جواب اندوسکوپی نرمال
اندوسکوپی یکی از روشهای تشخیصی مهم در دستگاه گوارش است که به پزشک امکان میدهد وضعیت داخلی مری، معده، اثنیعشر و روده بزرگ را بهطور مستقیم مشاهده کند. با استفاده از این روش، بسیاری از بیماریها مانند زخم معده، التهاب، خونریزی داخلی، پولیپ و حتی سرطان در مراحل اولیه قابل تشخیص هستند. یکی از سوالات پرتکرار بیماران پس از انجام این روش، معنی و تفسیر جواب اندوسکوپی نرمال است. فهم دقیق این پاسخ کمک میکند تا نگرانیهای بیمار کاهش یابد و اقدامات بعدی با آگاهی کامل انجام شود.
تعریف جواب نرمال در اندوسکوپی
وقتی پزشک نتیجه اندوسکوپی را نرمال اعلام میکند، به این معناست که بافتها و ساختارهای داخلی دستگاه گوارش از نظر ظاهری سالم و طبیعی تشخیص داده شدهاند. در این شرایط هیچ نشانهای از التهاب، زخم، خونریزی، پولیپ یا تومور مشاهده نشده و عملکرد کلی دستگاه گوارش در حد طبیعی است. این نتیجه نشاندهنده سلامت ظاهری سیستم گوارش در زمان انجام آزمایش است، اما لزوماً به معنای سلامت کامل نیست.
اهمیت جواب نرمال برای بیماران
نتیجه نرمال اندوسکوپی باعث آرامش خاطر بیمار میشود و نشان میدهد که در زمان انجام آزمایش، نشانهای از بیماری جدی مشاهده نشده است. با این حال، پزشک همیشه باید نتیجه اندوسکوپی را در کنار علائم بالینی بیمار، سابقه خانوادگی و نتایج آزمایشهای تکمیلی بررسی کند. این بررسی جامع، تشخیص درست و اقدامات پیشگیرانه را ممکن میسازد. بعد از آندوسکوپی معده چه بخوریم
علائم شایع که ممکن است با جواب نرمال باقی بمانند
حتی اگر جواب اندوسکوپی نرمال باشد، برخی مشکلات گوارشی ممکن است ادامه پیدا کنند. این علائم معمولاً ناشی از اختلالات عملکردی معده یا روده هستند که در اندوسکوپی قابل مشاهده نیستند: آندوسکوپی معده
-
سوءهاضمه یا احساس سنگینی بعد از غذا
-
سوزش سر دل یا ریفلاکس خفیف
-
نفخ و گاز معده
-
دردهای متناوب شکم
-
تغییر در عادات رودهای مانند یبوست یا اسهال خفیف
در چنین مواردی ممکن است پزشک آزمایشهای تکمیلی مانند تست هلیکوباکتر پیلوری، سونوگرافی شکمی، کولونوسکوپی یا تستهای عملکردی معده را توصیه کند تا علت دقیق مشخص شود.
