انواع تبخال تناسلی زنان
تبخال تناسلی زنان یکی از بیماریهای شایع مقاربتی است که توسط ویروس هرپس سیمپلکس (HSV) ایجاد میشود. این عارضه میتواند باعث بروز زخمها، تاولهای دردناک و احساس ناراحتی شدید در ناحیه تناسلی شود. تبخال تناسلی نهتنها جنبه جسمی دارد بلکه میتواند از نظر روحی و روانی نیز بر کیفیت زندگی زنان تأثیر بگذارد. برای شناخت بهتر این بیماری، لازم است با انواع تبخال تناسلی زنان، علائم، عوامل خطر و روشهای درمان آن آشنا شویم.
تبخال تناسلی اولیه در زنان
تبخال تناسلی اولیه زمانی رخ میدهد که فرد برای نخستین بار به ویروس آلوده میشود. این مرحله معمولاً شدیدترین نوع بیماری است، زیرا بدن هنوز آنتیبادیهای لازم برای مقابله با ویروس را تولید نکرده است. علائم این نوع تبخال ممکن است شامل موارد زیر باشد:
-
تاولها و زخمهای دردناک در ناحیه تناسلی و اطراف آن
-
تب، سردرد و درد عضلانی
-
سوزش هنگام ادرار
-
ترشح واژینال غیرطبیعی
-
تورم غدد لنفاوی کشاله ران
این مرحله معمولاً ۲ تا ۳ هفته طول میکشد و پس از آن ویروس به صورت نهفته در بدن باقی میماند.
تبخال تناسلی عودکننده در زنان
بعد از ابتلای اولیه، ویروس وارد اعصاب بدن میشود و در آنجا به صورت خفته باقی میماند. در برخی شرایط مانند ضعف سیستم ایمنی، استرس شدید یا تغییرات هورمونی، ویروس دوباره فعال شده و تبخال تناسلی عود میکند. در این مرحله علائم معمولاً خفیفتر از تبخال اولیه هستند و شامل موارد زیر میشوند:
-
ایجاد تاولهای کوچکتر و کمتر
-
سوزش یا خارش قبل از ظاهر شدن ضایعات
-
درد خفیف در ناحیه تناسلی
-
کوتاه بودن مدت زمان علائم نسبت به بار اول
عود بیماری در افراد مختلف متفاوت است. برخی زنان ممکن است سالی یک بار دچار عود شوند، در حالیکه در برخی دیگر این اتفاق چندین بار در سال رخ میدهد.
تبخال تناسلی ناشی از HSV-1
ویروس هرپس سیمپلکس دارای دو نوع اصلی است: HSV-1 و HSV-2. HSV-1 معمولاً عامل تبخال دهانی است، اما میتواند از طریق رابطه دهانی به ناحیه تناسلی منتقل شود. تبخال تناسلی ناشی از HSV-1 معمولاً کمتر عود میکند و شدت کمتری نسبت به HSV-2 دارد.
تبخال تناسلی ناشی از HSV-2
HSV-2 شایعترین عامل تبخال تناسلی در زنان است. این نوع ویروس به طور مستقیم از طریق رابطه جنسی واژینال یا مقعدی منتقل میشود. تبخال تناسلی ناشی از HSV-2 اغلب با عودهای مکرر همراه است و میتواند باعث بروز علائم شدیدتری نسبت به HSV-1 شود.
تبخال تناسلی بدون علامت در زنان
یکی از انواع مهم تبخال تناسلی، نوع بدون علامت آن است. در این حالت فرد آلوده است اما هیچگونه نشانهای از بیماری بروز نمیدهد. این وضعیت خطرناک است زیرا فرد ممکن است بدون اطلاع از بیماری خود، ویروس را به شریک جنسی منتقل کند. تخمین زده میشود که بخش قابل توجهی از زنان مبتلا به تبخال تناسلی، بدون علامت هستند.
تبخال تناسلی شدید یا منتشر در زنان باردار
در برخی شرایط خاص، مانند دوران بارداری یا ضعف شدید سیستم ایمنی، تبخال تناسلی میتواند شدیدتر ظاهر شود. در زنان باردار ابتلا به تبخال اولیه میتواند خطر انتقال ویروس به جنین یا نوزاد را افزایش دهد. این نوع تبخال نیاز به مراقبت پزشکی فوری دارد تا از عوارض جدی جلوگیری شود.
