بیماری پسوریازیس پا
پسوریازیس یک بیماری التهابی مزمن پوست است که میتواند در هر نقطهای از بدن ظاهر شود و پاها نیز یکی از محلهای شایع درگیری هستند. پسوریازیس پا شامل پسوریازیس کف پا، انگشتان پا و حتی ناخنهای پا میشود و میتواند موجب درد، خارش و محدودیت در فعالیتهای روزانه فرد شود. این بیماری نه تنها جنبه پوستی دارد، بلکه ممکن است کیفیت زندگی فرد را تحت تأثیر قرار دهد و باعث کاهش توان حرکتی و مشکلات روانی شود. در این مقاله بهطور جامع به بررسی پسوریازیس پا، علائم، علل، روشهای درمان و مدیریت آن میپردازیم.
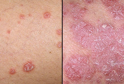
تعریف پسوریازیس پا
پسوریازیس پا نوعی از بیماری پسوریازیس است که پوست، ناخنها و گاهی مفاصل پا را درگیر میکند. در این نوع بیماری، سیستم ایمنی بدن بیشفعال شده و باعث التهاب و افزایش سرعت تولید سلولهای پوستی میشود. این رشد سریع سلولها منجر به ایجاد پلاکهای ضخیم، قرمز و پوستهپوسته روی پوست میشود و میتواند خارش، درد و ناراحتی شدیدی ایجاد کند. عکس بیماری پسوریازیس دست
پسوریازیس پا ممکن است بهصورت تنها یا همراه با پسوریازیس سایر نواحی بدن بروز کند و شدت آن بسته به فرد و نوع پسوریازیس متفاوت است.
علائم پسوریازیس پا
علائم این نوع پسوریازیس میتواند از خفیف تا شدید متفاوت باشد و اغلب شامل موارد زیر است:
-
ایجاد پلاکهای قرمز، ضخیم و پوستهپوسته روی کف پا و انگشتان
-
خارش و سوزش پوست در محل ضایعات
-
ترکهای دردناک در کف پا که راه رفتن را سخت میکند
-
تغییر شکل و رنگ ناخنهای پا (زردی، شکنندگی یا جدا شدن ناخن از بستر)
-
تورم یا التهاب در نواحی اطراف مفاصل انگشتان پا
-
درد هنگام ایستادن یا راه رفتن در موارد شدید
علائم ممکن است به تدریج ظاهر شوند یا بهصورت ناگهانی و شدید بروز کنند، بهویژه پس از محرکهای محیطی یا استرس.
داروی پسوریازیس کشف شد
انواع پسوریازیس پا
پسوریازیس پا میتواند در چندین نوع ظاهر شود که هرکدام ویژگیهای خاص خود را دارند: بهترین پماد برای درمان پسوریازیس
-
پسوریازیس پلاکی پا: شایعترین نوع که با پلاکهای قرمز و پوستهپوسته روی کف و کنارههای پا مشخص میشود.
-
پسوریازیس کف پا (Palmoplantar Psoriasis): باعث ضخیم شدن پوست کف پا، ایجاد ترک و درد هنگام راه رفتن میشود.
-
پسوریازیس ناخن پا: ناخنها دچار تغییر رنگ، فرورفتگی یا جدا شدن از بستر میشوند.
-
پسوریازیس التهابی پا: میتواند با تورم و درد مفصلهای انگشتان پا همراه باشد، که گاهی به آرتریت پسوریاتیک مرتبط است.
علل ایجاد پسوریازیس پا
علت اصلی پسوریازیس پا همانند سایر انواع پسوریازیس، اختلال در عملکرد سیستم ایمنی بدن است. عوامل مختلفی میتوانند باعث شروع یا تشدید بیماری شوند:
-
ژنتیک: وجود سابقه خانوادگی پسوریازیس احتمال ابتلا را افزایش میدهد. قاتل پسوریازیس
-
عوامل محیطی: استرس، خشکی پوست، آسیب یا خراشیدن کف پا و عفونتها میتوانند باعث شعلهور شدن بیماری شوند.
-
داروها: برخی داروها مانند بتابلاکرها، لیتیوم و داروهای ضد مالاریا میتوانند بیماری را تشدید کنند.
-
سبک زندگی: مصرف الکل، سیگار، رژیم غذایی نامناسب و کمتحرکی میتواند روند بیماری را بدتر کند.