دلایل نرمال بودن اندوسکوپی علیرغم وجود علائم
چند عامل میتواند باعث شود که اندوسکوپی نرمال باشد، اما بیمار همچنان علائم داشته باشد:
-
بیماریهای عملکردی معده مانند سوءهاضمه عملکردی یا سندرم روده تحریکپذیر
-
تحریک دستگاه گوارش توسط استرس، اضطراب یا اختلالات روانتنی
-
حساسیت غذایی یا عدم تحمل برخی مواد غذایی مثل لبنیات یا گلوتن
-
مصرف داروهایی مانند NSAIDها یا آنتیبیوتیکها که میتوانند عملکرد معده را تغییر دهند
-
مشکلات متابولیک یا هورمونی که بر دستگاه گوارش تأثیر میگذارند

اقدامات توصیهشده بعد از دریافت جواب نرمال
اگر نتیجه اندوسکوپی نرمال بود، نیازی به درمان خاصی نیست، اما رعایت برخی نکات میتواند سلامت دستگاه گوارش را حفظ کند و از بروز مشکلات آینده جلوگیری کند:
-
رعایت رژیم غذایی سالم و متعادل شامل میوهها، سبزیجات، پروتئین کمچرب و غلات کامل
-
کاهش مصرف غذاهای چرب، سرخشده، پرادویه و فرآوریشده
-
اجتناب از نوشیدنیهای گازدار، الکل و کافئین بیش از حد
-
نوشیدن آب کافی و حفظ هیدراتاسیون بدن عکس زخم معده در اندوسکوپی
-
ورزش منظم برای بهبود عملکرد دستگاه گوارش
-
مدیریت استرس و خواب کافی برای کاهش تحریکات دستگاه گوارش
زمانبندی بررسیهای بعدی
با توجه به جواب نرمال، معمولاً پزشک تکرار اندوسکوپی را تنها در شرایط خاص یا پس از چند سال توصیه میکند. افرادی که سابقه خانوادگی بیماریهای گوارشی یا سرطان دارند، ممکن است نیاز به بررسی دورهای حتی در صورت نرمال بودن نتیجه فعلی داشته باشند. رعایت پیگیری منظم میتواند به تشخیص زودهنگام بیماریها کمک کند.
مزایای دریافت جواب نرمال
-
کاهش نگرانی و استرس بیمار درباره بیماریهای جدی
-
اطمینان از سلامت ظاهری بافتهای گوارشی
-
برنامهریزی بهتر برای سبک زندگی و رژیم غذایی سالم
-
امکان تمرکز روی پیشگیری و سبک زندگی سالم به جای درمان بیماریهای حاد
جمعبندی
جواب اندوسکوپی نرمال به معنای سلامت ظاهری دستگاه گوارش است و نشان میدهد که هیچ نشانهای از بیماریهای خطرناک در زمان انجام آزمایش مشاهده نشده است. با این حال، ادامه مراقبتهای تغذیهای، کنترل استرس و پیگیری علائم گوارشی همچنان اهمیت دارد. نتیجه نرمال به بیمار اطمینان میدهد که در زمان انجام اندوسکوپی مشکل جدی وجود نداشته و میتواند با رعایت سبک زندگی سالم سلامت دستگاه گوارش خود را حفظ کند. همچنین در صورت ادامه علائم، پزشک میتواند اقدامات تکمیلی را برای تشخیص دقیقتر انجام دهد و از بروز مشکلات جدی در آینده پیشگیری کند.

جواب اندوسکوپی سرطان معده
اندوسکوپی یک روش تشخیصی پیشرفته است که پزشکان با استفاده از آن میتوانند داخل معده و ابتدای روده کوچک را مشاهده کنند. این روش یکی از دقیقترین ابزارها برای شناسایی بیماریهای دستگاه گوارش از جمله زخم معده، التهاب، پولیپها و سرطان معده است. سرطان معده یکی از شایعترین سرطانها در دنیا محسوب میشود و تشخیص زودهنگام آن نقش حیاتی در موفقیت درمان و افزایش طول عمر بیمار دارد. اندوسکوپی با توانایی مشاهده مستقیم مخاط معده و امکان نمونهبرداری (بیوپسی) به پزشک کمک میکند تا تشخیص دقیقی ارائه دهد.
اندوسکوپی سرطان معده چگونه انجام میشود؟
در اندوسکوپی سرطان معده، پزشک لولهای باریک و انعطافپذیر به نام اندوسکوپ را از طریق دهان وارد معده میکند. این لوله مجهز به نور و دوربین است و تصاویر دقیق از داخل معده روی مانیتور نمایش داده میشود. در صورت مشاهده ناحیه مشکوک، پزشک نمونهای از بافت معده برای بررسیهای پاتولوژی برمیدارد. این نمونهبرداری باعث میشود که پزشک بتواند سلولهای سرطانی یا پیشسرطانی را شناسایی کند.
