قارچ دستگاه تناسلی مردان
قارچ دستگاه تناسلی مردان یکی از مشکلات شایع است که میتواند باعث سوزش، خارش، قرمزی و ناراحتی در ناحیه آلت تناسلی شود. این عفونت معمولاً توسط قارچهای گونه کاندیدا آلبیکنس ایجاد میشود و میتواند در شرایط مختلف رشد کرده و علائم آزاردهنده ایجاد کند. شناخت علل، علائم، روشهای تشخیص و درمان قارچ تناسلی اهمیت زیادی دارد تا سلامت مردان حفظ شود و عوارض طولانیمدت پیشگیری گردد.
علل ایجاد قارچ دستگاه تناسلی مردان
عوامل متعددی میتوانند زمینهساز ایجاد عفونت قارچی در دستگاه تناسلی مردان باشند که مهمترین آنها عبارتند از:
-
رطوبت و عدم تهویه مناسب ناحیه تناسلی: پوشیدن لباسهای تنگ و مرطوب باعث افزایش رشد قارچ میشود.
-
ضعف سیستم ایمنی: بیماریهای مزمن مانند دیابت یا مصرف داروهای سرکوبکننده سیستم ایمنی خطر ابتلا به قارچ را افزایش میدهند.
-
بهداشت ناصحیح: عدم شستشوی مناسب ناحیه تناسلی میتواند محیط را برای رشد قارچ فراهم کند.
-
تماس جنسی با فرد آلوده: عفونت قارچی ممکن است از طریق تماس جنسی منتقل شود، اگرچه این شایعترین روش نیست.
-
استفاده از آنتیبیوتیکها: مصرف طولانیمدت آنتیبیوتیکها میتواند تعادل میکروبی طبیعی پوست و غشاها را به هم زده و رشد قارچ را تشدید کند.
علائم قارچ دستگاه تناسلی مردان
علائم قارچ تناسلی میتواند متغیر باشد و بسته به شدت عفونت متفاوت باشد. شایعترین علائم شامل موارد زیر است:
-
قرمزی و التهاب: پوست ناحیه آلت تناسلی ممکن است قرمز و ملتهب شود.
-
خارش و سوزش: خارش شدید و سوزش در هنگام ادرار یا تماس با لباس شایع است.
-
ترشحات سفید: ممکن است ترشح سفید و غلیظ شبیه پنیر مشاهده شود.
-
ترکها یا لکههای پوستی: در موارد شدید، ترکهای کوچک یا لکههای پوستی ایجاد میشود.
-
درد و ناراحتی در زمان رابطه جنسی: در صورت ابتلای شدید، فعالیت جنسی میتواند با درد همراه باشد.
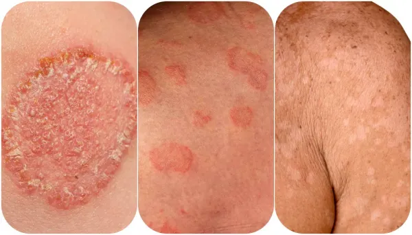
بیماریهای پوستی دستگاه تناسلی مردان با عکس
روشهای تشخیص
تشخیص قارچ دستگاه تناسلی مردان معمولاً توسط اورولوژیست یا متخصص پوست و مو انجام میشود و شامل مراحل زیر است:
-
معاینه بالینی: بررسی ظاهر، رنگ و سطح پوست آلت تناسلی و کیسه بیضه
-
نمونهبرداری و آزمایش میکروسکوپی: برای شناسایی نوع قارچ و تأیید عفونت
-
کشت قارچی: در مواردی که تشخیص قطعی نیاز باشد، نمونه پوست یا ترشح برای کشت قارچ ارسال میشود
درمان قارچ دستگاه تناسلی مردان
درمان قارچ تناسلی بسته به شدت عفونت و شرایط بیمار متفاوت است و شامل روشهای زیر میباشد:
-
داروهای موضعی ضد قارچ: کرمها و پمادهای حاوی کلوتریمازول، میکونازول یا کتوکونازول برای عفونتهای خفیف تا متوسط موثر هستند.
-
داروهای خوراکی ضد قارچ: در موارد شدید یا مقاوم، پزشک ممکن است داروهای خوراکی مانند فلوکونازول تجویز کند.