تشخیص پسوریازیس پا
تشخیص این نوع پسوریازیس معمولاً توسط متخصص پوست انجام میشود. پزشک بر اساس معاینه بالینی ضایعات پوستی، تاریخچه خانوادگی و علائم بالینی تصمیم میگیرد. در صورت نیاز، نمونهبرداری از پوست (بیوپسی) برای تایید تشخیص انجام میشود. همچنین در صورت شک به درگیری مفاصل، ممکن است پزشک از تصویربرداری مانند رادیوگرافی یا MRI استفاده کند.
تشخیص زودهنگام اهمیت زیادی دارد، زیرا درمان به موقع میتواند از بدتر شدن علائم و ایجاد مشکلات حرکتی جلوگیری کند.
درمان پسوریازیس پا
درمان پسوریازیس پا بسته به شدت بیماری و نوع ضایعات متفاوت است و شامل روشهای زیر میشود:
۱. درمان موضعی:
-
کرمها و پمادهای استروئیدی برای کاهش التهاب و خارش
-
پمادهای مرطوبکننده برای کاهش خشکی و ترکهای پوست
-
پمادهای حاوی ویتامین D برای کاهش رشد سلولهای پوست
۲. درمان سیستمیک:
-
داروهای خوراکی مانند متوترکسات و سیکلوسپورین برای موارد شدید
-
داروهای بیولوژیک برای کنترل بیماری مقاوم به درمانهای دیگر
۳. نوردرمانی:
-
استفاده از اشعه UVB تحت نظارت پزشک میتواند باعث کاهش پلاکها و التهاب شود
۴. مراقبتهای حمایتی:
-
کوتاه نگه داشتن ناخنها برای کاهش آسیب
-
استفاده از کفش راحت و مناسب برای کاهش فشار و اصطکاک
پیشگیری از تشدید بیماری
برای کاهش شدت و جلوگیری از عود پسوریازیس پا، رعایت نکات زیر توصیه میشود:
-
محافظت از پا در برابر آسیب و خراش
-
استفاده از کفشهای مناسب و جلوگیری از تعریق بیشازحد پا
-
کنترل استرس و خواب کافی
-
رژیم غذایی سالم و متعادل، کاهش مصرف الکل و دخانیات
-
پیگیری منظم با پزشک برای تنظیم درمان
تأثیر پسوریازیس پا بر کیفیت زندگی
پسوریازیس پا میتواند محدودیتهای جدی در فعالیتهای روزمره ایجاد کند. درد و ترکهای کف پا باعث مشکل در راه رفتن و انجام ورزش میشوند و درگیری ناخنها ظاهر پا را تحت تأثیر قرار میدهد. همچنین خارش و التهاب مداوم میتواند باعث اختلال خواب و کاهش کیفیت زندگی روانی شود.
آگاهی از علائم و شروع درمان به موقع میتواند این مشکلات را کاهش دهد و زندگی روزمره را برای بیمار آسانتر کند.
نتیجهگیری
پسوریازیس پا یک بیماری مزمن و التهابی است که میتواند کف پا، انگشتان و ناخنها را درگیر کند. هرچند علت آن اختلال در سیستم ایمنی بدن است، عوامل ژنتیکی، محیطی و سبک زندگی نیز نقش مهمی در شروع و تشدید بیماری دارند. درمان قطعی برای پسوریازیس پا وجود ندارد، اما روشهای درمانی موضعی، سیستمیک، بیولوژیک و مراقبتهای حمایتی میتوانند علائم را کنترل کرده و کیفیت زندگی بیمار را بهبود بخشند. تشخیص زودهنگام، رعایت نکات مراقبتی و پیگیری منظم با پزشک کلید مدیریت موفق بیماری و کاهش عود پسوریازیس پا است.
بیماری پسوریازیس دست
پسوریازیس یک بیماری مزمن خودایمنی پوست است که باعث التهاب، قرمزی و پوستهریزی در نواحی مختلف بدن میشود. دستها یکی از رایجترین نواحی درگیر این بیماری هستند، زیرا همیشه در معرض عوامل محیطی و تماس با مواد شیمیایی، آب و سایش قرار دارند. پسوریازیس دست میتواند فعالیتهای روزمره را محدود کرده و باعث ناراحتی و کاهش کیفیت زندگی فرد شود. در این مقاله به بررسی کامل علل، علائم، انواع و روشهای درمان پسوریازیس دست میپردازیم.