نتایج اندوسکوپی سرطان معده
نتایج اندوسکوپی میتواند طیف گستردهای از تغییرات را نشان دهد. برخی از مهمترین نتایج عبارتند از:
-
بدون تغییرات غیرطبیعی: مخاط معده سالم است و نشانهای از زخم یا تومور مشاهده نمیشود.
-
التهاب یا زخم معده: ممکن است التهاب ناشی از عفونت هلیکوباکتر پیلوری یا مصرف داروهای ضد التهاب غیر استروئیدی وجود داشته باشد.
-
پولیپها یا تودههای خوشخیم: این تودهها معمولاً غیرسرطانی هستند، اما نیاز به پیگیری و نمونهبرداری دارند.
-
تودههای مشکوک یا سرطانی: در صورت مشاهده بافت غیرطبیعی با ظاهر غیرهمگن یا زخمی، نمونهبرداری انجام میشود تا سلولهای سرطانی تایید یا رد شوند.
اهمیت بیوپسی در اندوسکوپی
بیوپسی بخش حیاتی اندوسکوپی سرطان معده است. حتی اگر ظاهر معده غیرطبیعی نباشد، در برخی بیماران با سابقه خانوادگی یا علائم بالینی مشکوک، نمونهبرداری انجام میشود. نمونههای بافتی تحت آزمایشهای میکروسکوپی و ایمونوهیستوشیمی قرار میگیرند تا وجود سلولهای سرطانی، درجه بدخیمی و نوع سرطان مشخص شود.
عوارض آندوسکوپی
علائم سرطان معده که با اندوسکوپی بررسی میشوند
سرطان معده در مراحل اولیه معمولاً بدون علامت است، اما علائم احتمالی شامل:
-
درد یا سوزش مداوم در ناحیه بالای شکم
-
کاهش وزن غیرقابل توضیح
-
تهوع یا استفراغ مکرر
-
احساس سیری زودرس پس از شروع غذا
-
وجود خون در مدفوع یا استفراغ
این علائم معمولاً باعث میشوند پزشک اندوسکوپی را برای تشخیص انجام دهد.
تفسیر نتایج اندوسکوپی
پس از انجام اندوسکوپی، نتایج توسط پزشک متخصص گوارش تحلیل میشوند. اگر بیوپسی سلولهای سرطانی را نشان دهد، مرحلهبندی سرطان بر اساس میزان گسترش تومور، درگیری غدد لنفاوی و سایر اندامها انجام میشود. این مرحلهبندی برای انتخاب روش درمانی مناسب حیاتی است.
درمان بر اساس نتایج اندوسکوپی
در صورتی که اندوسکوپی و بیوپسی سرطان معده را تایید کنند، درمان ممکن است شامل:
-
جراحی: برداشتن بخشی از معده یا کل معده بسته به مرحله سرطان.
-
شیمیدرمانی و رادیوتراپی: برای کنترل سرطان و کاهش اندازه تومور قبل یا بعد از جراحی.
-
درمانهای هدفمند و ایمنی درمانی: در برخی بیماران بسته به نوع سرطان قابل انجام است. آندوسکوپی چقدر طول میکشد
پیگیری پس از اندوسکوپی
پس از تشخیص و درمان سرطان معده، اندوسکوپی دورهای برای بررسی بهبود، عود بیماری یا ایجاد تومور جدید انجام میشود. تعداد دفعات پیگیری به مرحله سرطان و پاسخ بیمار به درمان بستگی دارد و معمولاً بین ۳ تا ۱۲ ماه یک بار توصیه میشود.
نکات مهم برای بیماران
-
اندوسکوپی سرطان معده یک روش ایمن و دقیق است، اما نیازمند رعایت دستورالعملهای پیش از انجام مانند ناشتا بودن و پرهیز از مصرف داروهای خاص است.
