تبخال تناسلی در زنان چگونه به وجود میآید؟
تبخال تناسلی یکی از شایعترین بیماریهای مقاربتی ویروسی در میان زنان است که توسط ویروس هرپس سیمپلکس (HSV) ایجاد میشود. این ویروس میتواند بهصورت خاموش در بدن باقی بماند و در شرایط خاص دوباره فعال شود. تبخال تناسلی علاوه بر ایجاد تاول و زخم در ناحیه تناسلی، ممکن است با علائم درد، سوزش و خارش همراه باشد و از نظر روانی نیز برای زنان استرسزا باشد. در این مقاله به طور جامع به علت ایجاد تبخال تناسلی در زنان، روشهای انتقال، علائم، درمان و پیشگیری از آن پرداخته میشود.
علت اصلی ایجاد تبخال تناسلی
عامل اصلی تبخال تناسلی ویروسی به نام هرپس سیمپلکس است که در دو نوع وجود دارد: علت تبخال تناسلی در زنان چیست
-
HSV-1: معمولاً باعث تبخال لب میشود اما میتواند از طریق رابطه دهانی به ناحیه تناسلی منتقل شود.
-
HSV-2: شایعترین عامل تبخال تناسلی است و معمولاً از طریق تماس مستقیم جنسی منتقل میشود.
ویروس هرپس پس از ورود به بدن از طریق پوست یا غشاهای مخاطی، در سلولهای عصبی پنهان میشود و ممکن است برای مدت طولانی غیرفعال بماند. اما در اثر عواملی مانند استرس، ضعف سیستم ایمنی، تب یا قاعدگی دوباره فعال شده و علائم بیماری ظاهر میشوند.
راههای انتقال تبخال تناسلی در زنان
انتقال تبخال تناسلی بهصورت مستقیم از فرد آلوده به فرد سالم انجام میشود. این انتقال معمولاً از طریق موارد زیر رخ میدهد:
-
رابطه جنسی واژنی، دهانی یا مقعدی بدون محافظ با فرد آلوده حتی در زمانی که علائم ظاهری وجود ندارد.
-
تماس پوست با پوست در ناحیه تناسلی، زیرا ویروس میتواند از طریق زخمهای کوچک یا خراشهای سطحی منتقل شود.
-
انتقال از مادر به جنین یا نوزاد در زمان زایمان، بهویژه اگر مادر در آن زمان دچار عفونت فعال باشد.
-
استفاده از وسایل شخصی مشترک مانند حوله یا لباس زیر آلوده، گرچه احتمال این نوع انتقال بسیار کم است.

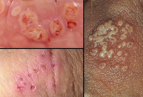
علائم تبخال تناسلی در زنان
علائم تبخال تناسلی معمولاً ۲ تا ۱۲ روز پس از تماس با ویروس ظاهر میشوند. در برخی زنان عفونت ممکن است خفیف باشد و بدون علامت بگذرد، اما در موارد شدید علائم واضحی بروز میکند:
-
بروز تاولهای کوچک، دردناک و پر از مایع روی لبهای واژن، ناحیه تناسلی یا اطراف مقعد.
-
احساس خارش، سوزش یا گزگز قبل از ظاهر شدن تاولها.
-
ترکیدن تاولها و ایجاد زخمهای باز که دردناک هستند.
-
تورم غدد لنفاوی کشاله ران.
-
تب، خستگی، سردرد و احساس ناخوشی عمومی در موارد شدید.
در اولین ابتلا، علائم معمولاً شدیدتر و طولانیتر هستند، اما در عودهای بعدی خفیفتر میشوند.
عوامل تحریککننده بازگشت تبخال تناسلی
ویروس هرپس پس از اولین ابتلا در بدن باقی میماند و ممکن است در اثر برخی شرایط دوباره فعال شود:
-
استرسهای روحی و جسمی
-
تب و بیماریهای عفونی
-
قاعدگی در زنان
-
ضعف سیستم ایمنی
-
کمخوابی یا خستگی زیاد
روشهای تشخیص تبخال تناسلی در زنان
تشخیص تبخال تناسلی معمولاً بر اساس معاینه بالینی پزشک و بررسی علائم ظاهری انجام میشود، اما برای اطمینان بیشتر از روشهای آزمایشگاهی استفاده میشود:
-
آزمایش ویروسشناسی (کشت ویروس) از مایع داخل تاولها.
