قابل درمان است. در این مقاله بهطور کامل به پمادهای درمان زگیل تناسلی مردان، روش استفاده، مزایا و نکات مراقبتی پس از درمان پرداخته میشود.
پمادهای موضعی رایج برای زگیل تناسلی مردان
پمادها و کرمهای موضعی به طور مستقیم روی ضایعات زگیل اعمال میشوند و با مکانیسمهای مختلف باعث تخریب سلولهای آلوده به HPV و تقویت پاسخ ایمنی موضعی میشوند.
۱. پودوفیلوکس (Podofilox)
پودوفیلوکس یکی از رایجترین پمادهای تجویزی برای درمان زگیل تناسلی مردان است. این پماد به صورت محلول یا ژل موجود است و معمولاً روزی دو بار و به مدت سه روز روی ضایعات اعمال میشود، سپس یک دوره استراحت پنج روزه توصیه میشود و این چرخه تا چهار هفته تکرار میگردد.
مزایای پودوفیلوکس:
-
مؤثر برای زگیلهای کوچک و متوسط
-
قابل استفاده در خانه تحت نظر پزشک
-
کاهش سریع تعداد ضایعات
نکات مهم:
-
نباید روی زخم باز یا پوست سالم اطراف ضایعه استفاده شود
-
ممکن است باعث تحریک یا سوزش موضعی شود
-
رعایت بهداشت دستها بعد از استفاده ضروری است
۲. ایمیکویمود (Imiquimod)
ایمیکویمود پمادی است که با تحریک سیستم ایمنی بدن، پاسخ ضد ویروسی در محل ضایعات ایجاد میکند. این پماد معمولاً سه بار در هفته قبل از خواب روی زگیلها اعمال شده و صبح با آب ولرم شسته میشود.
مزایای ایمیکویمود:
-
افزایش پاسخ ایمنی بدن علیه ویروس HPV عکس زگیل تناسلی مردان
-
کاهش احتمال عود ضایعات
-
مناسب برای ضایعات مقاوم یا متعدد
نکات مهم:
-
ممکن است باعث التهاب، قرمزی یا خارش در محل استفاده شود تجربه کسانی که زگیل تناسلی دارند
-
دوره درمان طولانیتر از پودوفیلوکس است
-
در صورت حساسیت شدید، باید مصرف قطع و با پزشک مشورت شود
۳. تریکلرواستیک اسید (TCA)
تریکلرواستیک اسید یک پماد سوزاننده است که با تخریب بافت زگیل، ضایعات را از بین میبرد. این دارو معمولاً توسط پزشک در کلینیک اعمال میشود و مصرف خانگی آن توصیه نمیشود.
مزایای TCA:
-
مؤثر برای زگیلهای مقاوم یا پر تعداد
-
حذف سریع ضایعات در مطب پزشک
-
مناسب برای زگیلهایی که داروهای موضعی دیگر مؤثر نبودهاند
نکات مهم:
-
استفاده نادرست میتواند باعث سوختگی پوست سالم شود
-
نیازمند پیگیری پزشکی برای جلوگیری از عود و بررسی سلامت ناحیه است
نحوه استفاده صحیح از پمادها
برای دستیابی به بهترین نتیجه از پمادهای درمان زگیل تناسلی، رعایت نکات زیر ضروری است:
-
قبل از استفاده، ناحیه زگیل را با آب ولرم شسته و خشک کنید
-
پماد را دقیقاً روی ضایعه اعمال کنید و از تماس با پوست سالم اطراف ضایعه خودداری کنید
-
پس از مصرف، دستها را کاملاً بشویید
-
از تماس جنسی تا بهبودی کامل ضایعات اجتناب کنید
مراقبتهای پس از درمان
پس از درمان زگیل تناسلی مردان با پماد، مراقبتهای شخصی نقش مهمی در بهبود سریع و جلوگیری از عود دارند:
-
حفظ بهداشت ناحیه تناسلی و شستوشوی منظم با آب و صابون ملایم
-
استفاده از لباس زیر نخی و راحت برای کاهش اصطکاک و تحریک پوست
-
بررسی منظم ضایعات و مراجعه به پزشک در صورت مشاهده زگیل جدید
-
اجتناب از استفاده مشترک حوله، لباس یا وسایل شخصی با دیگران