علائم هشداردهنده تبخال تناسلی زنان
شناخت علائم هشداردهنده میتواند به تشخیص سریعتر کمک کند:
-
احساس خارش یا سوزش در اطراف واژن قبل از ایجاد تاولها
-
تاولهای پر از مایع شفاف که به سرعت ترکیده و به زخم تبدیل میشوند
-
احساس درد هنگام مقاربت یا ادرار کردن
-
تورم و قرمزی در ناحیه تناسلی
روشهای تشخیص تبخال تناسلی زنان
تشخیص تبخال تناسلی معمولاً با معاینه فیزیکی توسط پزشک آغاز میشود. در صورت نیاز، آزمایشهای تکمیلی مانند کشت ویروس، تست PCR یا آزمایش خون برای شناسایی آنتیبادیهای HSV انجام میشود.
درمان تبخال تناسلی زنان
درمان تبخال تناسلی به طور کامل ویروس را از بین نمیبرد، اما میتواند علائم را کنترل کرده و از شدت بیماری بکاهد. روشهای درمانی شامل: درمان تبخال تناسلی در زنان
-
داروهای ضدویروس خوراکی مانند آسیکلوویر، والاسیکلوویر یا فامسیکلوویر
-
مصرف داروهای مسکن برای کاهش درد
-
استفاده از کمپرس سرد برای تسکین ضایعات
پیشگیری از تبخال تناسلی زنان
-
استفاده از کاندوم در روابط جنسی
-
پرهیز از رابطه جنسی در زمان بروز علائم فعال
-
تقویت سیستم ایمنی بدن از طریق تغذیه مناسب، خواب کافی و مدیریت استرس رفع تبخال تناسلی در سه دقیقه
-
انجام آزمایشهای دورهای برای زنان در معرض خطر بالا
جمعبندی
انواع تبخال تناسلی زنان شامل تبخال اولیه، عودکننده، ناشی از HSV-1 و HSV-2، بدون علامت و تبخال شدید در شرایط خاص است. این بیماری میتواند در هر مرحلهای باعث ناراحتی و مشکلات جدی شود، بهویژه اگر در دوران بارداری رخ دهد. تشخیص به موقع و استفاده از داروهای ضدویروس میتواند تا حد زیادی علائم را کنترل کند. همچنین رعایت اصول بهداشتی و استفاده از روشهای پیشگیرانه در کاهش انتقال ویروس نقش بسیار مهمی دارد.
علائم تبخال تناسلی در زنان
تبخال تناسلی یکی از شایعترین عفونتهای ویروسی دستگاه تناسلی است که توسط ویروس هرپس سیمپلکس (HSV) ایجاد میشود. این بیماری جزو عفونتهای مقاربتی محسوب میشود و میتواند در اثر تماس مستقیم جنسی یا پوستی منتقل گردد. زنان به دلیل ساختار دستگاه تناسلی و حساسیت پوست این ناحیه، بیشتر در معرض ابتلا به تبخال تناسلی هستند. شناخت دقیق علائم این بیماری نقش مهمی در تشخیص زودهنگام و پیشگیری از انتقال آن دارد. در این مقاله به بررسی کامل علائم تبخال تناسلی در زنان پرداخته میشود. از کجا بفهمیم تبخال تناسلی داریم
تبخال تناسلی چیست؟
تبخال تناسلی یک عفونت ویروسی است که به طور عمده توسط دو نوع ویروس هرپس سیمپلکس ایجاد میشود:
-
HSV-1: که بیشتر در تبخال لب مشاهده میشود، اما میتواند از طریق رابطه دهانی به ناحیه تناسلی منتقل شود.
-
HSV-2: عامل اصلی تبخال تناسلی که بیشتر از طریق رابطه جنسی واژینال یا مقعدی منتقل میشود.
پس از ورود ویروس به بدن، در سلولهای عصبی باقی میماند و میتواند در دورههای مختلف دوباره فعال شود.
