هزینه کرایوتراپی زگیل تناسلی چقدر است؟
کرایوتراپی یکی از روشهای پرکاربرد و موثر برای درمان زگیل تناسلی است که با استفاده از سرمای شدید و نیتروژن مایع انجام میشود. این روش به دلیل سرعت بالا، غیرتهاجمی بودن و درصد موفقیت زیاد، طرفداران بسیاری دارد. یکی از پرسشهای رایج افرادی که قصد انتخاب این روش درمانی را دارند، میزان هزینه کرایوتراپی زگیل تناسلی است. در این مقاله به صورت کامل و طولانی، عوامل موثر بر هزینه، محدوده قیمتی، مقایسه با سایر روشها و نکات مهم در انتخاب کلینیک یا پزشک بررسی میشود.
عوامل موثر بر هزینه کرایوتراپی زگیل تناسلی
هزینه کرایوتراپی تنها به یک عامل وابسته نیست، بلکه مجموعهای از فاکتورها میتواند بر قیمت نهایی تأثیر بگذارد. برخی از مهمترین عوامل عبارتاند از:
تعداد و اندازه زگیلها
هرچه تعداد زگیلها بیشتر باشد یا اندازه آنها بزرگتر باشد، زمان و مواد بیشتری برای درمان نیاز است. در نتیجه هزینه کرایوتراپی بالاتر خواهد رفت.
محل قرارگیری زگیلها
زگیلهای تناسلی میتوانند در نواحی مختلف دستگاه تناسلی یا اطراف مقعد ایجاد شوند. زگیلهایی که در نواحی حساس یا داخلی قرار دارند، نیازمند دقت بیشتری هستند و معمولاً هزینه درمان آنها بیشتر از زگیلهای سطحی است.
تعداد جلسات درمانی
در برخی موارد، یک جلسه کرایوتراپی کافی است، اما برای زگیلهای متعدد یا مقاوم، ممکن است چندین جلسه درمانی نیاز باشد. به طور طبیعی هر جلسه هزینه جداگانهای دارد که روی قیمت نهایی تاثیرگذار است.
تجربه و تخصص پزشک
کلینیکهایی که توسط پزشکان باتجربه و متخصص پوست و مو یا اورولوژی اداره میشوند، معمولاً هزینه بیشتری دریافت میکنند، اما کیفیت و امنیت درمان بالاتر خواهد بود.
موقعیت جغرافیایی کلینیک
در شهرهای بزرگ و مناطق مرکزی، هزینه کرایوتراپی معمولاً بیشتر از شهرهای کوچکتر است. به طور مثال در تهران هزینه این روش درمانی بیشتر از شهرستانهای کوچک است. مراقبت های بعد از لیزر زگیل تناسلی
نوع تجهیزات و مواد مصرفی
استفاده از دستگاههای پیشرفتهتر و مواد با کیفیتتر مانند نیتروژن مایع مرغوب میتواند هزینه را افزایش دهد، اما در مقابل اثربخشی بالاتری نیز خواهد داشت.
هزینه تقریبی کرایوتراپی زگیل تناسلی در ایران
هزینه کرایوتراپی زگیل تناسلی در ایران بسته به عوامل ذکر شده متغیر است. به طور کلی، هر جلسه کرایوتراپی ممکن است بین ۵۰۰ هزار تومان تا ۲ میلیون تومان هزینه داشته باشد. اگر تعداد زگیلها زیاد باشد یا نیاز به جلسات بیشتر وجود داشته باشد، هزینه نهایی افزایش خواهد یافت.
مقایسه هزینه کرایوتراپی با سایر روشها
-
لیزر درمانی: هزینه لیزر برای زگیل تناسلی معمولاً بیشتر از کرایوتراپی است و بین ۲ تا ۵ میلیون تومان برای هر جلسه متغیر است.
-
جراحی: هزینه جراحی بسته به محل و میزان زگیلها میتواند حتی از کرایوتراپی بیشتر باشد و علاوه بر هزینه عمل، هزینه داروها و مراقبتهای بعدی نیز اضافه میشود.
