آیا تبخال تناسلی از طریق استخر منتقل میشود؟
تبخال تناسلی یکی از بیماریهای شایع ویروسی مقاربتی است که توسط ویروس هرپس سیمپلکس (HSV) ایجاد میشود. این ویروس به دو نوع HSV-1 و HSV-2 تقسیم میشود که نوع دوم بیشتر با ناحیه تناسلی مرتبط است. یکی از سوالات متداول افراد این است که آیا این بیماری میتواند از طریق استخر یا محیطهای آبی عمومی منتقل شود یا خیر. در این مقاله بهطور کامل به این موضوع پرداخته میشود و نکات علمی و پیشگیری به صورت جامع توضیح داده میشوند.
ویروس HSV و نحوه انتقال آن
ویروس HSV عمدتاً از طریق تماس مستقیم با پوست یا مخاط آلوده منتقل میشود. شایعترین راه انتقال تبخال تناسلی، تماس جنسی بدون محافظت با فرد آلوده است. ویروس میتواند در زمان وجود ضایعات فعال روی پوست یا حتی در غیاب ضایعات ظاهری منتقل شود. استخر و زگیل تناسلی
ویروس HSV برای بقا نیاز به محیط مرطوب و دمای بدن انسان دارد. خارج از بدن و در محیطهای خشک یا کلردار به سرعت غیرفعال میشود. این نکته اهمیت بالایی دارد زیرا نشان میدهد که تماس با آب استخر یا سطوح مرطوب عمومی به ندرت باعث انتقال تبخال تناسلی میشود.
شکل ضایعات و خطر انتقال
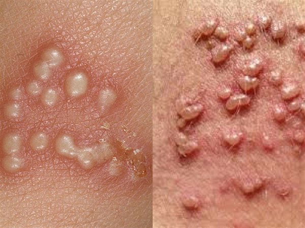
ضایعات تبخال تناسلی در زنان و مردان به صورت تاولهای کوچک و دردناک ظاهر میشوند که حاوی مایع ویروسی هستند. تماس مستقیم با این تاولها یا ترشحات آنها میتواند باعث انتقال ویروس شود. بنابراین برای انتقال ویروس، حضور ضایعه فعال و تماس مستقیم لازم است.
در شرایط استخر یا آب عمومی، حتی اگر فرد آلوده وارد آب شود، ویروس به سرعت توسط کلر یا محیط آب از بین میرود. بنابراین تماس تصادفی با آب آلوده معمولاً انتقال ویروس را ایجاد نمیکند.
آیا استخر میتواند منبع انتقال باشد؟
مطالعات علمی نشان میدهند که HSV در محیطهای کلردار یا آبهای عمومی بسیار حساس است و معمولاً تنها چند دقیقه میتواند در آب زنده بماند. استخرهای استاندارد دارای سطح مناسبی از کلر و مواد ضدعفونیکننده هستند که ویروس را به سرعت غیر فعال میکنند.
با این حال، در شرایط خاص و غیرمعمول، ریسک انتقال وجود دارد. به عنوان مثال:
-
تماس مستقیم با ضایعات فعال فرد آلوده و آب آلوده بدون کلر یا ضدعفونی مناسب
-
استفاده از جکوزیها یا آبگرمهای کم کلر
-
وجود زخم یا خراش باز در ناحیه تناسلی فرد سالم
این شرایط بسیار نادر هستند و عملاً استخرهای عمومی استاندارد ایمن محسوب میشوند.
علائم تبخال تناسلی و اهمیت تشخیص
تبخال تناسلی ممکن است باعث خارش، سوزش و درد در ناحیه تناسلی شود و ضایعات پوستی قرمز یا تاولدار ایجاد کند. در برخی موارد، ترشحات غیرطبیعی واژینال، تورم غدد لنفاوی کشاله ران، درد لگن و تب خفیف نیز مشاهده میشوند. تشخیص سریع بیماری اهمیت بالایی دارد زیرا امکان درمان دارویی و کاهش ریسک انتقال به شریک جنسی فراهم میشود.