اولین علائم تبخال تناسلی در زنان
در مراحل اولیه، بسیاری از زنان ممکن است علائمی نداشته باشند یا نشانهها را با بیماریهای دیگر اشتباه بگیرند. اما در مواردی که علائم ظاهر میشوند، معمولاً شامل موارد زیر هستند:
-
احساس سوزش یا خارش در ناحیه تناسلی قبل از ظاهر شدن تاولها
-
درد یا حساسیت غیرمعمول در اطراف واژن یا مقعد
-
قرمزی یا التهاب پوست ناحیه تناسلی
-
ظاهر شدن برجستگیهای کوچک و پر از مایع شفاف یا زرد
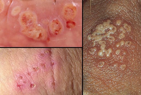
علائم ظاهری تبخال تناسلی در زنان
-
تاولهای کوچک پر از مایع که معمولاً به صورت خوشهای ظاهر میشوند
-
ترکیدن تاولها و ایجاد زخمهای سطحی و دردناک
-
زخمها ممکن است ترشح داشته باشند و سپس دلمه ببندند
-
محل شایع بروز ضایعات: اطراف دهانه واژن، لابیاها، دهانه رحم، باسن و مقعد
علائم عمومی و سیستمیک تبخال تناسلی
در برخی زنان، علاوه بر ضایعات پوستی، علائم عمومی نیز مشاهده میشود که شبیه علائم سرماخوردگی است:
تفاوت تبخال تناسلی اولیه و عودکننده
-
تبخال اولیه:
نخستین باری که ویروس وارد بدن میشود، علائم شدیدتر هستند و ممکن است چندین هفته طول بکشند. در این دوره تاولها متعدد، دردناک و همراه با علائم عمومی هستند. -
تبخال عودکننده:
پس از اولین ابتلا، ویروس در بدن پنهان میماند و در مواقع کاهش ایمنی یا استرس دوباره فعال میشود. در این حالت، علائم خفیفتر بوده و سریعتر بهبود مییابند.
عوامل تحریککننده عود تبخال تناسلی
-
استرس شدید و اضطراب
-
ضعف سیستم ایمنی بدن
-
قاعدگی در زنان
-
بیماریهای عفونی دیگر
-
خستگی یا بیخوابی
-
تماس جنسی بدون محافظت
علائم تبخال تناسلی در دهانه رحم
در برخی زنان، تبخال میتواند داخل واژن یا در دهانه رحم ایجاد شود. این حالت خطرناکتر است زیرا علائم به راحتی قابل مشاهده نیستند و ممکن است فرد تنها با درد لگن، ترشحات غیرطبیعی یا خونریزی خفیف مواجه شود. تشخیص این حالت تنها توسط پزشک و با معاینه امکانپذیر است.
عوارض تبخال تناسلی در زنان
اگر تبخال تناسلی به موقع تشخیص داده نشود و درمان مناسب انجام نگیرد، میتواند منجر به مشکلات زیر شود:
-
درد و ناراحتی مداوم در ناحیه تناسلی
-
انتقال ویروس به شریک جنسی
-
افزایش خطر ابتلا به بیماریهای مقاربتی دیگر مانند HIV
-
انتقال ویروس به نوزاد در زمان زایمان طبیعی
-
ایجاد عفونتهای ثانویه در محل زخمها
روشهای تشخیص تبخال تناسلی در زنان
تشخیص قطعی تبخال تناسلی نیازمند مراجعه به پزشک متخصص زنان یا پوست است. روشهای تشخیصی شامل:
-
معاینه بالینی ضایعات پوستی پماد برای تبخال تناسلی زنان
-
نمونهبرداری از مایع تاولها برای آزمایش ویروس
مدیریت و کنترل علائم تبخال تناسلی
تبخال تناسلی درمان قطعی ندارد، اما داروهای ضدویروس میتوانند شدت و مدت علائم را کاهش دهند. رایجترین داروها شامل آسیکلوویر، فامسیکلوویر و والاسیکلوویر هستند. همچنین اقدامات زیر به تسکین علائم کمک میکنند:
-
شستوشوی ناحیه با آب ولرم و خشک نگه داشتن آن
-
استفاده از کمپرس سرد برای کاهش درد و التهاب
-
پرهیز از تماس جنسی در دوره فعال بیماری
-
استفاده از لباس زیر نخی و آزاد برای جلوگیری از تحریک بیشتر
پیشگیری از ابتلا به تبخال تناسلی
-
استفاده از کاندوم در روابط جنسی
-
پرهیز از تماس جنسی در زمان بروز ضایعات فعال
-
آگاهی و اطلاعرسانی به شریک جنسی در صورت ابتلا
-
تقویت سیستم ایمنی بدن با تغذیه مناسب و ورزش
-
مدیریت استرس و خواب کافی
نتیجهگیری
علائم تبخال تناسلی در زنان متنوع است و میتواند از خارش و سوزش خفیف تا تاولهای دردناک و تب متغیر باشد. شناخت این علائم به زنان کمک میکند تا در صورت بروز نشانههای مشکوک سریعتر به پزشک مراجعه کنند. تبخال تناسلی درمان قطعی ندارد، اما با داروهای ضدویروس و رعایت اصول بهداشتی میتوان دفعات و شدت عود بیماری را کاهش داد و از انتقال آن به شریک جنسی یا نوزاد جلوگیری کرد.
