تفاوت عفونت قارچی با تبخال تناسلی
عفونتهای دستگاه تناسلی از جمله مشکلات شایعی هستند که بسیاری از زنان و مردان در طول زندگی خود با آن مواجه میشوند. دو بیماری شایع در این زمینه، عفونت قارچی و تبخال تناسلی هستند که گاهی به دلیل شباهت علائم اولیه، تشخیص آنها دشوار میشود. شناخت دقیق تفاوت عفونت قارچی با تبخال تناسلی اهمیت زیادی دارد، زیرا نوع درمان و مراقبتهای هر کدام متفاوت بوده و عدم تشخیص صحیح میتواند منجر به عوارض جدی یا طولانی شدن روند درمان شود.
عفونت قارچی دستگاه تناسلی چیست؟
عفونت قارچی دستگاه تناسلی عمدتاً توسط قارچی به نام کاندیدا آلبیکانس ایجاد میشود. این قارچ به طور طبیعی در بدن وجود دارد، اما در شرایط خاص مانند مصرف آنتیبیوتیکها، بارداری، دیابت کنترل نشده یا ضعف سیستم ایمنی، بیش از حد رشد کرده و موجب عفونت میشود.
علائم عفونت قارچی شامل موارد زیر است:
-
خارش شدید و مداوم در ناحیه تناسلی
-
ترشحات سفید غلیظ شبیه پنیر
-
سوزش و التهاب واژن یا آلت تناسلی
-
درد هنگام رابطه جنسی
-
قرمزی و تورم اطراف ناحیه تناسلی بیماری هایی که با تبخال تناسلی اشتباه گرفته می شود
این نوع عفونت مسری نیست و از طریق رابطه جنسی منتقل نمیشود، اما رابطه جنسی میتواند علائم را تشدید کند.
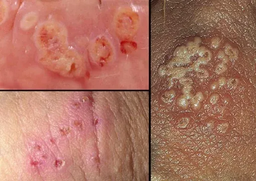
تبخال تناسلی چیست؟
تبخال تناسلی یک بیماری مقاربتی (STD) است که توسط ویروس هرپس سیمپلکس نوع ۲ (HSV-2) و گاهی نوع ۱ (HSV-1) ایجاد میشود. این بیماری به شدت مسری است و عمدتاً از طریق تماس جنسی منتقل میشود.
علائم تبخال تناسلی عبارتند از:
-
ایجاد تاولهای کوچک پر از مایع در اطراف واژن، آلت تناسلی یا مقعد
-
احساس درد، سوزش یا خارش در محل تاولها
-
ترکیدن تاولها و تبدیل شدن آنها به زخمهای باز
-
درد هنگام ادرار کردن
-
تب، سردرد و احساس خستگی در برخی موارد
تبخال تناسلی برخلاف عفونت قارچی، یک بیماری مزمن است و ویروس پس از ورود به بدن، به طور کامل از بین نمیرود. این بیماری معمولاً با دورههای عود همراه است و علائم آن ممکن است پس از مدتی دوباره ظاهر شوند.
تفاوتهای اصلی عفونت قارچی و تبخال تناسلی
با وجود شباهتهایی در بروز علائم، این دو بیماری تفاوتهای مهمی با یکدیگر دارند:
-
عامل ایجاد بیماری
-
عفونت قارچی: ناشی از رشد بیش از حد قارچ کاندیدا.
-
تبخال تناسلی: ناشی از ویروس هرپس سیمپلکس.
-
-
نحوه انتقال
-
عفونت قارچی: مسری نیست و معمولاً در اثر تغییر تعادل فلور طبیعی بدن ایجاد میشود.
-
تبخال تناسلی: یک بیماری مقاربتی است و از طریق تماس جنسی منتقل میشود.
-
-
علائم ظاهری
-
عفونت قارچی: خارش، ترشحات سفید و التهاب.
-
تبخال تناسلی: تاولهای پر از مایع که به زخم تبدیل میشوند.
-
-
مدت زمان بیماری
-
عفونت قارچی: با درمان مناسب در مدت کوتاهی برطرف میشود.
-
تبخال تناسلی: یک بیماری مادامالعمر است که دورههای عود مکرر دارد.
-
-
درمان
-
عفونت قارچی: با داروهای ضد قارچ مانند کلوتریمازول یا فلوکونازول درمان میشود.
-
تبخال تناسلی: با داروهای ضد ویروس مانند آسیکلوویر کنترل میشود اما درمان قطعی ندارد.
