آیا زگیل تناسلی در مردان واگیردار است؟
زگیل تناسلی یکی از شایعترین بیماریهای مقاربتی است که توسط ویروس پاپیلومای انسانی (HPV) ایجاد میشود و میتواند مردان و زنان را مبتلا کند. یکی از مهمترین نگرانیها در مردان، واگیردار بودن این بیماری است، زیرا میتواند از طریق تماس جنسی به شریک جنسی منتقل شود و سلامت جنسی و باروری هر دو طرف را تحت تأثیر قرار دهد. در این مقاله به بررسی کامل واگیر بودن زگیل تناسلی در مردان، روشهای انتقال، پیشگیری، درمان و نکات بهداشتی پرداخته میشود.
زگیل تناسلی در مردان چیست؟
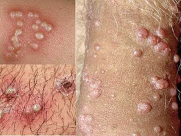
زگیل تناسلی در مردان معمولاً به صورت برجستگیهای کوچک، نرم یا سخت در ناحیه آلت تناسلی، بیضه، کیسه بیضه و اطراف مقعد ظاهر میشود. این زگیلها میتوانند به رنگ پوست، صورتی یا قهوهای باشند و معمولاً بدون درد هستند. برخی مردان هیچ علامتی ندارند اما همچنان ناقل ویروس هستند. ویروس HPV عامل اصلی ایجاد زگیل تناسلی است و بیش از ۱۰۰ نوع مختلف دارد که برخی از آنها خطر ابتلا به سرطان را افزایش میدهند.
آیا زگیل تناسلی در مردان واگیردار است؟
بله، زگیل تناسلی در مردان بسیار واگیردار است و از طریق تماس مستقیم با پوست یا مخاط آلوده منتقل میشود. مهمترین راههای انتقال شامل موارد زیر است:
-
تماس جنسی واژینال، مقعدی یا دهانی با فرد آلوده
-
تماس پوست با پوست در نواحی نزدیک به زگیل
-
استفاده از وسایل شخصی مانند حوله یا تیغ در موارد نادر
حتی در صورت عدم مشاهده زگیل، مردان میتوانند ناقل ویروس باشند و آن را به شریک جنسی منتقل کنند. بنابراین وجود یا عدم وجود ضایعه قابل مشاهده، تضمینی برای عدم واگیری نیست.
علائم و نشانههای زگیل تناسلی در مردان
-
برجستگیهای کوچک و نرم یا سفت در ناحیه آلت تناسلی، بیضه یا اطراف مقعد
-
تغییر رنگ پوست در محل زگیل به صورتی، قهوهای یا سفید
-
احساس خارش، سوزش یا درد خفیف در ناحیه زگیل
-
گاهی خونریزی مختصر در هنگام تماس یا تحریک
در بسیاری از موارد، مردان هیچ علامتی ندارند اما همچنان قادر به انتقال ویروس هستند، بنابراین آزمایش و بررسی پزشکی اهمیت زیادی دارد.
پیشگیری از انتقال زگیل تناسلی
برای کاهش خطر انتقال زگیل تناسلی به شریک جنسی، رعایت نکات زیر ضروری است:
-
استفاده منظم و صحیح از کاندوم در تمام روابط جنسی
-
محدود کردن تعداد شرکای جنسی و داشتن رابطه با افرادی که وضعیت سلامت جنسی مشخصی دارند درمان خانگی زگیل تناسلی در بارداری
-
واکسیناسیون HPV قبل از شروع فعالیت جنسی یا پس از تشخیص زگیل درمان زگیل تناسلی در بارداری
-
پرهیز از تماس مستقیم با زگیلها تا زمان درمان کامل
درمان زگیل تناسلی در مردان
روشهای درمانی برای مردان شامل:
-
کرایوتراپی: فریز کردن زگیل با نیتروژن مایع که باعث از بین رفتن بافت آلوده میشود
-
لیزر درمانی: حذف زگیلها با لیزر و کاهش احتمال عود
-
کرمهای موضعی: پودوفیلوکس یا ایمیکیمود که توسط پزشک تجویز میشوند
-
جراحی کوچک: در مواردی که زگیلها بزرگ یا مقاوم هستند
در نظر داشته باشید که درمان زگیل تنها ضایعه قابل مشاهده را از بین میبرد و ممکن است ویروس HPV در بدن باقی بماند. بنابراین رعایت پیشگیری و مراقبتهای بهداشتی پس از درمان اهمیت دارد.