علت تبخال تناسلی در زنان
تبخال تناسلی یکی از بیماریهای شایع مقاربتی است که به وسیله ویروس هرپس سیمپلکس (Herpes Simplex Virus یا HSV) ایجاد میشود. این بیماری به دلیل ایجاد تاولهای دردناک و عودهای مکرر، میتواند باعث نگرانی و مشکلات جسمی و روانی در زنان شود. شناخت علتهای ابتلا و عواملی که در انتقال این بیماری نقش دارند اهمیت زیادی دارد، زیرا آگاهی میتواند به پیشگیری و مدیریت بهتر بیماری کمک کند.
ویروس هرپس سیمپلکس عامل اصلی تبخال تناسلی
عامل اصلی تبخال تناسلی ویروس هرپس سیمپلکس نوع ۲ (HSV-2) است، هرچند نوع ۱ این ویروس (HSV-1) که معمولا تبخال دهانی ایجاد میکند نیز میتواند از طریق رابطه دهانی به ناحیه تناسلی منتقل شود. ویروس هرپس پس از ورود به بدن وارد سلولهای عصبی میشود و در آنجا به حالت نهفته باقی میماند. در زمانهایی که سیستم ایمنی بدن ضعیف شود، ویروس دوباره فعال شده و باعث عود علائم میگردد.
نحوه انتقال تبخال تناسلی در زنان
مهمترین علت ابتلای زنان به تبخال تناسلی، تماس مستقیم پوستی یا جنسی با فرد آلوده است. این بیماری حتی بدون وجود علائم ظاهری هم میتواند منتقل شود. راههای اصلی انتقال عبارتاند از:
-
تماس جنسی واژینال با فرد مبتلا
-
تماس مقعدی با فردی که ویروس را دارد
-
تماس دهانی و انتقال ویروس از طریق تبخال دهانی به ناحیه تناسلی عکس تبخال تناسلی زنان نی نی سایت
-
تماس مستقیم پوست با ناحیه آلوده حتی در نبود تاول یا زخم
عوامل افزایشدهنده احتمال ابتلا به تبخال تناسلی
برخی شرایط میتوانند احتمال ابتلای زنان به تبخال تناسلی را بیشتر کنند، از جمله:
-
داشتن شرکای جنسی متعدد
-
رابطه جنسی بدون استفاده از کاندوم
-
وجود سایر بیماریهای مقاربتی که باعث ضعف و آسیب در بافتهای تناسلی میشوند
-
ضعف سیستم ایمنی بدن به دلیل استرس شدید، بیماریهای زمینهای یا مصرف داروهای سرکوبکننده ایمنی
نقش سیستم ایمنی در بروز تبخال تناسلی
سیستم ایمنی بدن در کنترل ویروس تبخال نقش کلیدی دارد. پس از ورود ویروس به بدن، در سلولهای عصبی به شکل خاموش باقی میماند و وقتی ایمنی بدن ضعیف شود، دوباره فعال میشود. عواملی مانند استرس، خستگی شدید، تغییرات هورمونی در دوران قاعدگی، سرماخوردگی و حتی نور شدید خورشید میتوانند زمینه فعال شدن ویروس و بروز تبخال تناسلی را فراهم کنند.