-
بیوپسی نقش تعیینکننده در تشخیص نهایی سرطان دارد.
-
مراجعه به پزشک متخصص گوارش برای تفسیر نتایج و تعیین برنامه درمانی ضروری است.
-
تغییر سبک زندگی، رعایت رژیم غذایی مناسب و ترک مصرف دخانیات میتواند در روند درمان و پیشگیری از عود بیماری تاثیرگذار باشد.
نتیجهگیری
اندوسکوپی و بیوپسی معده ابزار اصلی برای تشخیص زودهنگام سرطان معده هستند. این روش به پزشک امکان میدهد تغییرات مخاط معده را مشاهده کند، سلولهای سرطانی را شناسایی نماید و برنامه درمانی مناسب را تعیین کند. تشخیص به موقع سرطان معده شانس موفقیت درمان و طول عمر بیمار را به طور قابل توجهی افزایش میدهد. آگاهی از علائم، انجام به موقع اندوسکوپی و پیگیری مرتب پس از درمان، کلید موفقیت در مدیریت این بیماری است.
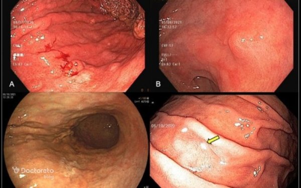
جزئیات تصویری اندوسکوپی سرطان معده
اندوسکوپی سرطان معده نه تنها امکان مشاهده مستقیم مخاط معده را فراهم میکند، بلکه با جزئیات تصویری به تشخیص دقیقتر کمک میکند. تصاویر اندوسکوپی نشاندهنده تغییرات ظاهری مخاط، تودهها، زخمها و ضایعات پیشسرطانی یا سرطانی هستند و نقش کلیدی در تصمیمگیری درمان دارند.
ظاهر مخاط معده در اندوسکوپی سالم
مخاط معده سالم صاف، یکنواخت و با رنگ صورتی روشن است. رگهای خونی مشخص و بدون تغییرات غیرطبیعی دیده میشوند. لایه مخاطی سالم بدون زخم، توده یا التهاب شدید است و حرکات طبیعی معده هنگام عبور آندوسکوپ مشاهده میشود.
تغییرات اولیه سرطان معده
در مراحل اولیه، سرطان معده ممکن است تغییرات ظریف ایجاد کند که نیاز به دقت بالای پزشک دارد:
-
نواحی قرمز یا تیره غیرمعمول در مخاط معده
-
ضخیم شدن موضعی یا برآمدگیهای کوچک
-
زخمهای سطحی با حاشیه نامنظم
-
تغییرات رنگ و بافت مخاط نسبت به مناطق اطراف
این تغییرات معمولاً کوچک هستند و بدون بیوپسی، تشخیص قطعی سرطان دشوار است.
تودهها و ضایعات پیشرفته
در مراحل پیشرفته، تصاویر اندوسکوپی وضوح بیشتری دارند و پزشک میتواند تودههای بزرگتر یا زخمهای عمیق را مشاهده کند:
-
تودههای برجسته و نامنظم که به مخاط اطراف چسبیدهاند
-
زخمهای وسیع با لبههای غیرهمگن و خونریزی سطحی
-
مناطق فرورفته یا گود افتاده که به دلیل از بین رفتن بافت ایجاد شدهاند
-
تغییرات رنگ شدید، از صورتی روشن تا قهوهای یا خاکستری
این تصاویر به پزشک کمک میکنند تا محل دقیق نمونهبرداری برای بیوپسی مشخص شود.
استفاده از تکنولوژی پیشرفته در تصویربرداری
امروزه اندوسکوپهای مدرن مجهز به فناوریهایی مانند نبیلایزیشن، فلورسنت و اندوسکوپی با بزرگنمایی بالا هستند که جزئیات بافتی مخاط را بهتر نشان میدهند. این فناوریها باعث میشوند تغییرات کوچکتر و ضایعات پیشسرطانی سریعتر شناسایی شوند.
