زگیل مقعدی در کودکان
زگیل مقعدی در کودکان یکی از مشکلات حساس و نگرانکنندهای است که نه تنها کودک را از نظر جسمی تحت تأثیر قرار میدهد، بلکه برای والدین نیز استرس و نگرانی زیادی ایجاد میکند. این عارضه به دلیل عفونت ناشی از ویروس پاپیلومای انسانی (HPV) به وجود میآید و میتواند به شکل برجستگیهای کوچک و گاهی دردناک در اطراف ناحیه مقعد ظاهر شود. تشخیص و درمان بهموقع این مشکل اهمیت زیادی دارد، زیرا تأخیر در درمان میتواند باعث گسترش ضایعات و بروز مشکلات روانی و جسمی برای کودک شود.
علتهای بروز زگیل مقعدی در کودکان
زگیل مقعدی در کودکان معمولاً از طریق راههای غیرجنسی منتقل میشود. برخلاف بزرگسالان که عامل اصلی انتقال ویروس رابطه جنسی است، در کودکان بیشتر عواملی مانند موارد زیر دخیل هستند: عکس زگیل مقعدی خفیف
-
انتقال از مادر به کودک: نوزاد ممکن است هنگام زایمان طبیعی و عبور از کانال زایمان آلوده به ویروس HPV شود.
-
انتقال غیرمستقیم: تماس کودک با وسایل آلوده مانند حوله یا لباس زیر آلوده میتواند باعث انتقال ویروس شود. زگیل تناسلی کودکان نی نی سایت
-
انتقال از طریق لمس: کودکان ممکن است با دست آلوده خود ناحیه تناسلی یا مقعد را لمس کرده و باعث انتقال ویروس شوند.
-
سیستم ایمنی ضعیف: کودکانی که ضعف سیستم ایمنی دارند، بیشتر در معرض ابتلا به این عارضه هستند.
علائم زگیل مقعدی در کودکان
زگیل مقعدی در کودکان میتواند بسته به شدت عفونت و شرایط سیستم ایمنی بدن علائم مختلفی داشته باشد. مهمترین نشانهها عبارتند از:
-
وجود برجستگیهای کوچک یا خوشهای اطراف مقعد
-
احساس خارش یا سوزش در ناحیه مقعد زگیل پا در کودکان
-
وجود درد هنگام دفع مدفوع
-
خونریزی خفیف در مواردی که زگیل تحریک شود
-
بیقراری و ناراحتی کودک به دلیل احساس ناخوشایند در ناحیه مقعد
گاهی اوقات زگیلها بسیار کوچک هستند و والدین تنها با مشاهده دقیق میتوانند متوجه آنها شوند.
تشخیص زگیل مقعدی در کودکان
تشخیص زگیل مقعدی باید توسط پزشک متخصص اطفال یا جراح کودکان انجام شود. پزشک با معاینه فیزیکی میتواند ضایعات را شناسایی کند. در موارد مشکوک، ممکن است نمونهبرداری انجام شود تا سایر بیماریهای پوستی یا عفونی رد شوند. توجه به تشخیص دقیق اهمیت زیادی دارد، زیرا برخی مشکلات پوستی مانند جوشها یا تحریک پوستی میتوانند با زگیل اشتباه گرفته شوند.
درمان زگیل مقعدی در کودکان
روش درمان زگیل مقعدی در کودکان بسته به سن، شدت علائم و وضعیت سیستم ایمنی کودک انتخاب میشود. درمانها شامل موارد زیر هستند:
-
درمان دارویی موضعی: در برخی موارد پزشک کرمهای مخصوص تجویز میکند که به مرور زگیلها را از بین میبرند.
-
کرایوتراپی (فریز کردن): یکی از روشهای رایج درمان است که در آن زگیلها با استفاده از نیتروژن مایع منجمد و حذف میشوند.
-
لیزر یا جراحی کوچک: در موارد شدیدتر که زگیلها متعدد یا مقاوم هستند، ممکن است نیاز به درمانهای تهاجمیتر باشد.
-
تقویت سیستم ایمنی: مصرف مواد غذایی سالم، خواب کافی و در صورت نیاز مکملهای تقویتی برای بهبود عملکرد سیستم ایمنی توصیه میشود.