علائم تبخال تناسلی در زنان
علائم تبخال تناسلی در اولین ابتلا شدیدتر از دفعات بعدی است. زنان ممکن است با این نشانهها روبهرو شوند:
-
تاولهای کوچک و دردناک در اطراف واژن، لبهای تناسلی یا ناحیه مقعد
-
احساس سوزش و خارش قبل از ظاهر شدن تاولها
-
زخمهای باز پس از ترکیدن تاولها
-
درد هنگام ادرار کردن یا رابطه جنسی
-
تورم غدد لنفاوی کشاله ران
-
تب و خستگی در عفونت اولیه
چرا تبخال تناسلی در زنان عود میکند؟
یکی از مهمترین علتهای نگرانی بیماران، بازگشت مجدد تبخال تناسلی پس از درمان است. ویروس هرپس هرگز به طور کامل از بدن خارج نمیشود و در سلولهای عصبی به حالت نهفته باقی میماند. عوامل محرک مانند استرس، تغییرات هورمونی، کمخوابی، تغذیه نامناسب یا تضعیف ایمنی بدن میتوانند ویروس را فعال کنند و منجر به عود مجدد بیماری شوند.
تاثیر روابط جنسی در ابتلا به تبخال تناسلی
زنانی که روابط جنسی پرخطر دارند، بیش از دیگران در معرض ابتلا به تبخال تناسلی قرار دارند. داشتن شریک جنسی مبتلا به تبخال، حتی اگر علائمی وجود نداشته باشد، میتواند باعث انتقال ویروس شود. همچنین رابطه دهانی با فردی که تبخال دهانی دارد، یکی از علتهای رایج ابتلای زنان به تبخال تناسلی است.
نقش بارداری در تبخال تناسلی زنان
زنان بارداری که به تبخال تناسلی مبتلا هستند، باید توجه ویژهای به بیماری خود داشته باشند، زیرا ویروس میتواند در هنگام زایمان طبیعی به نوزاد منتقل شود و مشکلات جدی برای نوزاد ایجاد کند. علت اصلی نگرانی در این شرایط، ضعف ایمنی طبیعی بدن در دوران بارداری و خطر انتقال عمودی ویروس به جنین است.
پیشگیری از ابتلا به تبخال تناسلی
برای کاهش احتمال ابتلا به تبخال تناسلی، رعایت نکات زیر اهمیت دارد:
-
استفاده از کاندوم در روابط جنسی
-
پرهیز از برقراری رابطه جنسی با فردی که علائم تبخال دارد
-
اطلاعرسانی بین زوجین در صورت ابتلا به تبخال
-
تقویت سیستم ایمنی بدن با رژیم غذایی سالم، ورزش و کاهش استرس
جمعبندی
علت اصلی تبخال تناسلی در زنان، ابتلا به ویروس هرپس سیمپلکس از طریق تماس جنسی یا پوستی است. این بیماری به دلیل باقی ماندن ویروس در سلولهای عصبی میتواند به صورت دورهای عود کند. عواملی مانند استرس، ضعف ایمنی و روابط جنسی پرخطر نقش مهمی در ابتلا و بازگشت تبخال دارند. شناخت علتها، رعایت اصول پیشگیری و مراجعه به پزشک برای درمان مناسب، میتواند به کنترل بهتر این بیماری کمک کند و از عوارض احتمالی آن جلوگیری نماید.
درمان تبخال تناسلی در زنان
تبخال تناسلی در زنان یکی از شایعترین بیماریهای مقاربتی است که توسط ویروس هرپس سیمپلکس (HSV) ایجاد میشود. این بیماری میتواند باعث ایجاد تاولها، زخمها و درد در ناحیه تناسلی شود و علاوه بر مشکلات جسمی، آثار روانی و عاطفی نیز بر فرد بگذارد. از آنجا که این ویروس پس از ورود به بدن به طور کامل از بین نمیرود و در اعصاب باقی میماند، درمان تبخال تناسلی در زنان بیشتر بر کنترل علائم، کاهش شدت بیماری و پیشگیری از عود متمرکز است. در ادامه به بررسی جامع روشهای درمان و مراقبت میپردازیم.
اهداف درمان تبخال تناسلی در زنان
درمان تبخال تناسلی اهداف متعددی دارد که شامل موارد زیر میشود:
-
کاهش درد و ناراحتی ناشی از تاولها و زخمها
-
تسریع روند بهبود ضایعات پوستی
-
پیشگیری از انتقال ویروس به شریک جنسی
-
کاهش احتمال عود بیماری در آینده
-
کنترل خطرات جدی در زنان باردار
درمان دارویی تبخال تناسلی در زنان
مهمترین روش درمانی برای کنترل تبخال تناسلی استفاده از داروهای ضدویروس است. این داروها نمیتوانند ویروس را به طور کامل ریشهکن کنند اما شدت علائم را کاهش داده و دوره بیماری را کوتاه میکنند.