-
آزمایش PCR برای تشخیص DNA ویروس.
-
آزمایش خون برای بررسی آنتیبادیهای ضد هرپس در بدن.
درمان تبخال تناسلی در زنان
در حال حاضر درمان قطعی برای از بین بردن ویروس هرپس وجود ندارد، اما با داروهای ضدویروسی میتوان علائم را کنترل کرد و از عود مکرر جلوگیری نمود.
-
داروهای ضدویروسی خوراکی مانند آسیکلوویر، والاسیکلوویر و فامسیکلوویر میتوانند شدت و مدت علائم را کاهش دهند.
-
در موارد شدید ممکن است پزشک درمان طولانیمدت پیشگیرانه را توصیه کند.
-
استفاده از کمپرس سرد یا آب گرم برای تسکین درد و سوزش مفید است.
-
رعایت بهداشت ناحیه تناسلی و خشک نگه داشتن آن روند بهبودی را تسریع میکند.
پیشگیری از تبخال تناسلی در زنان
-
استفاده از کاندوم در هر رابطه جنسی، حتی رابطه دهانی.
-
اجتناب از رابطه جنسی در زمان وجود زخم یا تاول فعال.
-
داشتن رابطه جنسی با شریک ثابت و مطمئن.
-
شستوشوی دستها پس از تماس با ناحیه آلوده. تبخال تناسلی و ازدواج
-
افزایش سیستم ایمنی بدن با تغذیه مناسب، خواب کافی و کاهش استرس.
عوارض احتمالی تبخال تناسلی
در بیشتر موارد تبخال تناسلی خفیف و قابل کنترل است، اما در برخی زنان میتواند عوارضی ایجاد کند:
-
انتقال به جنین یا نوزاد در زمان زایمان.
-
عفونتهای ثانویه باکتریایی در محل زخمها.
-
درد مزمن عصبی در ناحیه تناسلی در برخی بیماران.
تأثیر تبخال تناسلی بر روابط زناشویی و روان زنان
ابتلا به تبخال تناسلی ممکن است باعث اضطراب، احساس خجالت یا ترس از طرد شدن در روابط عاطفی شود. آگاهی از ماهیت بیماری و گفتوگوی صادقانه با شریک جنسی میتواند از بروز سوءتفاهم جلوگیری کند. حمایت روانی و آگاهی از اینکه این بیماری قابل کنترل است، اهمیت زیادی دارد.
جمعبندی
تبخال تناسلی در زنان یک عفونت ویروسی شایع است که توسط ویروس هرپس ایجاد میشود و از طریق تماس جنسی منتقل میگردد. شناخت علائم، رعایت بهداشت، استفاده از محافظهای جنسی و درمان دارویی به موقع میتواند از گسترش بیماری و عود مجدد آن جلوگیری کند. اگرچه درمان قطعی برای حذف ویروس وجود ندارد، اما با رعایت اصول مراقبتی، میتوان زندگی سالم و بدون نگرانی را ادامه داد.
تبخال تناسلی در چه صورت انتقال مییابد؟
تبخال تناسلی یکی از شایعترین بیماریهای مقاربتی است که بسیاری از افراد در سراسر جهان به آن مبتلا میشوند. این بیماری توسط ویروسی به نام هرپس سیمپلکس (Herpes Simplex Virus) ایجاد میشود که دو نوع اصلی دارد: نوع یک (HSV-1) و نوع دو (HSV-2). نوع اول بیشتر باعث تبخال لب و اطراف دهان میشود، اما میتواند به ناحیه تناسلی نیز منتقل شود. نوع دوم، علت اصلی تبخال تناسلی است و معمولاً از طریق تماس جنسی انتقال مییابد. شناخت شرایط انتقال تبخال تناسلی اهمیت زیادی دارد، زیرا این ویروس حتی زمانی که علائم قابل مشاهدهای ندارد نیز میتواند منتقل شود.
علت ایجاد تبخال تناسلی
عامل اصلی ایجاد تبخال تناسلی ویروس هرپس است. این ویروس پس از ورود به بدن، در سلولهای عصبی پنهان میشود و ممکن است سالها در بدن بدون علامت باقی بماند. در برخی شرایط مانند ضعف سیستم ایمنی، استرس، تغییرات هورمونی، یا تماس مجدد با ویروس، تبخال دوباره فعال شده و علائم ظاهر میشوند. این دورههای عود میتواند چندین بار در طول زندگی فرد تکرار شود.