-
داروهای موضعی: استفاده از داروهای موضعی معمولاً هزینه کمتری نسبت به کرایوتراپی دارد، اما اثربخشی آنها پایینتر بوده و نیاز به مدت زمان طولانی برای نتیجهگیری دارد.
پوشش بیمهای کرایوتراپی
بسیاری از بیمههای درمانی هزینه کرایوتراپی زگیل تناسلی را پوشش نمیدهند، زیرا این بیماری در دسته بیماریهای مقاربتی قرار دارد. با این حال، برخی بیمههای تکمیلی ممکن است بخشی از هزینه را پرداخت کنند. بهتر است قبل از شروع درمان، وضعیت پوشش بیمه خود را بررسی کنید.
مزایا در برابر هزینه
با وجود اینکه هزینه کرایوتراپی ممکن است برای برخی افراد بالا به نظر برسد، اما باید توجه داشت که این روش یکی از سریعترین و مؤثرترین راهها برای درمان زگیل تناسلی است. کاهش ریسک انتقال ویروس، حذف سریع زگیلها و کوتاه بودن دوره نقاهت از مهمترین مزایای این روش است که هزینه پرداختی را توجیهپذیر میکند.
مراقبتهای پس از کرایوتراپی و تاثیر آن بر هزینهها
گاهی اوقات پس از کرایوتراپی نیاز به داروهای ترمیمی یا پمادهای ضدعفونی وجود دارد. این داروها هزینه جداگانهای دارند اما به بهبود سریعتر کمک میکنند. رعایت مراقبتهای پس از درمان مانند پرهیز از رابطه جنسی تا بهبود کامل و استفاده از لباسهای نخی میتواند احتمال عود مجدد زگیلها و هزینههای اضافی را کاهش دهد.
چرا نباید صرفاً به دنبال هزینه کمتر بود؟
بسیاری از افراد تنها به دنبال پیدا کردن کلینیکهایی با هزینه کمتر هستند، اما این انتخاب میتواند پرخطر باشد. در صورت انجام کرایوتراپی توسط افراد غیرمتخصص یا استفاده از مواد نامرغوب، احتمال سوختگی شدید، عفونت و بازگشت زگیلها افزایش مییابد. بنابراین بهتر است هزینه را در کنار کیفیت درمان در نظر بگیرید. هزینه لیزر زگیل تناسلی
نتیجهگیری
هزینه کرایوتراپی زگیل تناسلی بسته به تعداد زگیلها، اندازه، محل قرارگیری، تعداد جلسات، تجربه پزشک و موقعیت کلینیک متغیر است. به طور متوسط هزینه هر جلسه بین ۵۰۰ هزار تومان تا ۲ میلیون تومان برآورد میشود. هرچند این هزینه ممکن است برای برخی افراد بالا به نظر برسد، اما با توجه به اثربخشی سریع و کاهش احتمال انتقال ویروس، انتخاب کرایوتراپی میتواند بهترین تصمیم درمانی باشد. توصیه میشود برای جلوگیری از هزینههای اضافی ناشی از عوارض یا بازگشت زگیل، درمان را تنها در مراکز معتبر و توسط پزشکان متخصص انجام دهید.
برای لیزر زگیل تناسلی چه دکتری باید رفت؟
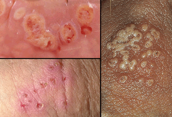
زگیل تناسلی یکی از شایعترین بیماریهای مقاربتی است که به دلیل ویروس HPV ایجاد میشود و میتواند هم در مردان و هم در زنان بروز پیدا کند. درمانهای مختلفی برای این بیماری وجود دارد که یکی از مؤثرترین و سریعترین آنها روش لیزر است. اما یکی از پرسشهای رایج بیماران این است که برای لیزر زگیل تناسلی باید به چه پزشکی مراجعه کرد و کدام تخصص بیشترین مهارت را در این زمینه دارد. در این مقاله به صورت کامل و طولانی به معرفی پزشکان متخصص مناسب برای لیزر زگیل تناسلی، اهمیت انتخاب پزشک درست و نکات مهم در روند درمان میپردازیم.