نکات مهم پس از درمان زگیل
-
از دستکاری زگیلها یا محل درمان شده خودداری کنید تا از عفونت جلوگیری شود
-
ناحیه درمان شده را تمیز و خشک نگه دارید
-
رابطه جنسی را تا بهبودی کامل زگیلها و تأیید پزشک به تعویق بیندازید
-
در صورت مشاهده زگیل جدید یا خونریزی غیرطبیعی، سریعاً به پزشک مراجعه کنید
تاثیر زگیل تناسلی بر زندگی جنسی و باروری
با وجود واگیردار بودن زگیل، مردان میتوانند پس از درمان رابطه جنسی سالم و ایمن داشته باشند. رعایت نکات پیشگیری و درمان به موقع باعث میشود که زندگی جنسی تحت تأثیر طولانی مدت قرار نگیرد. در اکثر موارد، زگیل تناسلی تأثیر منفی مستقیم بر باروری ندارد، مگر اینکه عفونتهای طولانی مدت باعث التهاب شدید مجرای ادراری یا بیضهها شوند.
جمعبندی
زگیل تناسلی در مردان کاملاً واگیردار است و از طریق تماس جنسی یا تماس پوست با پوست منتقل میشود. حتی در صورت عدم مشاهده ضایعه، مردان میتوانند ناقل ویروس باشند. پیشگیری از طریق استفاده از کاندوم، واکسیناسیون HPV و محدود کردن تعداد شرکای جنسی مهمترین راهها برای کاهش خطر انتقال است. درمان زگیلها با روشهای مختلف انجام میشود اما رعایت مراقبتهای بعد از درمان و پیگیری پزشکی برای جلوگیری از عود و انتقال ویروس حیاتی است.
آیا زگیل تناسلی مردان باعث سرطان میشود؟
زگیل تناسلی در مردان یکی از شایعترین بیماریهای مقاربتی است که توسط ویروس پاپیلومای انسانی (HPV) ایجاد میشود. این ویروس انواع مختلفی دارد که برخی از آنها کمخطر و برخی پرخطر هستند. نگرانی بسیاری از مردان این است که آیا ابتلا به زگیل تناسلی میتواند منجر به سرطان شود یا خیر. در این مقاله به صورت کامل، طولانی و جامع به بررسی رابطه زگیل تناسلی در مردان با سرطان، انواع HPV، علل و پیشگیری پرداخته میشود.
ویروس HPV و انواع آن
ویروس اچپیوی بیش از ۱۰۰ نوع مختلف دارد. این ویروسها به دو دسته کلی تقسیم میشوند:
-
انواع کمخطر (Low-risk HPV): این نوع بیشتر باعث ایجاد زگیلهای تناسلی میشود و معمولاً خطر ابتلا به سرطان را افزایش نمیدهد.
-
انواع پرخطر (High-risk HPV): این نوع میتواند باعث تغییرات سلولی در ناحیه تناسلی مردان شود و در طول زمان احتمال ابتلا به سرطان آلت تناسلی، مقعد یا حلق را افزایش دهد.
شایعترین انواع پرخطر HPV که در مردان شناسایی شدهاند، نوع ۱۶ و ۱۸ هستند که ارتباط نزدیکی با سرطان دارند.