-
عوارض احتمالی هر بیماری
-
عفونت قارچی: در صورت عدم درمان میتواند باعث التهاب شدید، ترک خوردن پوست و ایجاد ناراحتیهای مداوم شود. در زنان باردار احتمال انتقال قارچ به نوزاد در حین زایمان وجود دارد.
-
تبخال تناسلی: میتواند منجر به عفونتهای مکرر، انتقال به شریک جنسی و در زنان باردار انتقال ویروس به جنین یا نوزاد شود که خطرناک است.

تشخیص عفونت قارچی و تبخال تناسلی
پزشک معمولاً با معاینه بالینی میتواند بین این دو بیماری تفاوت قائل شود. در برخی موارد، آزمایشهایی مانند کشت قارچ یا آزمایش خون برای تشخیص تبخال تناسلی لازم است.
پیشگیری از عفونت قارچی و تبخال تناسلی
-
برای عفونت قارچی: رعایت بهداشت فردی، استفاده از لباس زیر نخی و اجتناب از مصرف بیرویه آنتیبیوتیکها توصیه میشود.
-
برای تبخال تناسلی: استفاده از کاندوم در رابطه جنسی، پرهیز از رابطه در دوران بروز علائم و داشتن شریک جنسی ثابت کمککننده است.
جمعبندی
عفونت قارچی و تبخال تناسلی دو بیماری شایع دستگاه تناسلی هستند که علائم اولیه مشابهی مانند خارش و سوزش ایجاد میکنند اما تفاوتهای اساسی دارند. عفونت قارچی یک بیماری غیرمقاربتی و قابل درمان کامل است، در حالی که تبخال تناسلی یک بیماری ویروسی مقاربتی و مزمن محسوب میشود که درمان قطعی ندارد اما میتوان آن را کنترل کرد. تشخیص بهموقع و مراجعه به پزشک برای دریافت درمان مناسب، بهترین راه برای پیشگیری از عوارض و بازگشت سلامت دستگاه تناسلی است. تفاوت مولوسکوم و تبخال تناسلی
تفاوت عفونت قارچی با زگیل تناسلی
عفونت قارچی دستگاه تناسلی و زگیل تناسلی از شایعترین مشکلات ناحیه تناسلی هستند که بسیاری از زنان و مردان در طول زندگی خود ممکن است با آنها مواجه شوند. این دو عارضه علائم مشابهی مانند خارش، سوزش یا ضایعات پوستی ایجاد میکنند و به همین دلیل ممکن است با هم اشتباه گرفته شوند. با این حال، از نظر علت ایجاد، شدت بیماری، روش درمان و پیامدهای بلندمدت تفاوتهای اساسی با یکدیگر دارند. شناخت تفاوت عفونت قارچی با زگیل تناسلی به بیماران کمک میکند تا به موقع به پزشک مراجعه کرده و درمان مناسب را دریافت کنند.
علت ایجاد عفونت قارچی و زگیل تناسلی
علت عفونت قارچی
عفونت قارچی تناسلی بیشتر به دلیل رشد بیش از حد قارچ کاندیدا آلبیکانس به وجود میآید. این قارچ به طور طبیعی در بدن وجود دارد اما عواملی مانند مصرف آنتیبیوتیک، تغییرات هورمونی، دیابت کنترل نشده، استفاده از لباس زیر نامناسب یا ضعف سیستم ایمنی میتوانند باعث افزایش رشد آن و بروز علائم شوند.
علت زگیل تناسلی
زگیل تناسلی ناشی از ابتلا به ویروس HPV (ویروس پاپیلومای انسانی) است. این ویروس از طریق تماس جنسی منتقل میشود و میتواند انواع مختلفی داشته باشد. برخی از گونههای HPV خطر ابتلا به سرطان دهانه رحم، مقعد یا آلت تناسلی را افزایش میدهند. به همین دلیل زگیل تناسلی برخلاف عفونت قارچی، یک بیماری مقاربتی محسوب میشود.
علائم عفونت قارچی
-
خارش شدید در ناحیه تناسلی
-
ترشحات سفید و غلیظ با ظاهر شبیه پنیر
-
سوزش هنگام ادرار یا رابطه جنسی
-
قرمزی و التهاب پوست اطراف واژن یا آلت تناسلی فرق زونا و تبخال تناسلی
-
احساس خشکی یا درد در ناحیه تناسلی
این علائم معمولاً ظرف چند روز ظاهر میشوند و میتوانند کیفیت زندگی فرد را تحت تأثیر قرار دهند.