روشهای پیشگیری از تبخال تناسلی
برای کاهش ریسک انتقال تبخال تناسلی، رعایت نکات زیر توصیه میشود: بیماری هایی که از طریق استخر منتقل میشود
-
خودداری از تماس جنسی با فردی که ضایعات فعال دارد
-
استفاده از کاندوم در تمام روابط جنسی ایا تبخال تناسلی از طریق دستشویی منتقل میشود
-
رعایت بهداشت فردی و شستشوی دستها پس از تماس با ضایعات
-
پرهیز از تماس مستقیم ضایعات با دیگران
-
تقویت سیستم ایمنی بدن با تغذیه مناسب، ورزش منظم و خواب کافی
-
مراجعه به پزشک در صورت مشاهده علائم اولیه برای درمان به موقع
نقش سیستم ایمنی و مراقبت فردی
سیستم ایمنی نقش کلیدی در کنترل تبخال تناسلی دارد. افرادی که سیستم ایمنی ضعیف دارند، ممکن است دفعات عود بیشتری را تجربه کنند و شدت ضایعات در آنها بیشتر باشد. تغذیه مناسب شامل مواد مغذی مانند ویتامین C، ویتامین E، زینک و پروتئین میتواند در تقویت سیستم ایمنی موثر باشد. همچنین خواب کافی، مدیریت استرس و ورزش منظم به کاهش ریسک فعال شدن مجدد ویروس کمک میکند.
جمعبندی
تبخال تناسلی عمدتاً از طریق تماس جنسی مستقیم منتقل میشود و انتقال آن از طریق استخر یا محیطهای آبی عمومی بسیار نادر است. استخرهای عمومی استاندارد که کلر و مواد ضدعفونیکننده کافی دارند، عملاً ایمن محسوب میشوند. با این حال، رعایت بهداشت فردی و پیشگیری در تماس با افراد آلوده همچنان اهمیت دارد. تشخیص به موقع و درمان دارویی میتواند درد و شدت علائم را کاهش داده و از انتقال بیماری به دیگران جلوگیری کند.

آیا تبخال تناسلی از طریق دستشویی منتقل میشود؛ بررسی کامل و علمی
تبخال تناسلی یکی از بیماریهای شایع مقاربتی است که توسط ویروس هرپس سیمپلکس (HSV) ایجاد میشود. این بیماری میتواند باعث زخم، تاول و سوزش در ناحیه تناسلی شود و بسیاری از افراد مبتلا حتی بدون داشتن علائم، قادر به انتقال ویروس هستند. یکی از سوالات پرتکرار افراد این است که آیا ویروس تبخال تناسلی میتواند از طریق دستشویی، توالت عمومی یا سطوح آلوده منتقل شود. پاسخ به این سوال نیازمند بررسی دقیق ویژگیهای ویروس، راههای انتقال و نکات پیشگیری است.
ویژگیهای ویروس هرپس سیمپلکس
ویروس HSV دو نوع اصلی دارد: نوع ۱ (HSV-1) که معمولاً باعث تبخال دهانی میشود و نوع ۲ (HSV-2) که عامل عمده تبخال تناسلی است. این ویروس از طریق تماس مستقیم با پوست یا غشاهای مخاطی فرد آلوده منتقل میشود. ویروس خارج از بدن و روی سطوح خشک و سرد دوام چندانی ندارد و معمولاً نمیتواند برای مدت طولانی زنده بماند.
راههای اصلی انتقال تبخال تناسلی
تبخال تناسلی عمدتاً از طریق تماس جنسی منتقل میشود، که شامل موارد زیر است:
-
تماس واژینال، مقعدی یا دهانی با فرد مبتلا
-
تماس با زخمهای فعال یا ترشحات حاوی ویروس
-
انتقال از مادر به نوزاد هنگام زایمان طبیعی در صورت وجود زخم فعال
انتقال از طریق دستشویی و سطوح آلوده
مطالعات علمی نشان دادهاند که احتمال انتقال تبخال تناسلی از طریق توالت عمومی، دستشویی، حوله یا لباس بسیار پایین است. دلیل این موضوع عبارت است از:
-
ویروس HSV خارج از بدن و روی سطوح خشک سریعاً غیرفعال میشود.