عوارض احتمالی زگیل مقعدی درماننشده در کودکان
اگر زگیل مقعدی بهموقع درمان نشود، ممکن است باعث بروز مشکلاتی شود که شامل موارد زیر است:
-
گسترش ضایعات به نواحی دیگر بدن
-
ایجاد درد و مشکل در اجابت مزاج
-
بروز عفونتهای ثانویه به دلیل خاراندن یا تحریک زگیلها
راههای پیشگیری از زگیل مقعدی در کودکان
پیشگیری از زگیل مقعدی در کودکان اهمیت زیادی دارد و والدین باید به نکات بهداشتی توجه ویژهای داشته باشند. مهمترین اقدامات پیشگیرانه شامل موارد زیر است:
-
شستوشوی منظم و ملایم ناحیه تناسلی و مقعد کودک
-
استفاده از لباس زیر تمیز و تعویض روزانه آن
-
اجتناب از استفاده مشترک حوله و لباس زیر
-
آموزش به کودکان برای رعایت بهداشت فردی
-
تقویت سیستم ایمنی بدن از طریق تغذیه سالم و خواب کافی
تأثیر روانی زگیل مقعدی بر کودکان و خانواده
هرچند کودکان ممکن است درک کاملی از بیماری نداشته باشند، اما احساس ناراحتی و محدودیت ناشی از آن میتواند باعث بیقراری و مشکلات رفتاری شود. از سوی دیگر، والدین نیز ممکن است دچار اضطراب و نگرانی شوند. حمایت عاطفی، مراجعه منظم به پزشک و دریافت اطلاعات درست درباره بیماری، نقش مهمی در کاهش استرس خانواده دارد.
نتیجهگیری
زگیل مقعدی در کودکان هرچند موضوعی نادر به نظر میرسد، اما در صورت بروز باید جدی گرفته شود. علت اصلی این بیماری ویروس HPV است که میتواند از طریق راههای غیرجنسی به کودک منتقل شود. با تشخیص زودهنگام، درمان مناسب و رعایت نکات بهداشتی میتوان از گسترش بیماری و بروز عوارض جلوگیری کرد. همچنین والدین باید توجه داشته باشند که این بیماری قابل درمان است و با پیگیری صحیح، کودک میتواند به زندگی عادی و بدون مشکل بازگردد.
درمانهای خانگی کمکی برای زگیل مقعدی در کودکان
زگیل مقعدی در کودکان نیاز به تشخیص و درمان تخصصی توسط پزشک دارد، اما در کنار درمانهای پزشکی، برخی روشهای خانگی و مراقبتی میتوانند به کاهش علائم و بهبود روند درمان کمک کنند. این روشها بههیچوجه جایگزین درمان پزشکی نیستند، بلکه بهعنوان مکمل میتوانند مؤثر باشند.
اهمیت مراقبتهای خانگی در کنار درمان پزشکی
مراقبتهای خانگی نقش مهمی در کاهش خارش، جلوگیری از تحریک زگیلها و تقویت سیستم ایمنی کودک دارند. رعایت بهداشت و ایجاد محیطی آرام برای کودک باعث میشود که روند درمان سریعتر پیش رود و احتمال عود زگیلها کمتر شود.
علائم زگیل مقعدی چیست
روشهای مراقبت خانگی برای زگیل مقعدی در کودکان
حفظ بهداشت مناسب
شستوشوی ملایم ناحیه مقعدی با آب ولرم و صابونهای غیرمعطر، یکی از مهمترین اقدامات است. والدین باید توجه کنند که شستوشو بیش از حد یا استفاده از مواد شیمیایی قوی میتواند باعث تحریک بیشتر پوست شود.
استفاده از کمپرس گرم
گذاشتن کمپرس گرم روی ناحیه مقعد میتواند به کاهش خارش و ناراحتی کمک کند. این کار باید با دمای ملایم انجام شود تا پوست حساس کودک آسیب نبیند.
مصرف مایعات کافی
نوشیدن آب کافی و مصرف میوهها و سبزیجات تازه به نرم شدن مدفوع کمک کرده و از یبوست جلوگیری میکند. این موضوع اهمیت دارد زیرا دفع مدفوع سخت میتواند باعث تحریک بیشتر زگیلها و خونریزی شود.
رژیم غذایی تقویتکننده سیستم ایمنی
مصرف غذاهای سرشار از ویتامین C، ویتامین A و روی (Zinc) مانند مرکبات، هویج، اسفناج و مغزها میتواند به تقویت سیستم ایمنی بدن کودک کمک کند و توانایی بدن در مقابله با ویروس HPV را افزایش دهد.