رابطه زگیل تناسلی و سرطان در مردان
زگیل تناسلی به خودی خود اغلب خوشخیم است و باعث ایجاد ضایعات کوچک یا بزرگ در ناحیه آلت تناسلی، کیسه بیضه، کشاله ران یا مقعد میشود. اما برخی نکات مهم در مورد رابطه زگیل تناسلی با سرطان وجود دارد:
-
زگیلهای ناشی از انواع کمخطر HPV معمولاً باعث تغییرات سرطانی نمیشوند.
-
عفونت مزمن با HPV پرخطر میتواند با گذر زمان باعث تغییرات سلولی شود که در نهایت منجر به سرطان گردد.
-
سرطان آلت تناسلی، سرطان مقعد و برخی سرطانهای دهان و حلق در مردان ممکن است به دلیل عفونت طولانیمدت با HPV پرخطر ایجاد شود.
بنابراین وجود زگیل تناسلی در مردان لزوماً به معنای ابتلا به سرطان نیست، اما بررسی و پیگیری پزشکی اهمیت دارد.
علائم هشداردهنده تغییرات سرطانی
مردان مبتلا به زگیل تناسلی باید به علائم زیر توجه کنند:
-
تغییر رنگ یا شکل زگیلها
-
رشد سریع یا افزایش اندازه زگیلها
-
خونریزی یا ترشحات غیرعادی
-
درد یا خارش شدید در ناحیه تناسلی
-
ایجاد زخم یا تودههای جدید در اطراف آلت تناسلی یا مقعد
در صورت مشاهده این علائم، مراجعه سریع به پزشک و انجام آزمایشات تشخیصی ضروری است.
روشهای تشخیص خطر سرطان
تشخیص زودهنگام تغییرات سرطانی در مردان مبتلا به HPV اهمیت زیادی دارد. روشهای تشخیصی شامل:
-
معاینه بالینی منظم برای بررسی زگیلها و نواحی اطراف
-
بیوپسی یا نمونهبرداری از زگیلها یا ضایعات مشکوک برای بررسی تغییرات سلولی
-
تست HPV DNA برای تعیین نوع ویروس و ریسک ابتلا به سرطان
-
آزمایشهای تصویربرداری در صورت مشکوک بودن به توده یا سرطان
پیشگیری از ابتلا به سرطان ناشی از HPV
برای کاهش خطر ابتلا به سرطان مرتبط با زگیل تناسلی در مردان، اقدامات زیر توصیه میشود:
-
واکسن HPV: بهترین روش پیشگیری است و میتواند از انواع پرخطر ویروس محافظت کند.
-
رعایت بهداشت جنسی و استفاده از کاندوم برای کاهش احتمال ابتلا و انتقال ویروس
-
اجتناب از تماس با افراد مبتلا به زگیل فعال
-
پیگیری منظم پزشکی به ویژه در مردان بالای ۳۰ سال یا افرادی که سیستم ایمنی ضعیف دارند
درمان زگیل تناسلی و کاهش ریسک سرطان
درمان زگیل تناسلی علاوه بر جنبه زیبایی و جلوگیری از انتقال، میتواند به کاهش ریسک تغییرات سلولی کمک کند. روشهای درمان شامل:
-
کرایوتراپی یا فریز زگیل کیا با وجود زگیل تناسلی باردار شدن
-
برداشتن جراحی در موارد بزرگ یا مقاوم
-
لیزر یا کوتر برای حذف ضایعات
-
درمان دارویی موضعی در برخی شرایط، با توصیه پزشک
اگرچه درمان زگیل نمیتواند به طور کامل از عفونت HPV پرخطر خلاص کند، اما پیگیری منظم و حذف ضایعات میتواند احتمال تغییرات سرطانی را کاهش دهد.
جمعبندی
زگیل تناسلی در مردان معمولاً خوشخیم است و انواع کمخطر آن باعث سرطان نمیشوند. اما عفونت طولانیمدت با HPV پرخطر میتواند ریسک ابتلا به سرطان آلت تناسلی، مقعد یا حلق را افزایش دهد. تشخیص زودهنگام، پیگیری منظم، واکسیناسیون و رعایت بهداشت جنسی بهترین راهکارها برای کاهش خطر سرطان هستند. مردان مبتلا به زگیل تناسلی باید به تغییرات ناحیه تناسلی توجه کنند و در صورت مشاهده علائم هشداردهنده، فوراً به پزشک مراجعه نمایند.