علائم زگیل تناسلی
-
بروز برجستگیهای کوچک و نرم روی پوست ناحیه تناسلی
-
ضایعات ممکن است به صورت تکی یا خوشهای (شبیه گل کلم) ظاهر شوند تفاوت جوش و تبخال تناسلی
-
معمولاً بدون درد هستند اما میتوانند خارش یا ناراحتی ایجاد کنند
-
در برخی موارد بسیار کوچک و نامحسوس بوده و تنها با معاینه پزشک تشخیص داده میشوند
-
احتمال خونریزی ضایعات در صورت تحریک یا خراش وجود دارد
شباهتهای عفونت قارچی و زگیل تناسلی
-
هر دو میتوانند باعث خارش و سوزش در ناحیه تناسلی شوند
-
در مواردی هر دو با ترشحات غیرطبیعی همراه هستند
-
هر دو نیازمند مراجعه به پزشک برای تشخیص قطعی هستند
-
درمان خودسرانه میتواند منجر به تأخیر در بهبود یا بدتر شدن علائم شود

تفاوتهای اصلی عفونت قارچی با زگیل تناسلی
تفاوت در علت
-
عفونت قارچی: ناشی از رشد قارچ کاندیدا
-
زگیل تناسلی: ناشی از ویروس HPV
تفاوت در نحوه انتقال
-
عفونت قارچی: اغلب مسری نیست و بیشتر به دلیل شرایط داخلی بدن ایجاد میشود
-
زگیل تناسلی: یک بیماری مقاربتی است و از طریق تماس جنسی منتقل میشود
تفاوت در شکل ضایعات
-
عفونت قارچی: معمولاً ضایعات پوستی ندارد و بیشتر با ترشحات و التهاب همراه است
-
زگیل تناسلی: ضایعات برجسته، نرم و گاهی خوشهای شکل ایجاد میکند
تفاوت در پیامدها
-
عفونت قارچی: در صورت درمان به موقع به راحتی برطرف میشود و معمولاً عارضه جدی به دنبال ندارد
-
زگیل تناسلی: برخی گونههای HPV میتوانند به سرطان دهانه رحم یا سرطانهای دیگر منجر شوند و نیازمند پیگیری بلندمدت هستند
روشهای تشخیص
پزشک برای تشخیص دقیق از روشهای زیر استفاده میکند:
-
معاینه بالینی: مشاهده ضایعات پوستی یا علائم ظاهری
-
آزمایش ترشحات واژینال: برای شناسایی قارچ کاندیدا
-
آزمایش HPV: برای شناسایی نوع ویروس
درمان عفونت قارچی
-
استفاده از کرمها و شیافهای ضد قارچ مانند کلوتریمازول یا میکونازول تفاوت قارچ با زگیل تناسلی در مردان
-
مصرف داروهای خوراکی ضد قارچ مانند فلوکونازول در موارد شدید
-
رعایت بهداشت فردی و استفاده از لباس زیر نخی و گشاد
-
پرهیز از مصرف بیرویه آنتیبیوتیکها
-
کنترل بیماریهایی مانند دیابت
درمان زگیل تناسلی
-
کرمها یا محلولهای موضعی تجویز شده توسط پزشک (مانند پودوفیلین یا ایمیکویمود)
-
فریز کردن ضایعات (کرایوتراپی)
-
لیزر درمانی یا جراحی برای برداشتن زگیلهای بزرگتر
-
تزریق واکسن HPV برای پیشگیری از ابتلا به انواع پرخطر ویروس تفاوت عفونت قارچی با زگیل تناسلی
-
پیگیری دورهای جهت بررسی احتمال تغییرات پیشسرطانی
راههای پیشگیری
پیشگیری از عفونت قارچی
-
رعایت بهداشت فردی
-
اجتناب از پوشیدن لباس زیر تنگ و مرطوب
-
مصرف ماست و پروبیوتیک برای تقویت فلور طبیعی بدن تفاوت جوش و تبخال تناسلی نی نی سایت
-
کنترل قند خون در افراد دیابتی
پیشگیری از زگیل تناسلی
-
استفاده از کاندوم در روابط جنسی (هرچند محافظت کامل ایجاد نمیکند)
-
دریافت واکسن HPV عکس قارچ پوستی در ناحیه تناسلی زنان
-
داشتن رابطه جنسی ایمن و پایدار
-
معاینات دورهای زنان برای تشخیص زودهنگام تغییرات دهانه رحم
نتیجهگیری
عفونت قارچی و زگیل تناسلی از نظر علائم ممکن است شباهتهایی داشته باشند اما از نظر علت، روش انتقال، پیامدها و درمان تفاوتهای اساسی دارند. عفونت قارچی معمولاً بیخطر و قابل درمان است، در حالی که زگیل تناسلی یک بیماری ویروسی مقاربتی با احتمال بروز عوارض جدی مانند سرطان میباشد. به همین دلیل تشخیص دقیق توسط پزشک و آغاز درمان مناسب اهمیت زیادی دارد.