-
تماس تصادفی پوست سالم با سطوح آلوده معمولاً کافی برای ابتلا نیست، مگر اینکه پوست دچار خراش یا زخم باشد. ایا زگیل تناسلی از راه دهان منتقل می شود
-
شستشوی دستها و رعایت بهداشت بهطور مؤثر خطر انتقال از سطوح را کاهش میدهد.
بنابراین، استفاده از دستشویی عمومی یا تماس کوتاه با سطوح آلوده به تنهایی معمولاً منجر به ابتلا به تبخال تناسلی نمیشود، مگر شرایط بسیار خاص و نادری وجود داشته باشد.
نقش بهداشت فردی در پیشگیری
رعایت بهداشت فردی و عمومی نقش مهمی در کاهش خطر ابتلا به ویروسهای مختلف دارد. توصیههای اصلی شامل موارد زیر است:
-
شستشوی دستها با آب و صابون پس از استفاده از دستشویی
-
استفاده از دستمال یکبار مصرف یا تمیز کردن سطوح قبل از تماس
-
خودداری از تماس مستقیم با زخمها یا ترشحات افراد دیگر انتقال ویروس hpv از طریق استخر
-
استفاده از کاندوم و محافظت در روابط جنسی برای جلوگیری از انتقال ویروس
نکات مهم در محیطهای عمومی
در محیطهایی مانند سرویسهای بهداشتی عمومی، سطوح ممکن است آلوده به میکروبها باشند، اما احتمال انتقال تبخال تناسلی بسیار پایین است. رعایت نکات بهداشتی ساده مانند استفاده از صندلی توالت یکبار مصرف، شستشوی دستها و خشک کردن کامل آنها میتواند ریسک ابتلا به انواع عفونتها، حتی اگر نادر، را به حداقل برساند.
علائم تبخال تناسلی در زنان و مردان
در صورت ابتلا، علائم معمولاً شامل تاولها و زخمهای دردناک در ناحیه تناسلی، سوزش و خارش، درد هنگام ادرار و در موارد شدید تب و خستگی عمومی است. شناخت علائم و مراجعه به پزشک برای تشخیص و درمان زودهنگام اهمیت زیادی دارد.
درمان تبخال تناسلی
تبخال تناسلی درمان قطعی ندارد اما داروهای ضدویروسی مانند آسیکلوویر، والاسیکلوویر و فامسیکلوویر میتوانند شدت علائم را کاهش دهند و دوره فعال بیماری را کوتاه کنند. استفاده منظم از داروها تحت نظر پزشک، مراقبتهای روزانه و رعایت سبک زندگی سالم میتواند دفعات عود بیماری را کاهش دهد.
نتیجهگیری
احتمال انتقال تبخال تناسلی از طریق دستشویی یا سطوح آلوده بسیار پایین است. ویروس HSV عمدتاً از طریق تماس مستقیم با زخمها یا ترشحات منتقل میشود و خارج از بدن دوام زیادی ندارد. رعایت بهداشت فردی، شستشوی دستها و پرهیز از تماس مستقیم با زخمهای فعال، اصلیترین راههای پیشگیری هستند. توجه به علائم بیماری و مراجعه سریع به پزشک میتواند به کنترل عفونت و کاهش خطر انتقال به شریک جنسی کمک کند.
انتقال تبخال تناسلی از طریق لباس
تبخال تناسلی یکی از بیماریهای مقاربتی شایع است که توسط ویروس HSV-1 یا HSV-2 ایجاد میشود. این ویروس عمدتاً از طریق تماس مستقیم با ضایعات فعال، مخاط یا ترشحات فرد آلوده منتقل میشود. با این حال، بسیاری از افراد نگران این هستند که آیا این ویروس میتواند از طریق لباس منتقل شود یا خیر. در این مقاله بهصورت جامع بررسی میکنیم که انتقال تبخال تناسلی از طریق لباس تا چه اندازه ممکن است، چه شرایطی میتواند خطر انتقال را افزایش دهد و چگونه میتوان از ابتلا جلوگیری کرد.