آیا زگیل تناسلی در مردان درمان دارد؟
زگیل تناسلی یکی از شایعترین بیماریهای منتقله از راه جنسی است که مردان و زنان را تحت تأثیر قرار میدهد. این بیماری توسط ویروس پاپیلومای انسانی (HPV) ایجاد میشود و معمولاً به صورت ضایعات کوچک، نرم و گوشتی در ناحیه تناسلی ظاهر میشود. بسیاری از مردان بعد از مشاهده علائم این پرسش را دارند که آیا زگیل تناسلی در مردان درمان دارد یا خیر. در این مقاله بهطور کامل و علمی به بررسی روشهای درمان، نکات مراقبتی و پیشگیری پرداخته میشود تا اطلاعات جامعی درباره مدیریت این بیماری ارائه گردد.
شناخت زگیل تناسلی در مردان
زگیل تناسلی در مردان معمولاً به صورت برجستگیهای کوچک، نرم و گاهی زبر در آلت تناسلی، کیسه بیضه، ناحیه کشاله ران و اطراف مقعد ظاهر میشود. رنگ ضایعات میتواند از سفید و صورتی تا قهوهای متغیر باشد. گاهی این زگیلها بدون درد هستند و ممکن است با خارش، سوزش یا خونریزی خفیف همراه باشند. شناخت دقیق علائم و تشخیص به موقع اهمیت زیادی دارد زیرا درمان زودهنگام میتواند از پیشرفت بیماری و انتقال ویروس به شریک جنسی جلوگیری کند.
آیا زگیل تناسلی در مردان قابل درمان است
بله، زگیل تناسلی در مردان قابل درمان است، اما باید توجه داشت که درمانها معمولاً ضایعات را از بین میبرند و ویروس HPV ممکن است در بدن باقی بماند. به همین دلیل، درمان کامل ویروس به طور قطعی ممکن نیست، اما با مدیریت مناسب میتوان علائم را کاهش داد و احتمال انتقال ویروس را پایین آورد.
روشهای درمان زگیل تناسلی در مردان
۱. درمانهای موضعی
برخی کرمها و محلولهای موضعی میتوانند ضایعات زگیل را کاهش دهند یا از بین ببرند. از جمله:
-
پودوفیلین و پودوفیلوکس: محلولها یا ژلهایی که باعث تخریب سلولهای آلوده میشوند.
-
ایمیکیمود: کرمی که سیستم ایمنی بدن را تحریک کرده و به مبارزه با ویروس کمک میکند.
-
تریکلرواستیک اسید (TCA): محلولی که با سوزاندن ضایعات، آنها را از بین میبرد.
۲. روشهای جراحی و فیزیکی
در صورتی که زگیلها بزرگ یا مقاوم به درمانهای موضعی باشند، روشهای جراحی یا فیزیکی توصیه میشود:
-
لیزر: با تابش نور متمرکز، ضایعات به دقت حذف میشوند و آسیب به بافت سالم کم است.
-
کرایوتراپی (انجماد): ضایعات با نیتروژن مایع منجمد میشوند و به تدریج از بین میروند.
-
برداشتن با چاقو یا تیغ جراحی: در مواردی که ضایعات بزرگ هستند، برداشتن مکانیکی انجام میشود.
-
الکتروکوتر (سوزاندن با جریان الکتریکی): ضایعات با جریان الکتریکی سوزانده شده و حذف میشوند.
عکس زگیل تناسلی در مردان
مراقبتهای پس از درمان
بعد از درمان زگیل تناسلی، رعایت نکات بهداشتی و مراقبتی اهمیت بالایی دارد:
-
ناحیه درمان شده باید تمیز و خشک نگه داشته شود.