جلوگیری از خاراندن ناحیه
کودکان به دلیل احساس خارش ممکن است ناحیه را بخارانند که این کار میتواند باعث گسترش زگیلها یا عفونت ثانویه شود. والدین باید با سرگرمکردن کودک یا استفاده از لباسهای گشاد و نخی از این کار جلوگیری کنند.
استفاده از لباس زیر نخی و تمیز
لباسهای زیر نخی باعث تهویه مناسب پوست میشوند و تعریق را کاهش میدهند. باید بهطور مرتب شسته و تعویض شوند تا از آلودگی و گسترش ویروس جلوگیری شود.
مواردی که باید از آنها پرهیز کرد
-
استفاده از داروهای گیاهی یا کرمهای بدون تجویز پزشک به دلیل حساس بودن پوست کودکان کندن زگیل تناسلی با دست نی نی سایت
-
استفاده از مواد تحریککننده مانند الکل یا سرکه روی ناحیه مقعد
-
فشار دادن یا دستکاری زگیلها، چون میتواند باعث گسترش آنها شود
نقش والدین در مراقبت خانگی
والدین باید در طول دوره درمان مراقبت ویژهای از کودک داشته باشند. آرامسازی کودک، توضیح ساده درباره بیماری، توجه به تغذیه سالم و مراجعه منظم به پزشک از وظایف مهم والدین محسوب میشود. همچنین در صورت مشاهده هرگونه تغییر غیرعادی در اندازه یا تعداد زگیلها، باید فوراً به پزشک مراجعه شود.
نتیجهگیری
مراقبتهای خانگی مانند بهداشت مناسب، تغذیه سالم و جلوگیری از تحریک زگیلها، نقش مکملی در درمان زگیل مقعدی کودکان دارند. با این اقدامات میتوان علائم بیماری را کاهش داد و روند بهبود را تسریع بخشید. با این حال، درمان اصلی باید توسط پزشک انجام شود و والدین نباید تنها به روشهای خانگی اکتفا کنند.
زگیل تناسلی کودکان
زگیل تناسلی در کودکان یکی از موضوعات مهم و نگرانکننده در حوزه سلامت است که معمولاً باعث اضطراب والدین میشود. این بیماری که ناشی از ویروس پاپیلومای انسانی (HPV) است، در کودکان نیز میتواند بروز پیدا کند. در حالی که زگیل تناسلی بیشتر به عنوان یک بیماری مقاربتی شناخته میشود، در کودکان راههای انتقال متنوعتری وجود دارد و همیشه به معنای سوءاستفاده جنسی نیست. شناخت علائم، راههای انتقال، روشهای تشخیص و درمان برای والدین و پزشکان ضروری است تا از عوارض احتمالی پیشگیری شود.
زگیل تناسلی در کودکان چیست؟
زگیل تناسلی در کودکان به ضایعات برجسته یا مسطحی گفته میشود که در ناحیه تناسلی یا اطراف مقعد ظاهر میشوند. این ضایعات ناشی از عفونت با ویروس HPV هستند. در بیشتر موارد، تیپهای کمخطر ویروس مانند HPV 6 و HPV 11 عامل زگیلهای تناسلی در کودکان هستند. این تیپها معمولاً سرطانی نمیشوند اما میتوانند باعث ایجاد برجستگیها و مشکلات پوستی شوند.
راههای انتقال زگیل تناسلی در کودکان
یکی از سوالات مهم والدین این است که کودک چگونه ممکن است به HPV مبتلا شود. راههای انتقال در کودکان شامل موارد زیر است:
-
انتقال عمودی در هنگام زایمان: اگر مادر در زمان زایمان مبتلا به HPV فعال باشد، ویروس میتواند از طریق کانال زایمانی به کودک منتقل شود.
-
تماس غیرجنسی در محیط خانواده: تماس پوستی نزدیک با فرد آلوده، استفاده از وسایل شخصی مشترک مانند حوله یا لباس زیر میتواند عامل انتقال باشد.
-
خودانتقالی: در مواردی که کودک زگیلهای معمولی در سایر نقاط بدن داشته باشد، ممکن است با تماس دست به ناحیه تناسلی، ویروس منتقل شود.