ماهیت ویروس تبخال تناسلی
ویروس تبخال تناسلی بسیار حساس است و برای زنده ماندن نیاز به شرایط خاص دارد. ویروس خارج از بدن، در محیطهای خشک یا روی سطوح، به سرعت غیر فعال میشود. بنابراین تماس با لباس، حوله یا ملحفه به ندرت منجر به انتقال بیماری میشود مگر اینکه لباس تازه و مرطوب از ترشحات ضایعه آلوده باشد.
ویروس تبخال تمایل دارد در نواحی مرطوب و مخاطی مانند واژن، آلت تناسلی یا مقعد رشد کند. ضایعات فعال ویروسدار حاوی ذرات ویروسی هستند که با تماس مستقیم پوست یا مخاط فرد سالم میتوانند بیماری را منتقل کنند.
احتمال انتقال از طریق لباس
انتقال تبخال تناسلی از طریق لباس بسیار کم است. دلایل این امر عبارتند از: انتقال تبخال تناسلی از طریق توالت فرنگی
-
خشک شدن ترشحات ویروسی: ویروس خارج از بدن به سرعت غیر فعال میشود، بنابراین لباس خشک یا لباس شسته شده معمولاً ناقل ویروس نیست.
-
تماس غیرمستقیم: برای انتقال، لباس باید تازه آلوده باشد و تماس مستقیم با پوست یا مخاط فرد سالم ایجاد شود.
با این حال، در شرایط خاص، احتمال انتقال وجود دارد:
-
لباس تازه و مرطوب با ترشحات ضایعه آلوده در تماس مستقیم با ناحیه تناسلی فرد سالم باشد.
-
لباس برای مدت کوتاهی پس از تماس با ضایعه به فرد دیگر منتقل شود.
این شرایط نادر هستند و به طور معمول انتقال از طریق لباس دیده نمیشود.
تفاوت انتقال از لباس با تماس مستقیم
بیشترین میزان انتقال تبخال تناسلی از طریق:
-
تماس جنسی محافظت نشده: از جمله رابطه مقعدی، واژینال یا دهانی با فرد مبتلا.
-
تماس مستقیم با ضایعات فعال: لمس ضایعات باز و سپس تماس با مخاط یا پوست فرد سالم. انتقال زگیل تناسلی از طریق شلنگ دستشویی
لباس و وسایل شخصی تنها در صورتی خطرناک هستند که تازه و مرطوب از ترشحات ویروسی باشند، و حتی در این شرایط هم احتمال بسیار پایین است.
نکات پیشگیری در استفاده از لباس و ملحفه
برای کاهش هر گونه ریسک انتقال، رعایت نکات زیر توصیه میشود:
-
لباسها و ملحفهها را با آب گرم و مواد شوینده بشویید تا ویروس کاملاً غیر فعال شود. ایا زگیل تناسلی با کاندوم منتقل می شود
-
از اشتراک گذاشتن لباس زیر و حوله با دیگران اجتناب کنید.
-
اگر فرد مبتلا ضایعات فعال دارد، از تماس مستقیم پوست با دیگران خودداری کند.
-
خشک کردن کامل لباسها و ملحفهها قبل از استفاده دوباره اهمیت زیادی دارد.
نکات مهم برای افراد مبتلا
افراد مبتلا به تبخال تناسلی باید:
-
در زمان فعال بودن ضایعات، از رابطه جنسی محافظتشده یا اجتناب کامل از تماس جنسی استفاده کنند.
-
از تماس مستقیم پوست آلوده با دیگران حتی از طریق لباس مرطوب خودداری کنند.
-
درمان ضدویروسی را طبق تجویز پزشک رعایت کنند تا شدت و مدت ضایعات کاهش یابد.
جمعبندی
انتقال تبخال تناسلی از طریق لباس بسیار نادر است و معمولاً نیازی به نگرانی در این زمینه نیست. اصلیترین مسیر انتقال، تماس مستقیم با ضایعات فعال یا ترشحات آلوده است. با رعایت نکات بهداشتی مانند شستشوی مناسب لباسها و ملحفهها، اجتناب از اشتراکگذاری لباس زیر و رعایت دستورات پزشکی، میتوان خطر انتقال بیماری را به حداقل رساند.