راههای انتقال تبخال تناسلی
تبخال تناسلی از طریق تماس مستقیم با ناحیه آلوده منتقل میشود. شایعترین راه انتقال، رابطه جنسی واژینال، مقعدی یا دهانی با فردی است که ویروس را در بدن دارد. نکته مهم این است که حتی در زمانی که زخمها یا تاولها قابل مشاهده نیستند، ویروس میتواند از پوست یا ترشحات بدن فرد ناقل به فرد دیگر منتقل شود. برخی از راههای اصلی انتقال عبارتاند از:
-
تماس پوست با پوست در حین رابطه جنسی: اگر ناحیه تناسلی یکی از طرفین دارای ویروس فعال باشد، تماس فیزیکی کافی برای انتقال ویروس است.
-
رابطه جنسی دهانی: اگر فردی با تبخال دهانی با شریک جنسی خود تماس دهانی برقرار کند، ممکن است ویروس HSV-1 را به ناحیه تناسلی منتقل کند.
-
رابطه مقعدی: ویروس هرپس به راحتی میتواند از ناحیه تناسلی یا لبها به مقعد منتقل شود.
-
استفاده مشترک از وسایل شخصی: اگرچه نادر است، اما در برخی موارد تماس غیرمستقیم از طریق حوله یا لباس زیر آلوده نیز میتواند ویروس را منتقل کند.
انتقال در زمان بدون علائم
بسیاری از افراد تصور میکنند که تبخال فقط در زمان وجود تاول یا زخم قابل انتقال است، اما واقعیت این است که ویروس حتی زمانی که علائم قابل مشاهده وجود ندارد، میتواند از بدن فرد ناقل ترشح و منتقل شود. به این حالت «ریزش بدون علامت ویروس» گفته میشود. به همین دلیل، استفاده از وسایل محافظتی مانند کاندوم میتواند خطر انتقال را کاهش دهد، اما آن را به طور کامل از بین نمیبرد، زیرا کاندوم فقط بخشی از پوست را میپوشاند.
عوامل افزایشدهنده احتمال انتقال
چند عامل وجود دارد که میتواند احتمال انتقال تبخال تناسلی را افزایش دهد:
-
داشتن رابطه جنسی با چند شریک مختلف
-
عدم استفاده از وسایل محافظتی
-
وجود زخم یا خراش در ناحیه تناسلی
-
ضعف سیستم ایمنی بدن
-
وجود سایر بیماریهای مقاربتی همزمان
انتقال از مادر به نوزاد
یکی از خطرناکترین راههای انتقال تبخال تناسلی، انتقال آن از مادر مبتلا به نوزاد در زمان زایمان است. اگر مادر در دوران بارداری به تبخال تناسلی فعال مبتلا باشد، ممکن است ویروس به نوزاد منتقل شود و باعث عفونت شدید در او شود. در چنین شرایطی پزشک معمولاً توصیه به زایمان سزارین میکند تا از تماس نوزاد با ناحیه آلوده جلوگیری شود.
آیا تبخال تناسلی از طریق بوسیدن منتقل میشود؟
اگر تبخال در ناحیه دهان فعال باشد و فرد دیگری را ببوسید، ممکن است ویروس به او منتقل شود. اما انتقال تبخال تناسلی از طریق بوسیدن معمولی (در صورت نداشتن تبخال دهانی فعال) بعید است. با این حال، بوسیدن در هنگام وجود تاول یا زخم در لب میتواند منبع انتقال ویروس HSV-1 به دیگران باشد.
پیشگیری از انتقال تبخال تناسلی
اگرچه درمان قطعی برای تبخال تناسلی وجود ندارد، اما راههای مؤثری برای کاهش خطر انتقال آن وجود دارد:
-
استفاده مداوم از کاندوم در روابط جنسی
-
خودداری از رابطه جنسی در هنگام وجود تاول یا زخم
-
آگاهی و گفتوگو با شریک جنسی درباره ابتلا به هرپس
-
مصرف داروهای ضدویروسی برای کاهش دفعات عود و میزان انتقال
-
رعایت بهداشت شخصی و خودداری از استفاده مشترک از وسایل شخصی علائم تبخال تناسلی در مردان
آیا تبخال تناسلی خطرناک است؟
در بیشتر موارد تبخال تناسلی تهدیدی جدی برای زندگی نیست، اما میتواند ناراحتیهای جسمی و روانی ایجاد کند. درد، خارش و سوزش از علائم شایع این بیماری هستند. از سوی دیگر، استرس ناشی از ترس از انتقال به دیگران یا احساس شرم اجتماعی نیز در بیماران دیده میشود. با این حال، آگاهی از ماهیت بیماری، مراجعه منظم به پزشک و رعایت مراقبتهای لازم میتواند کنترل بیماری را آسانتر کند.