-
سوءاستفاده جنسی: هرچند همه موارد زگیل تناسلی در کودکان ناشی از سوءاستفاده نیست، اما این احتمال باید جدی گرفته شود و بررسیهای لازم توسط متخصص انجام گیرد.
علائم زگیل تناسلی در کودکان
زگیل تناسلی در کودکان ممکن است با علائم مختلفی همراه باشد. این علائم شامل:
-
برجستگیهای کوچک گوشتی یا گلکلمی در اطراف ناحیه تناسلی یا مقعد
-
احساس خارش یا سوزش در محل ضایعات
-
در برخی موارد خونریزی خفیف در اثر خراش یا تحریک زگیلها
تشخیص زگیل تناسلی در کودکان
تشخیص این بیماری توسط پزشک متخصص کودکان یا متخصص پوست انجام میشود. برای تشخیص دقیق معمولاً از روشهای زیر استفاده میشود:
-
معاینه بالینی: بررسی ظاهر ضایعات تناسلی توسط پزشک
-
آزمایش HPV DNA: برای شناسایی تیپ ویروس و تعیین کمخطر یا پرخطر بودن آن
-
نمونهبرداری (بیوپسی): در مواردی که ضایعات مشکوک باشند یا پاسخ به درمان ندهند
زگیل مقعدی در زنان
عوارض زگیل تناسلی در کودکان
اگر زگیل تناسلی درمان نشود، ممکن است عوارض زیر رخ دهد:
-
گسترش ضایعات به نواحی وسیعتر
-
عفونتهای ثانویه در اثر خاراندن و آسیبدیدگی پوست
-
مشکلات روحی و روانی برای کودک و والدین
-
در موارد نادر و در صورت وجود تیپهای پرخطر HPV، احتمال تغییرات سلولی و سرطان در آینده وجود دارد
درمان زگیل تناسلی در کودکان
انتخاب روش درمانی در کودکان باید با احتیاط بیشتری انجام شود. روشهای درمانی شامل:
-
داروهای موضعی: استفاده از کرمها و محلولهای مخصوص ضد HPV که توسط پزشک تجویز میشود.
-
کرایوتراپی (فریز کردن زگیلها): یکی از روشهای رایج برای از بین بردن زگیلها که با نیتروژن مایع انجام میشود. آیا زگیل مقعدی خطرناک است
-
لیزر درمانی یا جراحی: در موارد مقاوم و گسترده استفاده میشود.
-
تقویت سیستم ایمنی کودک: تغذیه مناسب، خواب کافی و رعایت بهداشت در بهبود بیماری نقش مهمی دارند.
زگیل مقعدی در مردان
پیشگیری از زگیل تناسلی در کودکان
برای کاهش احتمال ابتلا به زگیل تناسلی در کودکان اقدامات زیر توصیه میشود:
-
رعایت بهداشت فردی و استفاده نکردن از وسایل شخصی مشترک
-
معاینه منظم کودک در صورت مشاهده هرگونه ضایعه پوستی در ناحیه تناسلی
-
درمان سریع زگیلهای معمولی در سایر نقاط بدن برای جلوگیری از انتقال به ناحیه تناسلی
نقش والدین در مراقبت از کودک مبتلا
والدین نقش بسیار مهمی در مدیریت بیماری دارند. آنها باید:
-
به محض مشاهده ضایعات مشکوک به پزشک مراجعه کنند
-
از دستکاری و خاراندن زگیلها توسط کودک جلوگیری کنند
-
حمایت روحی و روانی از کودک داشته باشند تا از ایجاد ترس یا اضطراب جلوگیری شود
-
در صورت لزوم بررسیهای لازم برای رد احتمال سوءاستفاده جنسی را جدی بگیرند
جمعبندی
زگیل تناسلی در کودکان بیماریای است که میتواند نگرانیهای زیادی برای والدین ایجاد کند. این بیماری بیشتر توسط تیپهای کمخطر HPV ایجاد میشود و همیشه به معنای سوءاستفاده جنسی نیست، اما بررسی دقیق علت ابتلا ضروری است. تشخیص به موقع، درمان مناسب، رعایت بهداشت و مراقبت والدین میتواند از گسترش بیماری و عوارض آن جلوگیری کند. همچنین آگاهی والدین در مورد روشهای انتقال و پیشگیری نقش کلیدی در حفاظت از سلامت کودک دارد.