اهمیت تصاویر اندوسکوپی در تشخیص و درمان
تصاویر اندوسکوپی علاوه بر تشخیص اولیه، به موارد زیر کمک میکنند:
-
تعیین محل دقیق بیوپسی برای تشخیص سلولهای سرطانی
-
ارزیابی اندازه، شکل و میزان گسترش تومور
-
برنامهریزی جراحی یا درمانهای غیرجراحی
-
پیگیری روند درمان و شناسایی عود سرطان
جمعبندی
جزئیات تصویری اندوسکوپی نقش حیاتی در تشخیص سرطان معده دارند. مشاهده تغییرات مخاط، زخمها و تودهها به همراه بیوپسی، پزشک را قادر میسازد سرطان را در مراحل اولیه شناسایی کرده و درمان مناسب را شروع کند. استفاده از فناوریهای پیشرفته تصویربرداری باعث دقت بالاتر و کاهش خطای تشخیصی میشود و اهمیت تصاویر اندوسکوپی در مدیریت سرطان معده غیرقابل انکار است.
جواب اندوسکوپی سرطان معده
معده درد خطرناک چه علائمی دارد؟
معده درد یکی از شایعترین مشکلات گوارشی است که افراد در طول زندگی تجربه میکنند. این درد میتواند دلایل متعددی داشته باشد و در بسیاری از موارد کوتاهمدت و بیضرر است، اما گاهی نیز نشانهای از بیماریهای جدی مانند زخم معده، التهاب معده، پانکراتیت، سنگ کیسه صفرا یا حتی مشکلات قلبی و عروقی است. تشخیص زودهنگام علائم خطرناک میتواند از بروز عوارض جدی جلوگیری کند. در این مقاله به بررسی کامل علائم معده درد خطرناک، علل بالقوه آن، روشهای تشخیص و اقداماتی که باید انجام شود، پرداخته میشود.
انواع درد معده
درد معده میتواند به شکلهای مختلف بروز کند و شدت و محل آن اطلاعات مهمی درباره علت درد به پزشک میدهد. برخی از انواع شایع درد معده عبارتاند از:
-
درد سوزشی یا سوزاننده: معمولاً ناشی از اسید معده یا زخم معده است.
-
درد تیرکشنده یا شدید: ممکن است به مشکلات جدی مانند پانکراتیت یا سوراخ شدن معده اشاره داشته باشد.
-
درد مبهم یا پراکنده: میتواند ناشی از سوءهاضمه، گاز یا عفونت معده باشد.
-
درد همراه با اسپاسم یا گرفتگی: معمولاً مرتبط با دستگاه گوارش تحتانی یا مشکلات کیسه صفرا است.