تشخیص تبخال تناسلی
پزشک معمولاً با معاینه فیزیکی زخمها و در صورت نیاز انجام آزمایش خون یا تست نمونه از زخم میتواند وجود ویروس هرپس را تشخیص دهد. در برخی موارد، به ویژه زمانی که فرد علائم واضحی ندارد، آزمایش خون برای بررسی وجود آنتیبادی ویروس انجام میشود.
درمان تبخال تناسلی
هیچ درمانی که ویروس را بهطور کامل از بدن حذف کند وجود ندارد، اما داروهای ضدویروسی مانند آسیکلوویر، والاسیکلوویر و فامسیکلوویر میتوانند به کاهش علائم و کوتاه کردن مدت عفونت کمک کنند. استفاده منظم از این داروها همچنین احتمال انتقال ویروس به دیگران را کاهش میدهد.
جمعبندی
تبخال تناسلی بیماریای شایع ولی قابل کنترل است. این بیماری از طریق تماس جنسی، تماس دهانی و حتی در برخی موارد از مادر به نوزاد منتقل میشود. نکته مهم این است که انتقال ویروس حتی در غیاب علائم نیز ممکن است، بنابراین آگاهی، رعایت بهداشت جنسی، و مشورت با پزشک نقش مهمی در پیشگیری از گسترش آن دارند. در صورت ابتلا نیز پیگیری درمان و مراقبتهای منظم میتواند از عودهای مکرر جلوگیری کرده و کیفیت زندگی را بهبود بخشد.
تبخال تناسلی در کجا ظاهر میشود؟
تبخال تناسلی یکی از شایعترین بیماریهای مقاربتی است که توسط ویروس هرپس سیمپلکس (Herpes Simplex Virus) ایجاد میشود. این ویروس معمولاً در اثر تماس مستقیم پوست یا مخاط با فرد آلوده، بهویژه هنگام رابطه جنسی، منتقل میگردد. تبخال تناسلی ممکن است بدون علامت باشد یا با تاولها و زخمهای دردناک همراه شود. شناخت محل دقیق بروز تبخال تناسلی، انواع آن، نحوه انتقال و درمان، نقش مهمی در پیشگیری و کنترل این بیماری دارد.
محلهای شایع بروز تبخال تناسلی در زنان
در زنان، تبخال تناسلی میتواند در بخشهای مختلف دستگاه تناسلی خارجی و داخلی ظاهر شود. رایجترین نواحی درگیر عبارتند از:
لبههای واژن (لابیا ماژور و لابیا مینور): یکی از شایعترین نقاط بروز تبخال در زنان، لبههای بیرونی و داخلی واژن است. تاولها ممکن است کوچک، خوشهای و دردناک باشند و معمولاً بعد از چند روز پاره شده و به زخم تبدیل میشوند.
دهانه واژن: در برخی موارد، تبخال میتواند داخل واژن یا در نزدیکی دهانه رحم ظاهر شود. این حالت معمولاً با درد هنگام رابطه جنسی و ترشحات غیرطبیعی همراه است.
ناحیه تناسلی بیرونی و کشاله ران: ویروس ممکن است به پوست اطراف واژن و حتی کشاله ران گسترش یابد و موجب بروز تاول و خارش شود.
باسن و مقعد: در مواردی که رابطه مقعدی انجام شود یا ویروس از طریق تماس پوستی منتقل شود، تبخال در ناحیه باسن، اطراف مقعد یا میاندوراه (فاصله بین واژن و مقعد) نیز دیده میشود.
محلهای شایع بروز تبخال تناسلی در مردان
در مردان نیز تبخال تناسلی معمولاً در بخشهایی از اندام تناسلی و پوست اطراف آن ظاهر میشود. مهمترین نواحی عبارتند از:
آلت تناسلی: شایعترین محل بروز تبخال در مردان است. تاولها معمولاً در سر آلت، پوست روی آلت یا اطراف آن ایجاد میشوند. این ضایعات ممکن است همراه با سوزش، خارش یا درد باشند.