پیشگیری از عود زگیل تناسلی
برای کاهش احتمال بازگشت ضایعات، اقدامات پیشگیرانه مهم هستند:
-
واکسیناسیون HPV برای پیشگیری از انواع پرخطر و کمخطر ویروس
-
استفاده از کاندوم در روابط جنسی
-
تقویت سیستم ایمنی بدن از طریق تغذیه سالم، ورزش و خواب کافی
-
انجام معاینات پزشکی و غربالگری در صورت سابقه زگیل قیمت پماد الدرا برای زگیل تناسلی
مدت زمان بهبودی
مدت زمان بهبودی بستگی به نوع پماد، تعداد و اندازه زگیلها و پاسخ سیستم ایمنی بدن دارد:
-
پودوفیلوکس: ۴ تا ۶ هفته
-
ایمیکویمود: ۶ تا ۸ هفته
-
TCA: بسته به تعداد جلسات درمان، معمولاً ۱ تا ۳ جلسه
نقش سیستم ایمنی در از بین رفتن زگیل
سیستم ایمنی بدن در کنترل و حذف ویروس HPV نقش کلیدی دارد. بسیاری از مردان مبتلا ممکن است بدون درمان خاص، زگیلهای کوچک خود به خود محو شوند. با این حال، ضایعات مقاوم یا متعدد نیازمند درمان پزشکی هستند.
جمعبندی
پمادهای موضعی مانند پودوفیلوکس، ایمیکویمود و تریکلرواستیک اسید ابزارهای مؤثری برای درمان زگیل تناسلی مردان هستند. انتخاب پماد مناسب بستگی به اندازه، تعداد و محل ضایعات دارد. رعایت دستور پزشک، مراقبتهای پس از درمان، تقویت سیستم ایمنی و پیشگیری از عود ضایعات، کلید موفقیت در درمان زگیل تناسلی مردان است.
آیا زگیل تناسلی به خودی خود از بین میرود؟
زگیل تناسلی یکی از شایعترین عفونتهای ویروسی در دستگاه تناسلی است که توسط ویروس پاپیلومای انسانی (HPV) ایجاد میشود. این بیماری میتواند در زنان و مردان ظاهر شود و علاوه بر ایجاد ضایعات پوستی، زمینهساز مشکلاتی مانند خارش، درد و در برخی موارد ضایعات پیشسرطانی شود. بسیاری از افراد سوال میکنند که آیا زگیل تناسلی میتواند به خودی خود از بین برود یا حتماً نیاز به درمان پزشکی دارد. در این مقاله بهطور جامع به پاسخ این پرسش، مکانیزم خودبهبودی، نقش سیستم ایمنی، روشهای درمان و پیشگیری پرداخته میشود.
زگیل تناسلی چیست و چگونه ایجاد میشود
زگیل تناسلی ناشی از عفونت HPV است. این ویروس بیش از ۱۰۰ نوع دارد که برخی از آنها کمخطر و برخی پرخطر محسوب میشوند. انواع کمخطر معمولاً باعث زگیل و ضایعات پوستی میشوند، در حالی که انواع پرخطر میتوانند زمینهساز سرطان دهانه رحم یا سرطان دستگاه تناسلی شوند.
ویروس HPV از طریق تماس مستقیم جنسی منتقل میشود و ممکن است چند هفته تا چند ماه پس از تماس، ضایعات پوستی ظاهر شوند. ظاهر زگیل تناسلی معمولاً شبیه گوشت اضافی، برآمدگی کوچک یا زائدههای برجسته است که در ناحیه تناسلی، مقعد یا اطراف آن شکل میگیرد.
آیا زگیل تناسلی خودبهخود از بین میرود؟
پاسخ کوتاه: در برخی موارد، بله.
سیستم ایمنی بدن نقش کلیدی در کنترل و از بین بردن ویروس HPV دارد. بسیاری از افراد مبتلا به زگیل تناسلی، بهویژه کسانی که سیستم ایمنی قوی دارند، ممکن است بدون درمان خاص، ضایعات کوچک و کمتعداد خود را طی ماهها یا چند سال از دست بدهند. تحقیقات نشان دادهاند که تقریباً ۳۰ تا ۶۰ درصد زگیلهای تناسلی در افراد سالم طی ۱ تا ۲ سال ممکن است خودبهخود ناپدید شوند.