علت بروز پسوریازیس دست
پسوریازیس دست، مانند دیگر انواع پسوریازیس، ناشی از اختلال در عملکرد سیستم ایمنی بدن است. در این بیماری، سیستم ایمنی به اشتباه سلولهای پوست را هدف قرار میدهد و باعث افزایش سرعت تولید سلولهای پوستی میشود. این تولید سریع سلولها منجر به تجمع سلولهای مرده و تشکیل پلاکهای ضخیم، قرمز و پوستهریزی شده میشود. عوامل ژنتیکی، استرس، عفونتها و تماس با مواد محرک مانند شویندهها و مواد شیمیایی میتوانند بیماری را تشدید کنند.
انواع پسوریازیس دست
پسوریازیس دست میتواند به چندین شکل ظاهر شود که مهمترین آنها عبارتاند از:
-
پسوریازیس پلاکی (Plaque Psoriasis):
رایجترین نوع پسوریازیس دست است که با پلاکهای ضخیم، قرمز و پوشیده از پوسته سفید یا نقرهای مشخص میشود. این پلاکها معمولاً در نواحی پشت دست و بین انگشتان مشاهده میشوند. -
پسوریازیس کف دست و پا (Palmar and Plantar Psoriasis):
در این نوع، پوست کف دستها ضخیم و ترکخورده میشود و گاهی دردناک است. این حالت میتواند فعالیتهای روزمره مانند نوشتن، آشپزی یا گرفتن اشیاء را مختل کند. -
پسوریازیس قطرهای (Guttate Psoriasis):
این نوع کمتر شایع است و با لکههای کوچک و قطرهای شکل بر روی پوست دست ظاهر میشود. معمولاً پس از عفونتهای ویروسی یا باکتریایی ایجاد میشود. -
پسوریازیس ناخن دست (Nail Psoriasis):
پسوریازیس میتواند ناخنها را نیز درگیر کند و باعث فرورفتگی سطح ناخن، تغییر رنگ و شکنندگی آنها شود.
علائم پسوریازیس دست
علائم پسوریازیس دست بسته به شدت و نوع بیماری متفاوت است، اما برخی علائم عمومی عبارتاند از:
-
قرمزی و التهاب پوست دست
-
پوستهریزی و تشکیل پلاکهای ضخیم
-
خارش، سوزش یا درد در نواحی مبتلا
-
ترک خوردن پوست و خونریزی در موارد شدید
-
تغییرات ناخن مانند فرورفتگیها و شکنندگی
در برخی بیماران، بیماری میتواند فقط یک ناحیه کوچک از دست را درگیر کند، در حالی که در برخی دیگر تمام دستها درگیر شده و فعالیت روزمره را محدود میکند.
روشهای درمان پسوریازیس دست
درمان پسوریازیس دست بسته به شدت بیماری و میزان درگیری پوست متفاوت است. درمانها معمولاً شامل درمان موضعی، سیستمیک و تغییر سبک زندگی میشوند.
-
درمان موضعی:
پمادها و کرمهای موضعی اولین خط درمان پسوریازیس دست هستند. این داروها شامل: عکس بیماری پسوریازیس صورت
-
کورتیکواستروئیدهای موضعی: کاهش التهاب، خارش و قرمزی. نمونههایی مانند بتامتازون و کلوبتازول.
-
ترکیبات ویتامین D: مانند کلسیپوتریول برای کاهش سرعت رشد سلولهای پوستی.
-
مرطوبکنندهها: حفظ رطوبت پوست و کاهش ترک خوردگی و خشکی.