کیسه بیضه: ویروس میتواند باعث بروز تاولهای پراکنده روی پوست بیضه شود. این نوع تبخال معمولاً خفیفتر است اما در برخی موارد با التهاب یا خارش شدید همراه است.
ناحیه مقعد و باسن: در مردانی که رابطه جنسی مقعدی دارند، تبخال ممکن است در اطراف مقعد یا روی باسن ظاهر شود. این نوع تبخال میتواند با درد هنگام اجابت مزاج و احساس سوزش همراه باشد.
تبخال تناسلی اولیه و عودکننده
تبخال تناسلی در دو نوع اصلی دیده میشود:
تبخال اولیه: اولین بار پس از ورود ویروس به بدن ظاهر میشود. در این مرحله، علائم شدیدتر هستند و معمولاً با تب، درد بدن، ورم غدد لنفاوی و خستگی همراه است. تاولها ممکن است گستردهتر باشند و حدود ۲ تا ۳ هفته طول بکشد تا بهبود یابند. تبخال تناسلی در افراد مجرد
تبخال عودکننده: پس از برطرف شدن مرحله اولیه، ویروس در بدن بهصورت نهفته باقی میماند و ممکن است در شرایطی مانند استرس، ضعف سیستم ایمنی یا قاعدگی دوباره فعال شود. در این حالت علائم خفیفتر بوده و معمولاً ظرف چند روز برطرف میشوند.
عوامل تحریککننده بروز تبخال تناسلی
برخی شرایط باعث فعال شدن مجدد ویروس هرپس در بدن میشوند، از جمله:
-
استرس شدید جسمی یا روانی
-
بیماریهای مزمن یا تب
-
تغییرات هورمونی در دوران قاعدگی
-
خواب ناکافی یا تغذیه نامناسب
-
تماس جنسی بدون محافظت با فرد آلوده
علائم همراه تبخال تناسلی
علاوه بر تاولها و زخمهای دردناک، تبخال تناسلی ممکن است با علائم زیر همراه باشد: آیا تبخال لب باعث تبخال تناسلی می شود نی نی سایت
-
سوزش و خارش در ناحیه تناسلی
-
درد هنگام ادرار کردن
-
تورم غدد لنفاوی در کشاله ران
-
ترشح از واژن یا مجرای ادرار
-
تب و احساس خستگی در موارد شدید شکل ظاهری تبخال تناسلی در مردان
راههای پیشگیری از تبخال تناسلی
پیشگیری از تبخال تناسلی اهمیت زیادی دارد زیرا این ویروس قابل درمان قطعی نیست و تنها میتوان شدت و دفعات عود آن را کنترل کرد. اقدامات پیشگیرانه شامل موارد زیر است:
-
پرهیز از رابطه جنسی با فردی که علائم فعال تبخال دارد
-
استفاده از کاندوم در روابط جنسی (اگرچه کاندوم صددرصد مؤثر نیست)
-
اجتناب از تماس مستقیم با تاولها یا زخمهای تبخال
-
تقویت سیستم ایمنی بدن با تغذیه مناسب و خواب کافی
درمان تبخال تناسلی
درمان تبخال تناسلی معمولاً بر کنترل علائم و کاهش مدت زمان عود تمرکز دارد. داروهای ضدویروس مانند آسیکلوویر (Acyclovir)، والاسیکلوویر (Valacyclovir) یا فامسیکلوویر (Famciclovir) به کاهش شدت علائم و کوتاهتر شدن دوره بیماری کمک میکنند.
در دوره فعال بیماری، شستشوی ملایم ناحیه با آب ولرم، استفاده از لباسهای نخی، و پرهیز از خاراندن تاولها میتواند باعث تسریع روند بهبودی شود. همچنین مصرف زیاد مایعات و استراحت کافی توصیه میشود.
جمعبندی
تبخال تناسلی بیماری شایعی است که میتواند در نواحی مختلف دستگاه تناسلی زنان و مردان ظاهر شود، از جمله واژن، دهانه رحم، آلت، بیضهها، باسن و مقعد. اگرچه درمان قطعی برای این ویروس وجود ندارد، اما با رعایت اصول بهداشتی، استفاده از داروهای ضدویروس و تقویت سیستم ایمنی بدن میتوان از بروز مکرر آن جلوگیری کرد. آگاهی از محلهای بروز تبخال، علائم هشداردهنده و روشهای پیشگیری میتواند به افراد کمک کند تا سلامت جنسی خود را حفظ کنند و در صورت مشاهده علائم، بهموقع به پزشک مراجعه نمایند.