علائم هشداردهنده معده درد خطرناک
تشخیص درد معده خطرناک نیازمند توجه به علائم همراه با درد است. برخی از مهمترین علائم هشداردهنده عبارتاند از:
-
درد شدید و ناگهانی در ناحیه بالای شکم که به پشت یا قفسه سینه تیر میکشد
-
استفراغ خونی یا قهوهای رنگ که نشاندهنده خونریزی داخلی است
-
مدفوع تیره یا سیاه که میتواند نشانه خونریزی دستگاه گوارش باشد
-
کاهش شدید وزن بدون دلیل مشخص
-
تب بالا و لرز که ممکن است ناشی از عفونت باشد
-
زردی پوست یا چشمها که میتواند به مشکلات کبدی یا صفراوی اشاره کند
-
ناتوانی در خوردن یا نوشیدن به دلیل درد شدید
-
درد همراه با سرگیجه، ضعف شدید یا فشار خون پایین
علل بالقوه درد معده خطرناک
درد معده خطرناک میتواند ناشی از بیماریهای مختلف باشد. از جمله علل شایع میتوان به موارد زیر اشاره کرد:
-
زخم معده یا اثنی عشر: التهاب و ضایعه در پوشش داخلی معده یا روده کوچک
-
خونریزی دستگاه گوارش: ناشی از زخم یا واریس مری
-
پانکراتیت حاد: التهاب پانکراس که درد شدیدی در ناحیه بالای شکم ایجاد میکند
-
سنگ کیسه صفرا یا التهاب کیسه صفرا: باعث درد شدید در سمت راست بالای شکم میشود
-
مشکلات قلبی و عروقی: درد معده گاهی میتواند ناشی از آنژین یا حمله قلبی باشد
-
انسداد روده: باعث درد شدید، تهوع و استفراغ میشود
-
سرطان معده یا دستگاه گوارش: در مراحل پیشرفته ممکن است با درد مزمن و علائم هشداردهنده همراه باشد

روشهای تشخیص درد معده خطرناک
تشخیص دقیق نیازمند مراجعه به پزشک و انجام آزمایشهای تخصصی است. از جمله روشهای رایج میتوان به موارد زیر اشاره کرد:
-
معاینه بالینی و بررسی سابقه پزشکی بیمار
-
آزمایشهای خون و مدفوع برای شناسایی عفونت یا خونریزی داخلی
-
سونوگرافی یا سیتیاسکن برای بررسی ساختارهای داخلی شکم
-
آندوسکوپی برای مشاهده معده، مری و اثنی عشر و نمونهبرداری در صورت نیاز
-
تصویربرداری از کیسه صفرا و پانکراس برای تشخیص سنگ یا التهاب
اقدامات فوری در صورت بروز علائم خطرناک
در صورت مشاهده هر یک از علائم هشداردهنده ذکر شده، مراجعه فوری به اورژانس ضروری است. اقدامات اولیه شامل استراحت بیمار، جلوگیری از مصرف غذا و نوشیدنی تا بررسی پزشک، و انتقال سریع به مراکز درمانی مجهز برای انجام آزمایشها و درمان است. عدم توجه به این علائم میتواند منجر به عوارض جدی مانند خونریزی شدید، سوراخ شدن معده، نارسایی اندامها یا حتی خطر جانی شود.
نکات پیشگیرانه و مدیریت درد معده
برای کاهش خطر درد معده شدید و تشدید بیماریها، رعایت چند نکته مهم ضروری است: جواب پاتولوژی معده
-
پرهیز از مصرف غذاهای تند، چرب و سنگین عوارض آندوسکوپی
-
کاهش مصرف الکل و ترک سیگار
-
مدیریت استرس و اضطراب
-
رعایت نظم در وعدههای غذایی و پرهیز از خوردن در ساعات نامناسب
-
پیگیری منظم پزشکی در صورت داشتن بیماریهای زمینهای مانند زخم معده یا بیماری کبدی
نتیجهگیری
معده درد میتواند علامتی از مشکلات جزئی گوارشی یا نشانهای از بیماریهای جدی و خطرناک باشد. تشخیص دقیق و توجه به علائم همراه با درد، کلید پیشگیری از عوارض جدی است. درد ناگهانی و شدید، خونریزی، تب، زردی و کاهش وزن غیرمنتظره از مهمترین علائم هشداردهنده به شمار میروند. مراجعه فوری به پزشک و انجام آزمایشها و بررسیهای تخصصی میتواند خطرات جدی را کاهش دهد و روند درمان را سریع و مؤثر کند. رعایت نکات پیشگیرانه و سبک زندگی سالم نیز نقش مهمی در کاهش بروز درد معده و حفظ سلامت دستگاه گوارش دارد.











دیدگاه کاربران
مطلب بسیار مفید و آموزنده بود، ممنون!
امیدوارم پستهای بیشتری در این زمینه ببینیم.
ارسال دیدگاه