چرا لیزر برای درمان زگیل تناسلی انتخاب میشود
لیزر یکی از بهترین روشها برای از بین بردن زگیلهای تناسلی است زیرا دقت بالایی دارد، ریشه زگیلها را هدف قرار میدهد و احتمال بازگشت آنها را کاهش میدهد. این روش در مقایسه با فریز کردن یا داروهای موضعی سریعتر عمل میکند و در یک جلسه میتواند تعداد زیادی زگیل را درمان کند. علاوه بر این، لیزر خونریزی کمی دارد و اسکار کمتری روی پوست باقی میگذارد.
پزشک مناسب برای لیزر زگیل تناسلی
انتخاب پزشک متخصص در درمان زگیل تناسلی با لیزر اهمیت زیادی دارد زیرا تجربه و دانش پزشک نقش مستقیم در موفقیت درمان دارد. چند دسته از پزشکان بیشترین مهارت و تجربه را در این زمینه دارند:
متخصص پوست و مو
پزشکان متخصص پوست و مو بیشترین تجربه را در زمینه بیماریهای پوستی از جمله زگیل تناسلی دارند. آنها با ساختار پوست و روشهای مختلف درمانی مانند کرایوتراپی، داروهای موضعی و لیزر به خوبی آشنا هستند. اگر زگیلها محدود و سطحی باشند، مراجعه به متخصص پوست میتواند بهترین گزینه باشد.
متخصص اورولوژی
اورولوژیستها یا متخصصان مجاری ادراری و تناسلی، بهترین انتخاب برای مردانی هستند که زگیل تناسلی دارند. این پزشکان با ساختار دستگاه تناسلی مردان آشنا بوده و توانایی بالایی در لیزر زگیلهای ناحیه آلت، بیضه و کشاله ران دارند. همچنین در صورت درگیری مجاری ادراری یا داخلی نیز میتوانند اقدامات لازم را انجام دهند.
متخصص زنان
در زنان، مراجعه به متخصص زنان برای لیزر زگیل تناسلی ضروری است. این پزشکان توانایی بررسی دقیق ناحیه واژن، دهانه رحم و حتی مجرای داخلی را دارند. در صورتی که زگیلها در قسمت داخلی واژن یا روی دهانه رحم باشند، تنها پزشک متخصص زنان میتواند با دقت و ایمنی کامل عمل لیزر را انجام دهد.
متخصص عفونی
پزشکان عفونی معمولاً خود عمل لیزر را انجام نمیدهند، اما در مدیریت بیماری و بررسی وضعیت سیستم ایمنی نقش مهمی دارند. اگر فردی دچار زگیلهای مکرر یا مقاوم به درمان باشد، مراجعه به متخصص عفونی در کنار پزشک لیزرکننده توصیه میشود.
معیارهای انتخاب بهترین پزشک برای لیزر زگیل تناسلی
انتخاب پزشک مناسب تنها به تخصص او محدود نمیشود، بلکه باید معیارهای دیگری نیز در نظر گرفته شود:
-
داشتن تجربه کافی در لیزر زگیل تناسلی عکس واضح از زگیل تناسلی زنان
-
استفاده از دستگاههای لیزر پیشرفته و استریل
-
آشنایی با روشهای جایگزین درمانی در صورت بازگشت زگیل
-
ارائه مراقبتهای قبل و بعد از لیزر
روند مراجعه برای لیزر زگیل تناسلی
معمولاً روند مراجعه به این صورت است که ابتدا بیمار معاینه میشود و اندازه، تعداد و محل دقیق زگیلها بررسی میگردد. سپس پزشک بهترین روش لیزر را انتخاب کرده و جلسه درمان تنظیم میشود. در بیشتر موارد لیزر تحت بیحسی موضعی انجام میشود و بیمار در همان روز میتواند به خانه بازگردد.