تبخال تناسلی در زنان چقدر طول میکشد؟
تبخال تناسلی یکی از شایعترین عفونتهای ویروسی دستگاه تناسلی است که توسط ویروس هرپس سیمپلکس (HSV) ایجاد میشود. این بیماری میتواند باعث ایجاد تاولهای دردناک، زخم و ناراحتی در ناحیه تناسلی شود. تبخال تناسلی معمولاً در اثر تماس مستقیم پوست با پوست در حین رابطه جنسی منتقل میشود و بسیاری از زنان ممکن است بدون اینکه متوجه شوند، به این ویروس آلوده باشند. مدت زمان بهبود تبخال تناسلی در زنان بستگی به شدت عفونت، وضعیت سیستم ایمنی بدن و نوع ویروس دارد.
در این مقاله بهصورت کامل توضیح داده میشود که تبخال تناسلی در زنان چقدر طول میکشد، مراحل آن چگونه است، و چه عواملی بر مدت بهبود تأثیر میگذارند.
دلایل ابتلا به تبخال تناسلی در زنان
عامل اصلی ایجاد تبخال تناسلی ویروس هرپس سیمپلکس نوع ۲ (HSV-2) است، هرچند نوع ۱ (HSV-1) که معمولاً در دهان وجود دارد نیز میتواند از طریق رابطه دهانی به ناحیه تناسلی منتقل شود. ویروس از طریق تماس مستقیم با پوست یا ترشحات آلوده وارد بدن میشود و در سلولهای عصبی به حالت غیرفعال باقی میماند تا زمانی که دوباره فعال شود.
عوامل تحریککننده فعال شدن مجدد ویروس شامل موارد زیر است:
-
استرس شدید یا اضطراب
-
تب یا بیماریهای عفونی دیگر
-
تغییرات هورمونی مانند دوران قاعدگی
-
ضعف سیستم ایمنی بدن
-
خستگی مفرط یا کمخوابی
علائم تبخال تناسلی در زنان
اولین نشانههای تبخال تناسلی ممکن است بین ۲ تا ۱۲ روز پس از تماس با ویروس ظاهر شود. علائم معمول عبارتند از:
-
تاولهای کوچک پر از مایع در اطراف واژن، دهانه رحم یا باسن
-
احساس سوزش، خارش یا گزگز در ناحیه تناسلی ایا تبخال تناسلی خوب میشود
-
درد در هنگام ادرار یا رابطه جنسی
-
تورم غدد لنفاوی در کشاله ران
-
تب و احساس خستگی عمومی
این علائم در اولین عفونت شدیدتر و طولانیتر هستند و معمولاً در عودهای بعدی شدت آنها کاهش مییابد.
مدت زمان تبخال تناسلی در زنان
تبخال تناسلی دارای دو مرحله اصلی است: عفونت اولیه و عود مجدد.
مرحله اول یا عفونت اولیه
در اولین بروز تبخال، علائم معمولاً شدیدتر بوده و مدت زمان بیشتری طول میکشد. در این مرحله، تاولها پس از چند روز به زخمهای باز تبدیل میشوند و سپس به تدریج خشک شده و پوسته میبندند. معمولاً کل دوره از آغاز علائم تا بهبود کامل بین ۲ تا ۴ هفته طول میکشد.
در این زمان، ممکن است تب، سردرد، درد عضلانی و احساس ضعف عمومی نیز وجود داشته باشد. اگر سیستم ایمنی بدن ضعیف باشد، روند بهبود ممکن است طولانیتر شود.
مرحله عود مجدد
پس از عفونت اولیه، ویروس در سلولهای عصبی بدن پنهان میماند و ممکن است ماهها یا حتی سالها بعد دوباره فعال شود. در دورههای عود، علائم معمولاً خفیفتر بوده و مدت زمان بهبود کوتاهتر است.
در اغلب موارد، علائم عود تبخال تناسلی در زنان حدود ۷ تا ۱۰ روز طول میکشد. در این دوره ممکن است احساس سوزش یا خارش قبل از ظاهر شدن تاولها بروز کند و سپس ضایعات کوچکتری نسبت به مرحله اول تشکیل شوند.