زگیل تناسلی در نوزادان و انتقال آن از مادر به فرزند
زگیل تناسلی در نوزادان یکی از موارد خاص و نادر عفونت ویروس پاپیلومای انسانی (HPV) است که میتواند نگرانیهای زیادی برای والدین ایجاد کند. این نوع عفونت معمولاً در زمان تولد از مادر به نوزاد منتقل میشود و در برخی موارد حتی بدون هیچ علامت آشکاری در مادر اتفاق میافتد. شناخت راههای انتقال، علائم احتمالی و روشهای پیشگیری از اهمیت بالایی برخوردار است.
زگیل تناسلی در نوزادان چیست؟
زگیل تناسلی در نوزادان به ضایعات پوستی یا مخاطی گفته میشود که در ناحیه تناسلی، اطراف مقعد یا حتی در مجاری تنفسی آنها ظاهر میشود. عامل اصلی این ضایعات ویروس HPV است. در بیشتر موارد، تیپهای کمخطر مانند HPV 6 و HPV 11 باعث این زگیلها میشوند، اما در موارد نادر تیپهای پرخطر نیز میتوانند دخیل باشند.
راههای انتقال زگیل تناسلی از مادر به نوزاد
-
انتقال در زمان زایمان طبیعی: شایعترین روش انتقال، عبور نوزاد از کانال زایمانی مادر آلوده است. ویروس میتواند به پوست و غشاهای مخاطی نوزاد منتقل شود.
-
انتقال در دوران بارداری (انتقال داخل رحمی): هرچند بسیار نادر است، اما امکان انتقال ویروس از جفت به جنین وجود دارد.
-
انتقال بعد از تولد: تماس مستقیم پوست نوزاد با ضایعات فعال در بدن مادر یا اطرافیان میتواند باعث انتقال شود.
علائم زگیل تناسلی در نوزادان
علائم زگیل تناسلی در نوزادان متفاوت است و همیشه به شکل برجستگیهای تناسلی ظاهر نمیشود. برخی علائم شامل:
-
برجستگیهای کوچک و گوشتی در اطراف ناحیه تناسلی یا مقعد
-
درگیری ناحیه دهان یا حلق (به ویژه در مواردی که ویروس به دستگاه تنفسی منتقل شده باشد)
-
ایجاد بیماریای به نام پاپیلوماتوز تنفسی بازگشتی (RRP) که با رشد زگیلها در حنجره و مجاری تنفسی همراه است و میتواند مشکلاتی در تنفس ایجاد کند.
تشخیص زگیل تناسلی در نوزادان
تشخیص بیماری در نوزادان حساستر است و باید توسط پزشک متخصص اطفال یا عفونی انجام شود. روشهای تشخیص شامل:
-
معاینه فیزیکی دقیق توسط پزشک
-
آزمایش HPV DNA برای شناسایی تیپ ویروس
درمان زگیل تناسلی در نوزادان
انتخاب روش درمانی برای نوزادان با دقت بسیار انجام میشود تا کمترین آسیب به بافتهای ظریف وارد شود. روشهای درمانی شامل:
-
کرایوتراپی (فریز کردن ضایعات) در صورت محدود بودن زگیلها
-
لیزر درمانی یا جراحی ظریف در صورت گسترده بودن ضایعات یا درگیری مجاری تنفسی
-
درمان دارویی موضعی که باید فقط تحت نظر پزشک و در شرایط خاص استفاده شود
-
پیگیری مداوم زیرا احتمال عود ضایعات در نوزادان بیشتر از بزرگسالان است
پیشگیری از انتقال زگیل تناسلی به نوزادان
-
غربالگری مادران باردار: اگر مادر در دوران بارداری مبتلا به HPV باشد، باید تحت نظر پزشک باشد.
-
انتخاب روش زایمان: در برخی مواردی که ضایعات فعال و گسترده وجود دارند، پزشک ممکن است سزارین را برای کاهش احتمال انتقال توصیه کند.
-
تقویت سیستم ایمنی مادر و نوزاد: تغذیه مناسب، مراقبت دوران بارداری و شیردهی میتواند در کاهش شدت بیماری نقش داشته باشد.