علائم تبخال تناسلی در زنان
داروهای ضدویروس رایج
-
آسیکلوویر (Acyclovir): یکی از قدیمیترین و پرکاربردترین داروها برای درمان تبخال تناسلی.
-
والاسیکلوویر (Valacyclovir): دارویی با جذب بهتر که معمولاً در درمانهای طولانیمدت استفاده میشود. شکل ظاهری تبخال تناسلی در زنان
-
فامسیکلوویر (Famciclovir): گزینهای دیگر برای کنترل علائم و کاهش شدت بیماری.
این داروها به دو شکل مصرف میشوند:
-
درمان اپیزودیک: برای کنترل علائم در زمان بروز حمله تبخال استفاده میشود و باعث میشود زخمها سریعتر بهبود یابند.
-
درمان سرکوبکننده: در زنانی که عودهای مکرر دارند (بیش از ۶ بار در سال)، مصرف روزانه دارو برای پیشگیری از عود توصیه میشود.

مراقبتهای خانگی در درمان تبخال تناسلی زنان
علاوه بر داروهای ضدویروس، رعایت برخی نکات در خانه میتواند به کاهش علائم و تسریع روند بهبودی کمک کند:
-
استفاده از کمپرس سرد برای تسکین درد و التهاب
-
پوشیدن لباسهای زیر نخی و گشاد برای کاهش اصطکاک و رطوبت
-
شستوشوی ملایم ناحیه تناسلی با آب ولرم و خشک کردن آن بدون مالش شدید
-
اجتناب از رابطه جنسی در دوران فعال بیماری برای جلوگیری از انتقال ویروس
درمان تبخال تناسلی در زنان باردار
در دوران بارداری تبخال تناسلی اهمیت ویژهای دارد زیرا ویروس میتواند به جنین یا نوزاد منتقل شود. در صورت ابتلا به تبخال اولیه در بارداری، پزشک معمولاً داروهای ضدویروس تجویز میکند و در برخی موارد برای جلوگیری از انتقال بیماری، زایمان سزارین توصیه میشود.
درمانهای مکمل و تقویت سیستم ایمنی
سیستم ایمنی نقش مهمی در کنترل تبخال تناسلی دارد. زنانی که دچار ضعف سیستم ایمنی هستند بیشتر در معرض عودهای مکرر قرار دارند. برخی اقدامات برای تقویت ایمنی عبارتند از: علت تبخال تناسلی در زنان
-
تغذیه سالم و مصرف میوهها و سبزیجات تازه
-
خواب کافی و منظم
-
کاهش استرس و استفاده از تکنیکهای آرامسازی مانند یوگا و مدیتیشن
پیشگیری از انتقال تبخال تناسلی
بخش مهمی از مدیریت تبخال تناسلی، پیشگیری از انتقال آن به شریک جنسی است. اقدامات پیشگیرانه شامل:
-
استفاده از کاندوم در تمامی روابط جنسی
-
پرهیز از رابطه جنسی در زمان فعال بودن ضایعات
-
اطلاعرسانی به شریک جنسی درباره ابتلا به ویروس
-
استفاده از درمانهای سرکوبکننده در صورت نیاز
عوارض بیتوجهی به درمان تبخال تناسلی در زنان
اگر تبخال تناسلی درمان یا کنترل نشود ممکن است باعث مشکلات زیر شود:
-
گسترش ضایعات و افزایش شدت درد
-
ابتلا به عفونتهای ثانویه باکتریایی
-
انتقال ویروس به شریک جنسی یا نوزاد در زمان بارداری
-
کاهش کیفیت زندگی به دلیل اضطراب و استرس ناشی از بیماری
جمعبندی
درمان تبخال تناسلی در زنان بر پایه داروهای ضدویروس، مراقبتهای خانگی و پیشگیری از انتقال بیماری است. اگرچه این ویروس به طور کامل از بدن حذف نمیشود، اما با درمان مناسب میتوان علائم را کنترل و کیفیت زندگی را بهبود بخشید. زنان باردار باید توجه ویژهای به این بیماری داشته باشند و در صورت ابتلا تحت نظر پزشک قرار گیرند.













دیدگاه کاربران
مطلب بسیار مفید و آموزنده بود، ممنون!
امیدوارم پستهای بیشتری در این زمینه ببینیم.
ارسال دیدگاه