فرق زونا و تبخال تناسلی
بیماریهای پوستی و ویروسی دستگاه تناسلی و پوست از جمله مشکلاتی هستند که میتوانند سلامت جسمی و روحی فرد را تحت تأثیر قرار دهند. دو بیماری شایع در این زمینه زونا و تبخال تناسلی هستند که اگرچه هر دو منشأ ویروسی دارند اما از نظر علائم، شدت، عوامل ایجادکننده و شیوههای درمان تفاوتهای زیادی با یکدیگر دارند. بسیاری از افراد این دو بیماری را اشتباه میگیرند و همین موضوع باعث میشود روند تشخیص و درمان با تأخیر همراه باشد. در این مقاله بهطور کامل و طولانی به بررسی فرق زونا و تبخال تناسلی پرداخته میشود تا بتوانید شناخت دقیقی از این دو بیماری داشته باشید.
علت ایجاد زونا
زونا یک بیماری ویروسی است که عامل ایجاد آن ویروس واریسلا زوستر میباشد؛ همان ویروسی که باعث بیماری آبله مرغان در دوران کودکی میشود. پس از بهبودی از آبله مرغان، این ویروس بهطور خاموش در بدن و بهویژه در بافتهای عصبی باقی میماند. در برخی شرایط مانند ضعف سیستم ایمنی، استرس شدید، بیماریهای مزمن یا افزایش سن، ویروس دوباره فعال میشود و این بار بهجای ایجاد آبله مرغان، بیماری زونا را ایجاد میکند.
علت ایجاد تبخال تناسلی
تبخال تناسلی ناشی از ویروس هرپس سیمپلکس نوع دوم (HSV-2) و گاهی نوع اول (HSV-1) است. این ویروس عمدتاً از طریق تماس جنسی منتقل میشود و پس از ورود به بدن، در سلولهای عصبی ناحیه تناسلی مخفی میماند. فعال شدن مجدد این ویروس نیز میتواند در اثر عواملی مانند استرس، تب، بیماریهای دیگر یا تضعیف سیستم ایمنی رخ دهد. بنابراین برخلاف زونا که بیشتر به سابقه ابتلا به آبله مرغان مرتبط است، تبخال تناسلی ارتباط مستقیم با رفتارهای جنسی و انتقال ویروس دارد.
علائم بالینی زونا
علائم زونا معمولاً با احساس سوزش، خارش یا درد در یک ناحیه خاص از بدن آغاز میشود. پس از چند روز بثورات پوستی به صورت تاولهای پر از مایع ظاهر میشوند. این تاولها اغلب در یک سمت بدن ایجاد میشوند و معمولاً در نواحی مانند قفسه سینه، پشت یا صورت مشاهده میشوند. زونا معمولاً با درد عصبی شدیدی همراه است که حتی پس از برطرف شدن ضایعات پوستی نیز میتواند ادامه پیدا کند.
علائم بالینی تبخال تناسلی
تبخال تناسلی به شکل تاولها و زخمهای کوچک و دردناک در ناحیه تناسلی یا اطراف آن بروز میکند. این ضایعات ممکن است با علائمی مانند خارش، سوزش هنگام ادرار، درد در ناحیه تناسلی و ترشحات همراه باشند. در برخی افراد علائم عمومی مانند تب، سردرد و درد عضلانی نیز مشاهده میشود. برخلاف زونا، تبخال تناسلی محدود به ناحیه تناسلی است و بهطور مستقیم با روابط جنسی ارتباط دارد.