مراقبتهای بعد از لیزر
بعد از لیزر، مراقبتهای پس از درمان اهمیت زیادی دارد. باید محل درمان تمیز و خشک نگه داشته شود، از رابطه جنسی تا زمان بهبودی پرهیز شود و در صورت تجویز پزشک از داروهای ترمیمکننده یا آنتیبیوتیک استفاده گردد. رعایت این نکات باعث میشود روند بهبودی سریعتر شود و احتمال عفونت یا بازگشت زگیل کاهش یابد.
پیشگیری از بازگشت زگیل بعد از لیزر
اگرچه لیزر زگیلهای موجود را از بین میبرد، اما ویروس HPV ممکن است همچنان در بدن وجود داشته باشد. برای کاهش احتمال بازگشت باید سیستم ایمنی بدن تقویت شود، از تماس جنسی محافظتنشده پرهیز شود و در صورت امکان واکسن HPV تزریق گردد.
جمعبندی
برای لیزر زگیل تناسلی بسته به جنسیت و شرایط فرد میتوان به متخصص پوست، اورولوژی یا زنان مراجعه کرد. انتخاب پزشک با تجربه و مجهز به دستگاههای لیزر پیشرفته اهمیت زیادی در موفقیت درمان دارد. همچنین، رعایت مراقبتهای بعد از لیزر و توجه به توصیههای پزشکی میتواند باعث بهبود سریعتر و جلوگیری از بازگشت زگیل شود. بنابراین اگر دچار زگیل تناسلی هستید، بهترین کار مراجعه به پزشک متخصص و معتبر برای انجام لیزر است تا درمان شما با کمترین عوارض و بیشترین اثربخشی انجام گیرد.
مقایسه لیزر زگیل تناسلی با روشهای دیگر درمان
زگیل تناسلی روشهای درمانی متعددی دارد که هر کدام مزایا و معایب خود را دارند. اگرچه لیزر یکی از بهترین انتخابها محسوب میشود، اما برای داشتن دید کامل بهتر است آن را با سایر روشهای درمانی مثل فریز کردن، داروهای موضعی و جراحی مقایسه کنیم.
لیزر زگیل تناسلی
لیزر یکی از جدیدترین و مؤثرترین روشها برای از بین بردن زگیلهای تناسلی است. این روش با تابش نور پرقدرت، ریشه زگیل را سوزانده و از بین میبرد.
مزایا:
-
دقت بالا در هدف قرار دادن زگیل
-
سرعت عمل در درمان چندین زگیل در یک جلسه فیلم لیزر زگیل تناسلی
-
کمترین میزان خونریزی و زخم
-
کاهش احتمال بازگشت در مقایسه با روشهای دیگر
-
مناسب برای زگیلهای مقاوم و بزرگ
معایب: -
هزینه بالاتر نسبت به برخی روشها
-
نیاز به پزشک متخصص و دستگاه پیشرفته
هزینه کرایوتراپی
فریز کردن زگیل تناسلی (کرایوتراپی)
در این روش زگیل با استفاده از نیتروژن مایع منجمد و تخریب میشود.
مزایا:
-
دسترسی آسانتر نسبت به لیزر
-
هزینه پایینتر
-
قابل انجام در کلینیکهای عمومی پوست
معایب: -
نیاز به چندین جلسه درمانی
-
درد و سوزش بیشتر نسبت به لیزر
-
احتمال بالاتر بازگشت زگیلها تجربه کسانی که زگیل تناسلی دارند
-
ایجاد تاول یا التهاب پوستی در برخی افراد
داروهای موضعی
پزشکان گاهی برای زگیلهای کوچک یا سطحی از داروهای موضعی مثل پودوفیلین، پودوفیلوکس یا ایمیکویمود استفاده میکنند.
مزایا:
-
روش غیرتهاجمی و بدون نیاز به تجهیزات
-
امکان استفاده در خانه تحت نظر پزشک
-
هزینه کمتر نسبت به لیزر
معایب: -
طولانی بودن روند درمان (گاهی چند هفته یا چند ماه)
-
احتمال تحریک شدید پوست و ایجاد زخم
-
اثربخشی کمتر در زگیلهای بزرگ یا متعدد
جراحی یا الکتروکوتر
در این روش، زگیلها با تیغ جراحی یا سوزاندن الکتریکی برداشته میشوند.