نقش والدین در مراقبت از نوزاد مبتلا
والدین باید در صورت مشاهده هرگونه ضایعه مشکوک در بدن نوزاد به پزشک مراجعه کنند. همچنین در صورت وجود مشکلات تنفسی، صداهای غیرعادی یا خسخس در نوزاد، بررسی تخصصی ضرورت دارد. حمایت روانی از مادر و پیگیری منظم درمان، بخش مهمی از مدیریت بیماری است.
جمعبندی
زگیل تناسلی در نوزادان گرچه نادر است، اما میتواند مشکلاتی جدی ایجاد کند. انتقال عمدتاً از طریق زایمان طبیعی از مادر آلوده به نوزاد رخ میدهد. شناخت علائم، تشخیص به موقع و درمان مناسب میتواند از عوارض احتمالی جلوگیری کند. آگاهی مادران باردار درباره HPV و مراجعه منظم به پزشک در دوران بارداری نقش اساسی در پیشگیری دارد.
تشخیص زگیل تناسلی در خانه
زگیل تناسلی یکی از شایعترین بیماریهای مقاربتی است که توسط ویروس پاپیلومای انسانی (HPV) ایجاد میشود. این عارضه معمولاً به شکل برجستگیهای کوچک یا ضایعات گوشتی در ناحیه تناسلی و مقعد ظاهر میشود. بسیاری از افراد در مراحل ابتدایی به دلیل ناآگاهی یا شباهت این ضایعات با مشکلات پوستی دیگر، نمیتوانند به راحتی زگیل تناسلی را تشخیص دهند. با این حال، توجه به برخی نشانهها و روشهای ساده میتواند به تشخیص اولیه در خانه کمک کند. در این مقاله به صورت کامل و سئو شده به بررسی راههای تشخیص زگیل تناسلی در خانه، علائم، تفاوت آن با سایر ضایعات پوستی و نکات مهم برای مراجعه به پزشک پرداخته میشود.
اهمیت تشخیص زگیل تناسلی در خانه
تشخیص اولیه در خانه به افراد کمک میکند تا هرچه سریعتر به پزشک مراجعه کرده و روند درمانی را آغاز کنند. از آنجا که ویروس HPV قابلیت انتقال بالا دارد، شناسایی به موقع ضایعات و پرهیز از روابط پرخطر میتواند نقش مهمی در جلوگیری از انتقال بیماری داشته باشد. همچنین، آگاهی از نشانههای اولیه باعث کاهش اضطراب و تصمیمگیری درست در انتخاب روشهای درمانی میشود.
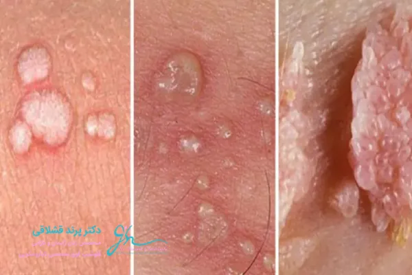
ظاهر زگیل تناسلی
زگیلهای تناسلی معمولاً به شکل برجستگیهای کوچک و گوشتی ظاهر میشوند. این برجستگیها ممکن است:
-
به صورت منفرد یا خوشهای باشند.
-
رنگی مشابه پوست یا کمی تیرهتر داشته باشند.
-
سطح صاف یا نامنظم شبیه به گلکلم داشته باشند.
-
بدون درد باشند، اما در برخی موارد باعث خارش یا سوزش شوند.
محلهای شایع بروز زگیل تناسلی
زگیل تناسلی در زنان و مردان ممکن است در نواحی مختلفی ایجاد شود. در مردان بیشتر روی آلت تناسلی، بیضهها و اطراف مقعد دیده میشود و در زنان معمولاً در دهانه واژن، دیواره داخلی واژن، لبهای تناسلی و مقعد ظاهر میگردد. گاهی زگیلها در داخل مجرای ادرار یا دهانه رحم نیز رشد میکنند که بدون معاینه پزشک قابل تشخیص نیستند.
تفاوت زگیل تناسلی با جوش یا آکنه
بسیاری از افراد زگیل تناسلی را با جوش، آکنه یا کیستهای پوستی اشتباه میگیرند. تفاوت اصلی زگیل تناسلی با جوش در این است که جوشها معمولاً قرمز، ملتهب و همراه با ترشح چرکی هستند، در حالی که زگیلها برجستگیهای سفت و بدون ترشحاند و اغلب درد یا التهاب خاصی ایجاد نمیکنند.