-
درمان سیستمیک:
در موارد شدید یا مقاوم به درمان موضعی، داروهای خوراکی یا تزریقی برای کاهش فعالیت سیستم ایمنی تجویز میشوند. این داروها شامل متوترکسات، سیکلوسپورین و بیولوژیکها مانند آدالیموماب هستند. -
نوردرمانی (Phototherapy):
در این روش پوست دستها تحت تابش نور فرابنفش قرار میگیرد تا رشد سلولهای پوستی کند شود و التهاب کاهش یابد. -
تغییر سبک زندگی:
-
اجتناب از تماس با مواد محرک مانند شویندهها و مواد شیمیایی
-
استفاده از دستکش در هنگام شستوشو یا کار با مواد شیمیایی
-
کاهش استرس و رعایت رژیم غذایی سالم برای کنترل التهاب
عوارض پسوریازیس دست
اگر پسوریازیس دست درمان نشود یا کنترل ضعیفی داشته باشد، میتواند عوارضی ایجاد کند از جمله: عکس بیماری پسوریازیس سر
-
ترک عمیق پوست و خونریزی
-
عفونت ثانویه پوست به دلیل باز شدن ترکها
-
کاهش کیفیت زندگی به دلیل درد، خارش و ظاهر ناخوشایند دستها
تفاوت پسوریازیس دست با بیماریهای مشابه
برخی بیماریها مانند اگزما یا قارچ پوست میتوانند مشابه پسوریازیس دست به نظر برسند. اما تفاوتهای کلیدی عبارتاند از:
-
اگزما: خارش شدید و ترشح مایع از نواحی آسیبدیده بیشتر از پسوریازیس است و پوستهریزی به شکل پلاکهای ضخیم مشاهده نمیشود.
-
قارچ پوست: معمولاً یک طرف دست را درگیر میکند و نواحی اطراف پوست سالم هستند، در حالی که پسوریازیس دست ممکن است دو طرف دست را درگیر کند.
پیشگیری و کنترل پسوریازیس دست
-
مرطوب نگه داشتن پوست به صورت روزانه
-
محافظت از دستها در برابر مواد شیمیایی و آب زیاد
-
درمان سریع ضایعات پوستی برای جلوگیری از گسترش بیماری
-
کنترل استرس و رعایت سبک زندگی سالم
-
مراجعه منظم به متخصص پوست برای بررسی پیشرفت بیماری و تنظیم درمان
نتیجهگیری
پسوریازیس دست یک بیماری مزمن است که میتواند زندگی روزمره فرد را تحت تأثیر قرار دهد. شناخت علائم، تشخیص به موقع و استفاده از روشهای درمانی مناسب میتواند کنترل بیماری را آسانتر کند و از عوارض طولانیمدت جلوگیری نماید. ترکیب درمان موضعی، سیستمیک و تغییر سبک زندگی بهترین راهکار برای مدیریت این بیماری است. رعایت بهداشت، محافظت از دستها و مشاوره با پزشک متخصص کلید موفقیت در کاهش علائم و بهبود کیفیت زندگی بیماران مبتلا به پسوریازیس دست است.

درمان خانگی پسوریازیس
پسوریازیس یکی از بیماریهای مزمن و التهابی پوست است که در اثر اختلال در سیستم ایمنی بدن ایجاد میشود. در این بیماری، سلولهای پوست با سرعتی بسیار بیشتر از حالت طبیعی رشد میکنند و همین امر منجر به پوستهریزی، خارش، قرمزی و التهاب میشود. اگرچه درمان قطعی برای پسوریازیس وجود ندارد، اما روشهای خانگی و طبیعی متعددی میتوانند به کاهش علائم، بهبود ظاهر پوست و جلوگیری از عود بیماری کمک کنند. در این مقاله بهطور کامل و علمی درباره مؤثرترین درمانهای خانگی پسوریازیس، مراقبتهای روزمره و توصیههای تغذیهای صحبت خواهیم کرد.
پسوریازیس چیست و چرا به وجود میآید؟
پسوریازیس یک بیماری خودایمنی است که در آن سیستم ایمنی بدن به اشتباه به سلولهای سالم پوست حمله میکند. این فرآیند باعث میشود چرخه رشد سلولهای پوست از حدود ۲۸ روز به ۳ تا ۴ روز کاهش یابد و سلولهای مرده بهسرعت روی سطح پوست انباشته شوند. نتیجه این فرآیند، ایجاد پوستههای ضخیم و نقرهایرنگ همراه با خارش و التهاب است.