مزایا:
-
مناسب برای زگیلهای خیلی بزرگ یا عمیق
-
حذف زگیل در یک جلسه
معایب: -
درد و خونریزی بیشتر نسبت به لیزر
-
احتمال باقی ماندن اسکار و جای زخم
-
نیاز به دوره نقاهت طولانیتر
-
احتمال عفونت بعد از عمل
بهترین روش کدام است؟
انتخاب بهترین روش به عوامل مختلفی بستگی دارد: درمان زگیل تناسلی بیمارستان رازی
-
محل زگیلها (سطحی یا داخلی)
-
تعداد و اندازه آنها
-
بودجه و توان مالی بیمار
-
دسترسی به پزشک متخصص و دستگاههای پیشرفته
با این حال، بیشتر پزشکان امروزه لیزر را به عنوان روش اول توصیه میکنند زیرا هم سریعتر عمل میکند، هم احتمال بازگشت کمتری دارد و هم از نظر زیبایی پوست نتیجه بهتری میدهد.
جمعبندی نهایی
لیزر زگیل تناسلی در مقایسه با فریز کردن، داروهای موضعی و جراحی، روشی مدرنتر و مؤثرتر است. اگرچه هزینه آن ممکن است کمی بالاتر باشد، اما دقت، سرعت و کاهش احتمال بازگشت، این روش را به گزینهای مطمئن برای بیشتر بیماران تبدیل کرده است. انتخاب نهایی باید با نظر پزشک متخصص و بر اساس شرایط فرد انجام شود تا بهترین نتیجه حاصل گردد.
آیا زگیل تناسلی درمان قطعی دارد؟
زگیل تناسلی یکی از شایعترین بیماریهای مقاربتی است که به دلیل ویروس پاپیلومای انسانی (HPV) ایجاد میشود. بسیاری از مبتلایان پس از تشخیص این بیماری، اولین پرسششان این است که آیا زگیل تناسلی درمان قطعی دارد یا خیر. پاسخ به این پرسش نیازمند بررسی دقیق ماهیت بیماری، نحوه انتقال ویروس، روشهای درمانی موجود و تأثیر سیستم ایمنی بدن است.
ماهیت ویروس HPV و چرایی دشواری درمان قطعی
ویروس HPV از جمله ویروسهایی است که پس از ورود به بدن میتواند در سلولهای میزبان باقی بماند و حتی اگر زگیلها با روشهای مختلف درمانی از بین بروند، ویروس ممکن است همچنان در بدن فعال یا غیر فعال باقی بماند. همین ویژگی باعث شده است که درمان قطعی به معنای ریشهکنی کامل ویروس امکانپذیر نباشد. بسیاری از افراد حتی پس از درمان زگیلها، ممکن است دوباره دچار عود ضایعات شوند.
نقش سیستم ایمنی در درمان زگیل تناسلی
یکی از مهمترین عوامل در کنترل یا حتی حذف ویروس HPV، قدرت سیستم ایمنی بدن است. در برخی افراد، سیستم ایمنی میتواند طی مدت ۱ تا ۲ سال ویروس را به طور کامل از بدن پاک کند، به طوری که دیگر هیچ نشانهای از زگیل یا عفونت باقی نماند. با این حال در برخی دیگر، ویروس در بدن باقی میماند و به شکلهای مختلف خود را نشان میدهد. بنابراین میتوان گفت که تقویت سیستم ایمنی یکی از کلیدیترین عوامل در مقابله با این بیماری است.
روشهای درمان زگیل تناسلی
درمانهای موجود عمدتاً بر اساس از بین بردن ضایعات پوستی و کاهش بار ویروس در بدن انجام میشوند. این درمانها شامل موارد زیر هستند:
کرایوتراپی (فریز کردن زگیلها)
یکی از رایجترین روشها، کرایوتراپی است که طی آن با استفاده از نیتروژن مایع زگیلها منجمد و از بین میروند. این روش نسبتاً سریع و کمتهاجم است اما ممکن است نیاز به جلسات متعدد داشته باشد و احتمال عود وجود دارد.