با این حال، خودبهبودی کامل همیشه رخ نمیدهد و در بسیاری از افراد، زگیلها باقی میمانند یا حتی گسترش مییابند.
عوامل موثر بر خودبهبودی زگیل تناسلی
چند عامل مهم بر احتمال از بین رفتن زگیل تناسلی بدون درمان تأثیر دارند:
-
سیستم ایمنی بدن: افراد با سیستم ایمنی قوی احتمال بیشتری برای بهبود خودبهخود دارند.
-
نوع HPV: انواع کمخطر ویروس بیشتر احتمال دارند بدون درمان محو شوند، در حالی که انواع پرخطر کمتر خودبهخود از بین میروند.
-
سن و وضعیت سلامت کلی: افراد جوان و سالم معمولاً پاسخ ایمنی بهتری دارند. پماد برای درمان زگیل تناسلی مردان
-
شیوه زندگی: تغذیه مناسب، خواب کافی، کاهش استرس و پرهیز از دخانیات میتواند نقش موثری در بهبود ضایعات داشته باشد.

محدودیت خودبهبودی زگیل تناسلی
با وجود احتمال خودبهبودی، چند نکته مهم وجود دارد:
-
حتی اگر زگیل از بین برود، ویروس HPV ممکن است در بدن باقی بماند و در شرایط خاص دوباره فعال شود.
-
زگیلهای بزرگ، مقاوم یا متعدد معمولاً خودبهخود از بین نمیروند و نیازمند درمان پزشکی هستند.
-
عدم درمان زگیلهای پرخطر میتواند منجر به ضایعات پیشسرطانی یا سرطان شود.
روشهای درمان زگیل تناسلی
برای افرادی که زگیلها خودبهخود از بین نمیروند یا ضایعات باعث ناراحتی، درد یا نگرانیهای روانی میشوند، درمان پزشکی لازم است. روشهای درمان شامل موارد زیر است:
درمان دارویی موضعی
-
پودوفیلوکس: محلول یا ژل موضعی برای ضایعات کوچک
-
ایمیکویمود: تحریک سیستم ایمنی برای مقابله با HPV
-
تریکلرواستیک اسید: سوزاندن سلولهای ضایعه
درمان فیزیکی
-
کرایوتراپی: منجمد کردن ضایعات با نیتروژن مایع
-
لیزر درمانی: از بین بردن دقیق زگیلها با پرتو لیزر
-
جراحی برش: برای زگیلهای بزرگ و مقاوم
درمان ترکیبی
ترکیب داروهای موضعی و روشهای فیزیکی در بسیاری از موارد بهترین نتیجه را ارائه میدهد و احتمال بازگشت ضایعات را کاهش میدهد. تقویت سیستم ایمنی بدن برای درمان زگیل تناسلی
مراقبتهای پس از درمان
-
حفظ بهداشت ناحیه تناسلی
-
استفاده از لباس زیر نخی و راحت
-
پرهیز از تماس جنسی تا بهبودی کامل
-
مراجعه منظم به پزشک برای بررسی عود یا ضایعات جدید
پیشگیری از زگیل تناسلی
-
واکسیناسیون HPV
-
استفاده از کاندوم در روابط جنسی
-
تقویت سیستم ایمنی بدن از طریق تغذیه، ورزش و مدیریت استرس
جمعبندی
زگیل تناسلی ممکن است در برخی افراد با سیستم ایمنی قوی خودبهخود از بین برود، اما این امر همیشه اتفاق نمیافتد و ضایعات مقاوم یا متعدد نیازمند درمان پزشکی هستند. رعایت مراقبتهای پس از درمان، تقویت سیستم ایمنی و اقدامهای پیشگیرانه مانند واکسیناسیون HPV و غربالگری منظم، بهترین راهکارها برای کنترل و پیشگیری از عود زگیل تناسلی هستند.












دیدگاه کاربران
مطلب بسیار مفید و آموزنده بود، ممنون!
امیدوارم پستهای بیشتری در این زمینه ببینیم.
ارسال دیدگاه