با توجه به ماهیت ویروس و حساسیت آن به محیط، لباسهای خشک، شسته شده و فاصلهدار از ضایعات فعال، هیچ خطری برای انتقال تبخال تناسلی ایجاد نمیکنند. بنابراین تمرکز اصلی بر پیشگیری از تماس مستقیم و رعایت بهداشت فردی باید باشد.
جلوگیری از انتقال تبخال تناسلی
تبخال تناسلی یک بیماری ویروسی شایع است که توسط ویروس هرپس سیمپلکس (HSV) ایجاد میشود. این بیماری معمولاً از طریق تماس جنسی منتقل میشود و میتواند علائم ناراحتکنندهای مانند زخمهای کوچک، خارش و سوزش در ناحیه تناسلی ایجاد کند. پیشگیری از انتقال تبخال تناسلی اهمیت زیادی دارد، زیرا این ویروس قابل درمان کامل نیست و تنها میتوان علائم آن را کنترل کرد. در این مقاله به صورت جامع روشهای جلوگیری از انتقال تبخال تناسلی و راهکارهای موثر برای کاهش خطر ابتلا را بررسی میکنیم.
راههای اصلی انتقال تبخال تناسلی
تبخال تناسلی عمدتاً از طریق تماس مستقیم پوست با پوست فرد آلوده منتقل میشود. این تماس معمولاً شامل تماس جنسی واژینال، مقعدی یا دهانی است. همچنین ویروس میتواند از طریق ترشحات آلوده یا زخمهای فعال منتقل شود. حتی در مواردی که علائم ظاهری وجود ندارد، امکان انتقال ویروس از طریق تماس جنسی وجود دارد. بنابراین، شناخت دقیق راههای انتقال برای پیشگیری از ابتلا اهمیت زیادی دارد.
استفاده از محافظهای جنسی
یکی از مهمترین روشهای پیشگیری از انتقال تبخال تناسلی استفاده صحیح و مستمر از کاندوم است. کاندومهای لاتکس میتوانند تا حد زیادی خطر انتقال ویروس را کاهش دهند، هرچند که این کاهش خطر کامل نیست زیرا ممکن است مناطقی از پوست که در تماس مستقیم هستند، محافظت نشوند. استفاده از محافظهای دهانی هنگام انجام رابطه دهانی نیز میتواند به کاهش خطر ابتلا کمک کند.
اجتناب از رابطه جنسی در زمان فعال بودن علائم
افرادی که تبخال تناسلی فعال دارند، به شدت ناقل ویروس هستند. زخمها و تاولهای فعال بیشترین میزان ویروس را دارند و تماس با آنها میتواند منجر به انتقال سریع ویروس شود. بنابراین، پرهیز از رابطه جنسی و تماس با شریک جنسی در زمان وجود زخم یا علائم فعال تبخال یکی از موثرترین راهها برای جلوگیری از انتقال است.
اطلاعرسانی به شریک جنسی
صحبت کردن صادقانه با شریک جنسی درباره وضعیت ابتلا به تبخال تناسلی بسیار مهم است. اطلاع دادن به شریک جنسی به او این امکان را میدهد که اقدامات پیشگیرانه مانند استفاده از کاندوم یا پرهیز از رابطه جنسی در زمان فعال بودن علائم را رعایت کند. این اقدام میتواند به کاهش قابل توجه خطر انتقال ویروس کمک کند.
داروهای ضد ویروس
داروهای ضد ویروس مانند آسیکلوویر، والاسیکلوویر و فامسیکلوویر میتوانند به کاهش تعداد و شدت شیوعهای تبخال کمک کنند. مصرف منظم داروهای ضد ویروس توسط فرد مبتلا، حتی در زمان عدم وجود علائم، میتواند خطر انتقال ویروس به شریک جنسی را کاهش دهد. این روش به ویژه در افرادی که به طور مکرر دچار شیوع میشوند، اهمیت بیشتری دارد.