تفاوت در نحوه انتقال
یکی از مهمترین تفاوتهای زونا و تبخال تناسلی نحوه انتقال آنها است. زونا مسری است اما به شیوهای خاص؛ یعنی فرد مبتلا به زونا نمیتواند زونا را به فرد دیگری منتقل کند، بلکه ممکن است ویروس واریسلا زوستر را منتقل کند که در فردی که قبلاً آبله مرغان نگرفته، باعث آبله مرغان میشود. اما تبخال تناسلی از طریق تماس مستقیم جنسی (واژینال، مقعدی یا دهانی) بهراحتی منتقل میشود. به همین دلیل تبخال تناسلی بهعنوان یک بیماری مقاربتی شناخته میشود.
شدت و مدت بیماری
زونا معمولاً در یک دوره مشخص رخ میدهد و پس از چند هفته با درمان مناسب بهبود مییابد، هرچند عوارضی مانند درد عصبی پس از بیماری ممکن است طولانیمدت باقی بماند. اما تبخال تناسلی یک بیماری عودکننده است و ویروس بهطور کامل از بدن حذف نمیشود. فرد مبتلا ممکن است در طول زندگی بارها دچار عود تبخال تناسلی شود.
عوامل تشدیدکننده زونا و تبخال تناسلی
در زونا عواملی مانند افزایش سن، ضعف سیستم ایمنی و بیماریهای مزمن احتمال بروز و شدت بیماری را افزایش میدهند. در تبخال تناسلی نیز عواملی مانند استرس، خستگی، بیماریهای تبدار و تماس جنسی بدون محافظت باعث تحریک مجدد ویروس و بروز علائم میشوند.
روشهای تشخیص
تشخیص زونا معمولاً بر اساس علائم بالینی و ظاهر بثورات پوستی انجام میشود و در صورت نیاز میتوان از آزمایشهای ویروسشناسی استفاده کرد. برای تبخال تناسلی نیز علاوه بر معاینه بالینی، آزمایشهای ویروسی مانند PCR و کشت ویروس به تشخیص قطعی کمک میکنند.
روشهای درمان زونا
درمان زونا شامل استفاده از داروهای ضدویروس مانند آسیکلوویر، داروهای مسکن برای کنترل درد و مراقبتهای پوستی برای جلوگیری از عفونت ثانویه است. درمان زودهنگام میتواند شدت بیماری و مدت زمان آن را کاهش دهد.
روشهای درمان تبخال تناسلی
برای تبخال تناسلی نیز داروهای ضدویروس مانند آسیکلوویر، والاسیکلوویر و فامسیکلوویر استفاده میشوند. این داروها میتوانند شدت و مدت علائم را کاهش دهند و در موارد عود مکرر بهصورت پیشگیرانه مصرف شوند. درمانهای موضعی نیز میتوانند به کاهش علائم کمک کنند.
پیشگیری از زونا
پیشگیری از زونا با استفاده از واکسن زونا امکانپذیر است. این واکسن بهویژه برای افراد بالای ۵۰ سال توصیه میشود و میتواند خطر بروز زونا و عوارض ناشی از آن را کاهش دهد.
پیشگیری از تبخال تناسلی
برای پیشگیری از تبخال تناسلی مهمترین اقدام داشتن رابطه جنسی ایمن است. استفاده از کاندوم میتواند خطر انتقال را کاهش دهد، هرچند آن را بهطور کامل از بین نمیبرد. همچنین آگاهی از وضعیت سلامت شریک جنسی و پرهیز از رابطه در زمان بروز ضایعات پوستی اهمیت زیادی دارد.
جمعبندی
فرق زونا و تبخال تناسلی در چند جنبه اساسی نهفته است: عامل ایجادکننده آنها دو ویروس متفاوت هستند؛ نحوه انتقال زونا و تبخال تناسلی با یکدیگر فرق دارد؛ زونا بیشتر در اثر فعال شدن مجدد ویروس آبله مرغان ایجاد میشود، در حالیکه تبخال تناسلی از طریق تماس جنسی منتقل میشود؛ زونا معمولاً یکبار رخ میدهد اما تبخال تناسلی بارها عود میکند. شناخت این تفاوتها به تشخیص سریعتر و انتخاب روش درمان مناسب کمک میکند.
درمانهای خانگی و دارویی زونا و تبخال تناسلی
زونا و تبخال تناسلی هر دو بیماریهای ویروسی هستند که منشأ متفاوتی دارند اما در زمینه درمان میتوانند شباهتهایی داشته باشند. آگاهی از روشهای درمان خانگی و دارویی این دو بیماری میتواند به بیماران کمک کند تا روند بهبودی سریعتر و عوارض کمتری را تجربه کنند. در این مقاله بهطور کامل و طولانی به بررسی تفاوتها و شباهتهای درمان خانگی و دارویی زونا و تبخال تناسلی پرداخته میشود.