-
از دستکاری ضایعات یا خراشیدن زخمها خودداری کنید تا خطر عفونت کاهش یابد.
-
لباسهای نخی و گشاد بپوشید تا اصطکاک و تحریک ناحیه کاهش یابد.
-
در صورت خونریزی شدید، درد غیرعادی یا ترشح بدبو، فوراً با پزشک تماس بگیرید.

پیشگیری از عود زگیل
زگیل تناسلی ممکن است بعد از درمان مجدداً بازگردد زیرا ویروس HPV میتواند در بدن باقی بماند. برای کاهش احتمال عود، توصیههای زیر اهمیت دارد:
-
استفاده از کاندوم در روابط جنسی برای کاهش انتقال ویروس
-
جلوگیری از تماس با ضایعات فعال شریک جنسی
-
رعایت بهداشت شخصی و مراقبت از ناحیه تناسلی
-
تقویت سیستم ایمنی با تغذیه مناسب، ورزش و کاهش استرس
نقش واکسیناسیون در مردان
واکسن HPV نه تنها در زنان بلکه در مردان نیز اهمیت دارد. واکسن میتواند در برابر انواع اصلی ویروس که باعث زگیل تناسلی و سرطانهای تناسلی میشوند، محافظت ایجاد کند. مردانی که واکسینه شدهاند، احتمال ابتلا به زگیل و انتقال ویروس به شریک جنسی کاهش مییابد. علت زدن زگیل تناسلی در بارداری
مراجعه به پزشک و اهمیت تشخیص زودهنگام
تشخیص زودهنگام زگیل تناسلی و شروع درمان، از پیشرفت ضایعات و انتقال ویروس جلوگیری میکند. در صورت مشاهده هرگونه ضایعه در ناحیه تناسلی یا علائم غیرمعمول، مراجعه به پزشک متخصص اورولوژی یا بیماریهای مقاربتی توصیه میشود. پزشک با بررسی دقیق و انجام آزمایشهای لازم، بهترین روش درمانی را تعیین میکند.
جمعبندی
زگیل تناسلی در مردان قابل درمان است و روشهای موضعی، جراحی و فیزیکی برای حذف ضایعات موجود وجود دارد. با این حال، ویروس HPV ممکن است در بدن باقی بماند و رعایت نکات بهداشتی، پیشگیری از تماس با ضایعات و تقویت سیستم ایمنی برای کاهش عود بیماری اهمیت دارد. واکسیناسیون، تشخیص زودهنگام و پیگیری پزشکی منظم میتواند سلامت ناحیه تناسلی و کاهش ریسک انتقال به شریک جنسی را تضمین کند.
آیا کاندوم از زگیل تناسلی جلوگیری میکند؟
زگیل تناسلی یکی از شایعترین بیماریهای مقاربتی است که توسط ویروس پاپیلومای انسانی (HPV) ایجاد میشود. این بیماری میتواند در نواحی تناسلی، مقعد و گاهی دهان ظاهر شود و در برخی موارد باعث مشکلات جدی سلامتی، از جمله افزایش ریسک سرطان دهانه رحم در زنان، شود. یکی از روشهای پیشگیری که بسیاری از افراد به آن اعتماد دارند، استفاده از کاندوم است. در این مقاله به صورت جامع و طولانی بررسی میکنیم که کاندوم تا چه حد میتواند از زگیل تناسلی جلوگیری کند و چه نکات دیگری در پیشگیری از این بیماری اهمیت دارند. کیا با وجود زگیل تناسلی باردار شدن
نقش کاندوم در پیشگیری از زگیل تناسلی
کاندوم به عنوان یک مانع فیزیکی عمل میکند و از تماس مستقیم پوست و ترشحات تناسلی جلوگیری میکند. از این نظر میتواند انتقال ویروس HPV را کاهش دهد، اما محدودیتهایی نیز دارد:
-
کاندوم فقط قسمتهایی از ناحیه تناسلی را پوشش میدهد که در تماس مستقیم با آن است.