رعایت بهداشت شخصی
رعایت بهداشت شخصی نیز نقش مهمی در جلوگیری از انتقال تبخال تناسلی دارد. شستشوی منظم دستها، استفاده از حوله و وسایل شخصی جداگانه و جلوگیری از تماس با زخمها میتواند خطر انتشار ویروس را کاهش دهد. همچنین تمیز نگه داشتن ناحیه تناسلی و اجتناب از لمس زخمها یا ترشحات فعال به محافظت از دیگران کمک میکند.
پیشگیری در روابط جنسی دهانی
تبخال میتواند از دهان به ناحیه تناسلی و بالعکس منتقل شود. برای کاهش این خطر، استفاده از محافظهای دهانی، اجتناب از رابطه دهانی در زمان وجود تاول یا زخم در دهان و رعایت بهداشت دهان و دندان توصیه میشود. همچنین خودداری از تماس مستقیم با زخمهای دهانی یا نواحی آلوده میتواند شانس ابتلا را کاهش دهد.
تقویت سیستم ایمنی
سیستم ایمنی قوی میتواند به کاهش شدت و دفعات شیوع تبخال کمک کند. تغذیه سالم، ورزش منظم، خواب کافی و مدیریت استرس عواملی هستند که به حفظ سلامت سیستم ایمنی کمک میکنند. با سیستم ایمنی قویتر، بدن توانایی بهتری برای کنترل ویروس دارد و احتمال انتقال آن نیز کاهش مییابد.
پرهیز از استفاده مشترک وسایل شخصی
استفاده از وسایل شخصی مشترک مانند حوله، لباس زیر یا وسایل بهداشتی میتواند خطر انتقال تبخال را افزایش دهد. هرچند انتقال ویروس از طریق وسایل غیرمستقیم کمتر رایج است، اما رعایت این نکته میتواند به پیشگیری اضافی کمک کند.
آموزش و آگاهیبخشی
آگاهی از علائم تبخال، راههای انتقال و روشهای پیشگیری نقش بسیار مهمی در کاهش شیوع این بیماری دارد. آموزش به افراد در مورد رعایت بهداشت، استفاده از محافظهای جنسی و پرهیز از تماس در زمان فعال بودن علائم میتواند به کاهش قابل توجه ابتلا کمک کند.
نتیجهگیری
تبخال تناسلی یک بیماری شایع و قابل انتقال است که پیشگیری از آن اهمیت بالایی دارد. استفاده از کاندوم و محافظهای دهانی، پرهیز از رابطه جنسی در زمان فعال بودن علائم، مصرف داروهای ضد ویروس، رعایت بهداشت شخصی، تقویت سیستم ایمنی و اطلاعرسانی به شریک جنسی از مهمترین روشهای جلوگیری از انتقال این بیماری هستند. با رعایت این نکات، میتوان خطر ابتلا و انتشار تبخال تناسلی را به حداقل رساند و سلامت فردی و شریک جنسی را حفظ کرد.
آیا تبخال تناسلی از زن به مرد منتقل میشود؟
تبخال تناسلی یکی از بیماریهای مقاربتی شایع است که توسط ویروس هرپس سیمپلکس (HSV) ایجاد میشود. این ویروس به دو نوع HSV-1 و HSV-2 تقسیم میشود که نوع دوم بیشترین شیوع را در ناحیه تناسلی دارد. یکی از سوالات رایج افراد این است که آیا تبخال تناسلی میتواند از زن به مرد منتقل شود یا خیر. در این مقاله بهصورت کامل و علمی به این موضوع پرداخته میشود و نکات مهم پیشگیری و درمان آن نیز توضیح داده میشود.
نحوه انتقال تبخال تناسلی
ویروس HSV عمدتاً از طریق تماس مستقیم پوست یا مخاط آلوده منتقل میشود. شایعترین مسیر انتقال تبخال تناسلی، رابطه جنسی بدون محافظت است. ویروس میتواند از ضایعات فعال روی پوست یا حتی در غیاب ضایعات ظاهری منتقل شود.