درمان دارویی زونا
برای درمان زونا معمولاً از داروهای ضدویروس مانند آسیکلوویر، والاسیکلوویر و فامسیکلوویر استفاده میشود. این داروها اگر در ۷۲ ساعت اول شروع بیماری مصرف شوند، شدت علائم و مدت دوره بیماری را کاهش میدهند. علاوه بر آن، داروهای مسکن مانند ایبوپروفن یا استامینوفن برای کنترل درد تجویز میشوند. در برخی موارد که درد عصبی شدید و طولانی است، پزشک ممکن است داروهای مخصوص دردهای عصبی مانند گاباپنتین یا ضدافسردگیهای سهحلقهای را نیز توصیه کند.
درمان دارویی تبخال تناسلی
تبخال تناسلی نیز با داروهای ضدویروس مانند آسیکلوویر، فامسیکلوویر و والاسیکلوویر درمان میشود. مصرف این داروها در اولین روزهای بروز علائم میتواند باعث کوتاه شدن دوره بیماری و کاهش شدت علائم شود. در مواردی که فرد بهطور مکرر دچار عود تبخال تناسلی میشود، پزشک ممکن است درمان طولانیمدت با دوز پایین داروهای ضدویروس را برای پیشگیری از عود توصیه کند. علاوه بر آن، کرمها یا ژلهای بیحسکننده موضعی مانند لیدوکائین میتوانند برای کاهش درد و سوزش مورد استفاده قرار گیرند.
درمان خانگی زونا
روشهای خانگی میتوانند نقش مکمل در درمان زونا داشته باشند. استفاده از کمپرس سرد روی ضایعات پوستی به کاهش درد و خارش کمک میکند. استحمام با آب ولرم و افزودن بلغور جو دوسر یا جوش شیرین به آب نیز میتواند باعث تسکین ضایعات شود. پوشیدن لباسهای نخی و گشاد به کاهش تحریک پوستی کمک میکند. همچنین استراحت کافی، مصرف مایعات و تغذیه سالم برای تقویت سیستم ایمنی اهمیت زیادی دارد.
درمان خانگی تبخال تناسلی
برای تبخال تناسلی نیز روشهای خانگی میتوانند به کاهش علائم کمک کنند. شستشوی ناحیه با آب ولرم و خشک کردن ملایم آن باعث کاهش تحریک و درد میشود. استفاده از کمپرس یخ میتواند تورم و سوزش را کاهش دهد. پرهیز از پوشیدن لباسهای تنگ و استفاده از لباس زیر نخی کمک میکند ناحیه تناسلی خشک و خنک باقی بماند. همچنین پرهیز از رابطه جنسی در دوران بروز علائم برای جلوگیری از انتقال بیماری ضروری است.
تفاوت در درمان خانگی زونا و تبخال تناسلی
با اینکه هر دو بیماری نیازمند مراقبتهای خانگی مشابه هستند، اما در زونا بیشتر تمرکز بر کاهش درد و پیشگیری از عفونت ثانویه ضایعات پوستی است. در حالیکه در تبخال تناسلی هدف اصلی کاهش ناراحتی در ناحیه تناسلی و جلوگیری از انتقال ویروس به شریک جنسی میباشد.
پیشگیری از عود بیماری
در زونا، تزریق واکسن مخصوص میتواند از بروز بیماری یا عوارض آن جلوگیری کند. در تبخال تناسلی، پیشگیری بیشتر بر اساس رعایت اصول بهداشتی و جنسی ایمن است. مدیریت استرس، خواب کافی و تغذیه سالم نیز در هر دو بیماری برای کاهش احتمال عود مؤثر هستند.
جمعبندی
درمان زونا و تبخال تناسلی ترکیبی از داروهای ضدویروس و روشهای مراقبتی خانگی است. در زونا تمرکز بیشتر بر کنترل درد و جلوگیری از عوارض طولانیمدت است، در حالیکه در تبخال تناسلی هدف اصلی کنترل عودهای مکرر و پیشگیری از انتقال ویروس است. آگاهی از این روشها به بیماران کمک میکند که با مدیریت بهتر بیماری، کیفیت زندگی خود را حفظ کنند.











دیدگاه کاربران
مطلب بسیار مفید و آموزنده بود، ممنون!
امیدوارم پستهای بیشتری در این زمینه ببینیم.
ارسال دیدگاه