عوامل مؤثر بر مدت زمان بهبود تبخال تناسلی
چندین عامل میتوانند بر سرعت بهبود و طول مدت تبخال تأثیر بگذارند: شکل ظاهری تبخال تناسلی در زنان
۱. قدرت سیستم ایمنی بدن:
افرادی که سیستم ایمنی قوی دارند، معمولاً زودتر بهبود مییابند. تغذیه مناسب، خواب کافی و کاهش استرس میتواند در تقویت سیستم ایمنی مؤثر باشد.
۲. نوع ویروس (HSV-1 یا HSV-2):
در حالی که هر دو نوع میتوانند تبخال تناسلی ایجاد کنند، نوع ۲ معمولاً باعث عفونتهای مکررتر و طولانیتر میشود.
۳. درمان دارویی به موقع:
استفاده از داروهای ضدویروسی مانند آسیکلوویر، فامسیکلوویر یا والاسیکلوویر میتواند مدت زمان علائم را به میزان قابل توجهی کاهش دهد و از انتقال ویروس جلوگیری کند.
۴. عوامل تحریککننده:
در صورت وجود استرس زیاد، بیماری یا قاعدگی، احتمال عود و طولانیتر شدن تبخال افزایش مییابد.
درمان تبخال تناسلی
در حال حاضر درمان قطعی برای از بین بردن ویروس هرپس وجود ندارد، اما میتوان علائم را کنترل و دورههای عود را کاهش داد. روشهای درمان شامل:
-
داروهای ضدویروسی خوراکی: آسیکلوویر (Acyclovir)، والاسیکلوویر (Valacyclovir) و فامسیکلوویر (Famciclovir) از رایجترین داروها هستند که به کاهش شدت و مدت علائم کمک میکنند.
-
استفاده از کمپرس سرد: برای کاهش درد و التهاب ناحیه توصیه میشود.
-
پوشیدن لباسهای نخی و گشاد: برای تهویه بهتر و جلوگیری از تحریک پوست.
-
نوشیدن آب فراوان و تغذیه سالم: برای بهبود سریعتر بدن و تقویت سیستم ایمنی.
روشهای پیشگیری از عود تبخال تناسلی
-
پرهیز از رابطه جنسی در زمان بروز ضایعات
-
استفاده از کاندوم برای کاهش احتمال انتقال
-
کاهش استرس و خواب کافی
-
مصرف منظم داروهای ضدویروس در صورت عودهای مکرر با تجویز پزشک
-
پرهیز از لمس مستقیم زخمها و شستوشوی دستها پس از تماس با ناحیه آلوده

چه زمانی باید به پزشک مراجعه کرد؟
در صورتی که تبخال برای اولین بار ظاهر شود، ضایعات دردناک باشد یا همراه با تب و خستگی شدید باشد، باید حتماً به پزشک مراجعه شود. همچنین در موارد زیر مراجعه ضروری است:
-
زخمهایی که بیش از ۴ هفته طول میکشند
-
بروز تبخال در دوران بارداری (برای پیشگیری از انتقال به نوزاد)
-
عودهای مکرر و آزاردهنده
-
ضعف سیستم ایمنی یا ابتلا به بیماریهایی مانند ایدز
جمعبندی
مدت زمان تبخال تناسلی در زنان بسته به نوع ویروس و وضعیت سلامت بدن متفاوت است. عفونت اولیه معمولاً بین ۲ تا ۴ هفته طول میکشد، در حالی که عودهای بعدی معمولاً ظرف ۷ تا ۱۰ روز بهبود مییابند. با وجود اینکه درمان قطعی برای این بیماری وجود ندارد، رعایت بهداشت جنسی، استفاده از داروهای ضدویروسی و تقویت سیستم ایمنی میتواند در کنترل بیماری و کاهش مدت علائم نقش مهمی داشته باشد. آگاهی از علائم و مراقبتهای لازم، بهترین راه برای جلوگیری از عوارض و انتقال این بیماری به شریک جنسی است.















دیدگاه کاربران
مطلب بسیار مفید و آموزنده بود، ممنون!
امیدوارم پستهای بیشتری در این زمینه ببینیم.
ارسال دیدگاه