لیزر درمانی
لیزر یکی دیگر از روشهای پرکاربرد در درمان زگیل تناسلی است. این روش بیشتر برای زگیلهای مقاوم یا نواحی حساس استفاده میشود و با دقت بالایی ضایعات را از بین میبرد.
استفاده از داروهای موضعی
داروهایی مانند پودوفیلین، پودوفیلوکس و ایمیکویمود برای درمان موضعی زگیلها تجویز میشوند. این داروها یا باعث تخریب بافت زگیل میشوند یا سیستم ایمنی بدن را برای مبارزه با ویروس تقویت میکنند.
جراحی
در مواردی که زگیلها بسیار بزرگ، گسترده یا مقاوم به سایر درمانها باشند، جراحی میتواند گزینه مناسبی باشد. با این حال، مانند دیگر روشها، این روش نیز تضمینی برای ریشهکن کردن ویروس نیست.
امکان ریشهکنی کامل ویروس
پرسش اصلی این است که آیا میتوان ویروس HPV را به طور کامل از بدن خارج کرد یا خیر. واقعیت این است که تاکنون هیچ دارویی برای ریشهکنی کامل ویروس وجود ندارد. تنها در برخی افراد سیستم ایمنی میتواند ویروس را سرکوب و حتی پاکسازی کند. اما هیچ روش درمانی پزشکی وجود ندارد که صد درصد تضمین کند ویروس برای همیشه از بدن خارج میشود.
اهمیت پیشگیری در مدیریت زگیل تناسلی
با توجه به اینکه درمان قطعی زگیل تناسلی وجود ندارد، بهترین راهکار، پیشگیری از ابتلا و انتقال ویروس است. استفاده از کاندوم در کاهش انتقال ویروس مؤثر است، هرچند به طور کامل مانع آن نمیشود، زیرا ویروس میتواند از طریق تماس پوست به پوست نیز منتقل شود. همچنین واکسن HPV یکی از مؤثرترین روشهای پیشگیری به شمار میرود که در بسیاری از کشورها بهویژه برای نوجوانان و جوانان توصیه میشود.
تأثیر واکسن HPV بر کاهش ابتلا
واکسنهای HPV مانند گارداسیل و سرواریکس میتوانند بدن را در برابر انواع پرخطر و شایع ویروس محافظت کنند. این واکسنها نه تنها در پیشگیری از زگیل تناسلی مؤثر هستند، بلکه نقش مهمی در کاهش خطر ابتلا به سرطانهای ناشی از HPV، بهویژه سرطان دهانه رحم، دارند. دریافت واکسن قبل از شروع فعالیت جنسی بیشترین تأثیر را دارد، اما در سنین بالاتر نیز میتواند مفید باشد.
نقش سبک زندگی در کاهش عود زگیل تناسلی
علاوه بر درمانهای پزشکی، سبک زندگی سالم نیز نقش مهمی در کنترل بیماری دارد. پرهیز از مصرف دخانیات، تغذیه سالم، مصرف میوه و سبزیجات تازه، ورزش منظم و مدیریت استرس همگی میتوانند باعث تقویت سیستم ایمنی بدن شوند و احتمال عود زگیلها را کاهش دهند.
جمعبندی
در پاسخ به پرسش «آیا زگیل تناسلی درمان قطعی دارد؟» باید گفت که تاکنون هیچ روش پزشکی قطعی برای ریشهکن کردن ویروس HPV وجود ندارد. تمام روشهای درمانی موجود تنها به رفع ضایعات پوستی و کاهش علائم کمک میکنند. با این حال، در بسیاری از افراد، سیستم ایمنی میتواند طی چند سال ویروس را سرکوب یا حتی از بدن پاک کند. بنابراین توجه به تقویت سیستم ایمنی، پیشگیری از انتقال و دریافت واکسن HPV بهترین راهکارها در مقابله با این بیماری هستند.













دیدگاه کاربران
مطلب بسیار مفید و آموزنده بود، ممنون!
امیدوارم پستهای بیشتری در این زمینه ببینیم.
ارسال دیدگاه