در زنان، ضایعات تبخال ممکن است در ناحیه فرج، واژن، دهانه رحم یا اطراف آن ظاهر شوند. این ضایعات حاوی مایع ویروسی هستند و تماس مستقیم با آنها میتواند باعث انتقال ویروس به شریک جنسی مرد شود.
علائم تبخال تناسلی در زنان و مردان
در زنان، تبخال تناسلی ممکن است باعث خارش، سوزش، درد هنگام ادرار کردن و ترشحات غیرطبیعی شود. ضایعات پوستی به شکل تاولهای کوچک و دردناک ظاهر میشوند. در مردان، علائم مشابه شامل تاول یا زخم در آلت تناسلی، درد یا سوزش و تورم غدد لنفاوی کشاله ران است.
نکته مهم این است که در برخی افراد، ویروس بدون ایجاد ضایعات قابل مشاهده فعال میماند و میتواند بدون علائم انتقال یابد. بنابراین حتی در غیاب زخم یا تاول، احتمال انتقال ویروس وجود دارد.
میزان ریسک انتقال از زن به مرد
انتقال تبخال تناسلی از زن به مرد ممکن است در شرایط زیر افزایش یابد:
-
تماس جنسی بدون استفاده از کاندوم یا سایر روشهای محافظت
-
وجود ضایعات فعال و باز در ناحیه تناسلی زن
-
تماس طولانی یا متعدد با ناحیه آلوده
مطالعات نشان دادهاند که احتمال انتقال تبخال از زن به مرد در طول مدت فعال بودن ضایعات نسبتاً بالاست و مردان باید برای پیشگیری از ابتلا، رعایت محافظت کامل داشته باشند.
پیشگیری از انتقال تبخال تناسلی
برای کاهش ریسک انتقال تبخال تناسلی از زن به مرد، اقدامات زیر توصیه میشود:
-
استفاده از کاندوم در تمام روابط جنسی ایا تبخال تناسلی از طریق دستشویی منتقل میشود
-
خودداری از رابطه جنسی در زمان وجود ضایعات فعال
-
شستشوی دستها و رعایت بهداشت فردی پس از تماس با ناحیه آلوده
-
مشاوره با پزشک و استفاده از داروهای ضدویروسی در صورت نیاز
-
اطلاعرسانی به شریک جنسی و هماهنگی برای پیشگیری
درمان و مدیریت تبخال تناسلی
اگر مردی پس از تماس با فرد مبتلا به تبخال، علائمی مشاهده کند، باید سریعاً به پزشک مراجعه کند. درمان شامل داروهای ضدویروسی مانند آسیکلوویر، والاسیکلوویر و فامسیکلوویر است که میتوانند شدت علائم را کاهش داده و دوره بیماری را کوتاه کنند. همچنین داروهای پیشگیرانه میتوانند دفعات عود تبخال را کاهش دهند.
نقش سیستم ایمنی در انتقال و شدت بیماری
سیستم ایمنی بدن نقش مهمی در کنترل ویروس HSV دارد. افرادی که سیستم ایمنی ضعیفی دارند، احتمال ابتلای شدیدتر یا دفعات عود بیشتر دارند. تغذیه مناسب، ورزش منظم و خواب کافی میتوانند به تقویت سیستم ایمنی کمک کنند و ریسک انتقال و شدت بیماری را کاهش دهند.
جمعبندی
انتقال تبخال تناسلی از زن به مرد امکانپذیر است و عمدتاً از طریق تماس مستقیم با ضایعات فعال یا ترشحات آلوده صورت میگیرد. حتی در غیاب علائم ظاهری، ویروس میتواند منتقل شود، بنابراین رعایت اقدامات پیشگیرانه ضروری است. استفاده از کاندوم، پرهیز از رابطه جنسی در زمان ضایعات فعال و مشاوره پزشکی میتوانند از ابتلا جلوگیری کنند.










دیدگاه کاربران
مطلب بسیار مفید و آموزنده بود، ممنون!
امیدوارم پستهای بیشتری در این زمینه ببینیم.
ارسال دیدگاه