تفاوت زگیل تناسلی با زگیل معمولی
زگیلهای معمولی که روی دست یا پا ظاهر میشوند، با ویروسهای دیگر HPV ایجاد میشوند و ارتباطی با رابطه جنسی ندارند. در حالی که زگیل تناسلی اغلب از طریق تماس جنسی منتقل میشود. زگیلهای تناسلی معمولاً نرمتر، مرطوبتر و سریعتر گسترش مییابند.
علائم هشداردهنده زگیل تناسلی
برخی علائم میتوانند احتمال زگیل تناسلی را افزایش دهند، از جمله:
-
مشاهده برجستگیهای کوچک و متعدد در ناحیه تناسلی
-
خارش یا سوزش مداوم در ناحیه درگیر
-
احساس وجود توده یا زائده هنگام لمس
-
وجود ضایعات شبیه گلکلم در اطراف واژن یا آلت تناسلی
-
خونریزی یا درد در هنگام رابطه جنسی در برخی موارد
روشهای ساده تشخیص زگیل تناسلی در خانه
-
بررسی دقیق با آینه: استفاده از آینه برای مشاهده نواحی تناسلی و مقعدی به ویژه در زنان ضروری است.
-
لمس با انگشت: زگیلها معمولاً سفتتر از پوست اطراف هستند و هنگام لمس به شکل برجستگی احساس میشوند.
-
مقایسه ظاهری: توجه به شکل گلکلمی و رشد خوشهای میتواند کمککننده باشد.
-
پیگیری تغییرات: اگر برجستگیها طی هفتهها بزرگتر یا بیشتر شدند، احتمال زگیل تناسلی بالاتر است.
چه زمانی باید به پزشک مراجعه کرد؟
تشخیص خانگی فقط برای شناسایی اولیه کاربرد دارد و جایگزین معاینه تخصصی پزشک نمیشود. مراجعه به پزشک در شرایط زیر ضروری است:
-
ضایعات جدیدی در ناحیه تناسلی ظاهر شود.
-
برجستگیها در حال رشد و تکثیر باشند.
-
زگیلها با درد، خونریزی یا التهاب همراه شوند.
روشهای تخصصی تشخیص زگیل تناسلی
پزشکان برای تشخیص قطعی از روشهای مختلفی استفاده میکنند، از جمله:
-
معاینه بالینی توسط متخصص زنان یا اورولوژیست
-
آزمایش پاپ اسمیر برای بررسی دهانه رحم در زنان
-
آزمایش HPV DNA برای شناسایی نوع ویروس
-
کولپوسکوپی برای بررسی دقیق ضایعات داخلی در زنان
خطرات عدم تشخیص به موقع زگیل تناسلی
نادیده گرفتن یا اشتباه گرفتن زگیل تناسلی با بیماریهای دیگر میتواند خطرناک باشد. برخی انواع HPV پرخطر میتوانند در طول زمان باعث سرطان دهانه رحم در زنان یا سرطان آلت و مقعد در مردان شوند. همچنین، فرد مبتلا میتواند ناخواسته ویروس را به شریک جنسی خود منتقل کند.
پیشگیری از زگیل تناسلی
برای کاهش احتمال ابتلا و انتقال، رعایت نکات پیشگیرانه اهمیت زیادی دارد:
-
استفاده از کاندوم در تمام روابط جنسی
-
واکسیناسیون HPV برای مردان و زنان
-
داشتن روابط جنسی ایمن و پرهیز از چند شریک جنسی
-
تقویت سیستم ایمنی با تغذیه سالم و ورزش منظم
جمعبندی
تشخیص زگیل تناسلی در خانه امکانپذیر است اما نیازمند دقت و توجه به نشانههای ظاهری و تغییرات پوستی در ناحیه تناسلی است. با این حال، تشخیص نهایی و قطعی فقط توسط پزشک امکانپذیر میباشد. هرگونه ضایعه مشکوک باید جدی گرفته شود و مراجعه سریع به متخصص میتواند از پیشرفت بیماری و انتقال آن جلوگیری کند. آگاهی و مراقبتهای بهداشتی، بهترین راهکار برای مقابله با زگیل تناسلی و حفظ سلامت جنسی است.

















دیدگاه کاربران
مطلب بسیار مفید و آموزنده بود، ممنون!
امیدوارم پستهای بیشتری در این زمینه ببینیم.
ارسال دیدگاه