عوامل متعددی میتوانند باعث تشدید یا بروز پسوریازیس شوند، از جمله:
-
ژنتیک و سابقه خانوادگی بیماری
-
استرس و فشارهای روحی
-
عفونتهای باکتریایی یا ویروسی پسوریازیس خفیف
-
مصرف برخی داروها مانند بتابلوکرها و لیتیوم
-
مصرف زیاد الکل و سیگار
-
تغییرات آب و هوایی، بهویژه هوای سرد و خشک
درمان خانگی پسوریازیس با روشهای طبیعی
روشهای خانگی درمان پسوریازیس معمولاً بهمنظور کاهش التهاب، تسکین خارش و نرم کردن پوست به کار میروند. این روشها جایگزین درمان پزشکی نیستند، اما میتوانند در کنار درمان دارویی، تأثیر بسیار مثبتی داشته باشند.
استفاده از روغن نارگیل
روغن نارگیل یکی از بهترین درمانهای طبیعی برای پسوریازیس است. این روغن خاصیت ضدالتهابی و ضدباکتریایی دارد و به نرم شدن پوستههای خشک کمک میکند. کافی است روزانه مقدار کمی روغن نارگیل خالص را روی نواحی مبتلا ماساژ دهید و اجازه دهید چند ساعت روی پوست بماند. استفاده از این روغن پس از حمام نیز میتواند از خشکی پوست جلوگیری کند.
درمان با آلوئهورا
ژل آلوئهورا به دلیل داشتن ترکیبات ضدالتهاب و آبرسان، یکی از مؤثرترین مواد طبیعی برای تسکین علائم پسوریازیس است. ژل طبیعی آلوئهورا را مستقیماً از برگ گیاه استخراج کرده و روی پوست بمالید. این کار را روزی دو تا سه بار تکرار کنید. آلوئهورا باعث کاهش قرمزی، خارش و پوستهریزی میشود.
حمام با نمک دریا یا نمک اپسوم
نمک دریا و نمک اپسوم حاوی مواد معدنی مفیدی مانند منیزیم هستند که میتوانند پوست را تسکین دهند. افزودن دو فنجان نمک اپسوم به آب گرم و قرار گرفتن در آن به مدت ۱۵ تا ۲۰ دقیقه در هفته چند بار میتواند پوستههای ضخیم را نرم کرده و خارش را کاهش دهد. بعد از حمام حتماً پوست خود را با کرم مرطوبکننده نرم کنید تا از خشکی بیشتر جلوگیری شود.
استفاده از سرکه سیب
سرکه سیب خاصیت ضدباکتریایی دارد و برای تسکین خارش و التهاب پوست سر در بیماران مبتلا به پسوریازیس مفید است. میتوانید یک واحد سرکه سیب را با یک واحد آب مخلوط کرده و با پنبه روی پوست سر بمالید. پس از ۱۰ دقیقه آن را با آب بشویید. این روش برای پوستهای حساس توصیه نمیشود، زیرا ممکن است باعث سوزش شود.
استفاده از روغن زیتون
روغن زیتون سرشار از آنتیاکسیدان و اسیدهای چرب مفید است که به ترمیم سلولهای آسیبدیده پوست کمک میکند. میتوانید مقداری روغن زیتون را کمی گرم کرده و روی پوست یا کف سر ماساژ دهید. این روغن علاوه بر نرم کردن پوستهها، باعث کاهش التهاب میشود.
حمام با جو دوسر
جو دوسر یک تسکیندهنده طبیعی پوست است که خارش و تحریک ناشی از پسوریازیس را کاهش میدهد. برای تهیه حمام جو دوسر، یک فنجان جو دوسر آسیابشده را در آب گرم حل کنید و به مدت ۲۰ دقیقه در آن بنشینید. این روش برای نواحی بدن مانند آرنج، زانو و پشت بسیار مفید است.
درمان با زردچوبه
زردچوبه یکی از قویترین ضدالتهابهای طبیعی است و مصرف منظم آن میتواند در کاهش علائم پسوریازیس نقش داشته باشد. ماده فعال زردچوبه یعنی کورکومین باعث مهار فعالیت بیش از حد سیستم ایمنی میشود. میتوانید زردچوبه را به غذا اضافه کنید یا بهصورت چای زردچوبه مصرف نمایید. همچنین ترکیب زردچوبه با عسل بهعنوان ماسک موضعی روی پوست قابل استفاده است.