-
HPV میتواند در نواحی اطراف آلت تناسلی، کشاله ران یا نواحی که کاندوم آنها را نمیپوشاند، منتقل شود.
-
بنابراین استفاده از کاندوم احتمال انتقال ویروس را کاهش میدهد اما صددرصد تضمینکننده پیشگیری نیست.
میزان اثربخشی کاندوم
مطالعات نشان میدهند که استفاده صحیح و مداوم از کاندوم میتواند ریسک ابتلا به زگیل تناسلی را تا حدود 70 درصد کاهش دهد، اما این میزان به عوامل مختلفی بستگی دارد:
-
استفاده صحیح: کاندوم باید قبل از هر تماس جنسی و تا پایان رابطه استفاده شود. عکس زگیل تناسلی در بارداری
-
استفاده مداوم: عدم قطع رابطه جنسی بدون کاندوم، حتی برای یک بار، میتواند خطر ابتلا را افزایش دهد.
-
کیفیت کاندوم: کاندومهای استاندارد لاتکس یا پلیاورتان بهترین گزینه هستند و از پارگی و لغزش جلوگیری میکنند.
محدودیتهای پیشگیری با کاندوم
با وجود کاهش قابل توجه ریسک، کاندوم نمیتواند کاملاً از زگیل تناسلی جلوگیری کند. برخی محدودیتها عبارتند از:
-
تماس مستقیم با پوست آلوده در نواحی که کاندوم آن را نمیپوشاند ایا با زگیل تناسلی میتوان باردار شد
-
استفاده نادرست یا دیرهنگام از کاندوم
-
پارگی یا لغزش کاندوم در حین رابطه
روشهای تکمیلی پیشگیری
برای افزایش سطح پیشگیری و کاهش احتمال ابتلا، میتوان روشهای تکمیلی زیر را در نظر گرفت:
-
واکسن HPV: واکسن HPV میتواند از ابتلا به انواع رایج ویروس جلوگیری کند و در بسیاری از کشورها برای نوجوانان و جوانان توصیه میشود.
-
محدود کردن تعداد شرکای جنسی: کاهش تعداد شرکای جنسی و داشتن شریک ثابت میتواند ریسک ابتلا را کاهش دهد.
-
معاینات دورهای پزشکی: بررسی منظم سلامت تناسلی، به ویژه در زنان برای غربالگری دهانه رحم، نقش مهمی در پیشگیری و درمان زودهنگام دارد.
-
رعایت بهداشت فردی: شستشوی ناحیه تناسلی قبل و بعد از رابطه و استفاده از لباسهای نخی و مناسب میتواند به کاهش خطر کمک کند.
نکات مهم برای خانمها و آقایان
-
خانمها باید بدانند که واکسیناسیون HPV و استفاده از کاندوم میتواند هم از زگیل تناسلی و هم از برخی انواع سرطان مرتبط با HPV پیشگیری کند.
-
آقایان نیز باید از کاندومهای استاندارد و استفاده مداوم اطمینان حاصل کنند و در صورت مشاهده هرگونه زگیل یا تغییرات در ناحیه تناسلی، سریعاً به پزشک مراجعه کنند.
جمعبندی
کاندوم یکی از ابزارهای مؤثر در کاهش ریسک ابتلا به زگیل تناسلی است، اما محدودیتهایی دارد و نمیتواند صددرصد پیشگیری ایجاد کند. بهترین راهکار پیشگیری، ترکیبی از استفاده صحیح و مداوم کاندوم، واکسیناسیون HPV، مراقبتهای بهداشتی و پیگیریهای پزشکی منظم است. رعایت این موارد باعث کاهش چشمگیر خطر ابتلا به زگیل تناسلی و پیامدهای ناشی از آن میشود.











دیدگاه کاربران
مطلب بسیار مفید و آموزنده بود، ممنون!
امیدوارم پستهای بیشتری در این زمینه ببینیم.
ارسال دیدگاه