نور آفتاب و پسوریازیس
قرار گرفتن ملایم در معرض نور خورشید میتواند در درمان پسوریازیس مؤثر باشد، زیرا اشعه UVB روند رشد سلولهای پوست را کند میکند. روزانه حدود ۱۰ تا ۱۵ دقیقه قرار گرفتن در نور مستقیم خورشید میتواند مفید باشد. با این حال، از قرار گرفتن طولانیمدت در آفتاب خودداری کنید تا دچار آفتابسوختگی نشوید.
کاهش استرس
استرس یکی از مهمترین عوامل تشدیدکننده پسوریازیس است. برای کنترل بهتر علائم، توصیه میشود از تکنیکهای آرامسازی مانند مدیتیشن، یوگا، تنفس عمیق و پیادهروی منظم استفاده کنید. خواب کافی نیز در تنظیم سیستم ایمنی و کاهش التهاب بدن نقش مهمی دارد.
رعایت رژیم غذایی ضدالتهاب
تغذیه نقش مهمی در کنترل پسوریازیس دارد. رژیم غذایی ضدالتهاب میتواند باعث کاهش واکنشهای خودایمنی بدن شود.
مواد غذایی مفید برای بیماران پسوریازیس:
-
ماهیهای چرب مانند سالمون، ساردین و تن
-
روغن زیتون و دانههای چیا
-
میوهها و سبزیجات تازه بهویژه سبزیهای سبز تیره
-
مغزها و آجیلها
-
چای سبز و زردچوبه
غذاهایی که باید از آنها پرهیز کرد:
-
غذاهای سرخکرده و پرچرب
-
قندهای مصنوعی و نوشابهها
-
الکل و سیگار
-
گوشت قرمز زیاد
-
محصولات فرآوریشده مانند فستفودها و سوسیس
مرطوب نگه داشتن پوست
خشکی پوست یکی از عوامل مهم در تشدید پسوریازیس است. استفاده منظم از مرطوبکنندهها باعث نرم شدن پوست و کاهش پوستهریزی میشود. بهتر است از کرمهای بدون عطر و مواد شیمیایی استفاده شود. استفاده از وازلین یا کرمهای حاوی روغن بادام و شیباتر بعد از حمام بسیار مؤثر است. عکس انواع پسوریازیس
استفاده از کمپرس سرد
در زمان خارش و التهاب شدید، استفاده از کمپرس سرد میتواند تسکین فوری ایجاد کند. پارچهای تمیز را در آب سرد خیس کرده و چند دقیقه روی ناحیه ملتهب قرار دهید. این کار به کاهش التهاب و خارش کمک میکند.
درمان پسوریازیس سر با روشهای خانگی
برای پسوریازیس سر میتوان از روغن نارگیل، سرکه سیب و شامپوهای طبیعی استفاده کرد. ترکیب روغن نارگیل و چند قطره روغن درخت چای میتواند به رفع پوستهها و تسکین خارش کمک کند. همچنین شستن موها با شامپوهای بدون سولفات باعث کاهش تحریک پوست سر میشود.
تأثیر خواب و آرامش بر پسوریازیس
بدن در زمان خواب بازسازی میشود و کمبود خواب میتواند سطح التهاب بدن را افزایش دهد. داشتن خواب کافی (حداقل ۷ تا ۸ ساعت در شب) برای بیماران پسوریازیس ضروری است. محیط خواب باید آرام، تاریک و بدون استرس باشد.
جمعبندی
درمان خانگی پسوریازیس با استفاده از روشهای طبیعی میتواند بهطور قابلتوجهی علائم بیماری را کاهش دهد و کیفیت زندگی فرد را بهبود بخشد. استفاده از روغنهای گیاهی، مرطوبکنندهها، نور خورشید، رژیم غذایی سالم و کنترل استرس از مهمترین اصول مراقبتی است. با این حال، در موارد شدید یا زمانی که بیماری بهبود نمییابد، مراجعه به پزشک متخصص پوست ضروری است تا درمانهای دارویی یا نور درمانی برای کنترل بهتر علائم در نظر گرفته شود.
با ترکیب درمانهای خانگی و روشهای علمی پزشکی، میتوان به میزان قابلتوجهی علائم پسوریازیس را کنترل کرده و از بازگشت مکرر آن جلوگیری کرد.













دیدگاه کاربران
مطلب بسیار مفید و آموزنده بود، ممنون!
امیدوارم پستهای بیشتری در این زمینه ببینیم.
ارسال دیدگاه