-
رعایت بهداشت ناحیه تناسلی: شستشو منظم با آب ولرم و خشک کردن کامل ناحیه
-
اجتناب از لباسهای تنگ و مرطوب: استفاده از لباسهای نخی و آزاد برای تهویه مناسب
-
قطع مصرف آنتیبیوتیک غیرضروری: برای جلوگیری از تشدید عفونت قارچی

پیشگیری از قارچ دستگاه تناسلی مردان
برای کاهش خطر ابتلا به عفونت قارچی، مردان میتوانند اقدامات پیشگیرانه زیر را رعایت کنند: علت تاول در ناحیه تناسلی مردان
-
شستشوی منظم ناحیه تناسلی با آب و صابون ملایم
-
خشک کردن کامل پوست بعد از شستشو یا تعریق عکس اگزما ناحیه تناسلی مردان
-
استفاده از لباسهای نخی و آزاد و تعویض لباس زیر روزانه
-
کنترل بیماریهای مزمن مانند دیابت
-
اجتناب از تماس جنسی با افراد مبتلا به عفونت فعال
عوارض در صورت عدم درمان
در صورت عدم درمان به موقع، قارچ دستگاه تناسلی مردان میتواند باعث عوارض زیر شود:
-
تشدید خارش و التهاب و ایجاد ترکهای دردناک پماد درمان پوسته پوسته شدن ناحیه تناسلی مردان
-
گسترش عفونت به سایر قسمتهای بدن درمان خانگی عفونت دستگاه تناسلی مردان
-
عفونت ثانویه باکتریایی
-
ایجاد مشکلات جنسی و کاهش کیفیت زندگی
زمان مراجعه فوری به پزشک
لازم است در صورت مشاهده علائم زیر فوراً به پزشک مراجعه شود:
-
افزایش درد و التهاب ناحیه آلت تناسلی
-
ترشحات غیرطبیعی و بدبو
-
خونریزی یا ترکهای شدید پوستی
-
علائم سیستمیک مانند تب و ضعف عمومی
-
عدم بهبود علائم پس از درمان اولیه آنتی بیوتیک برای عفونت دستگاه تناسلی مردان
جمعبندی
قارچ دستگاه تناسلی مردان یک مشکل شایع و قابل درمان است که در صورت تشخیص و درمان به موقع، به راحتی کنترل میشود. رعایت بهداشت، استفاده از داروهای ضد قارچ، پوشش مناسب و پیگیری درمان توسط پزشک متخصص میتواند از عوارض طولانیمدت جلوگیری کرده و سلامت ناحیه تناسلی مردان را حفظ کند. شناخت علائم و پیشگیری از عوامل خطر، نقش مهمی در کاهش ابتلا و عود عفونت قارچی دارد.
نام پماد ضد قارچ دستگاه تناسلی مردان
عفونتهای قارچی دستگاه تناسلی مردان یکی از مشکلات شایع است که میتواند باعث خارش، سوزش، التهاب و ایجاد لکههای سفید یا قرمز روی آلت تناسلی شود. تشخیص به موقع و درمان صحیح این عفونتها اهمیت زیادی دارد، زیرا در غیر این صورت ممکن است مشکل مزمن شود یا به شریک جنسی منتقل گردد. یکی از اصلیترین روشهای درمان، استفاده از پمادهای ضد قارچ موضعی است. در این مقاله به طور جامع به معرفی پمادهای ضد قارچ، نحوه استفاده، علائم همراه و نکات پیشگیری پرداخته شده است.
علائم عفونت قارچی دستگاه تناسلی مردان
عفونتهای قارچی در مردان معمولاً با علائم مشخصی همراه هستند که شامل:
-
خارش شدید در ناحیه آلت تناسلی
-
سوزش هنگام ادرار یا تماس جنسی
-
قرمزی و التهاب پوست کلاهک و سطح آلت
-
وجود لکههای سفید یا خاکستری روی پوست
-
ترشح غیرطبیعی در موارد پیشرفته
-
ترکهای کوچک یا خشکی پوست
تشخیص دقیق توسط پزشک متخصص اورولوژی یا پوست اهمیت دارد تا نوع قارچ مشخص شده و درمان مناسب تجویز شود.
دلایل بروز عفونت قارچی
عوامل متعددی میتوانند زمینهساز بروز عفونت قارچی در مردان شوند:
-
رطوبت طولانی مدت در ناحیه تناسلی ناشی از تعریق یا لباس تنگ
-
ضعف سیستم ایمنی به دلیل بیماری یا مصرف دارو
-
تماس با شریک جنسی مبتلا به عفونت قارچی
-
بهداشت نامناسب یا استفاده از صابونها و شویندههای تحریککننده
-
بیماریهای زمینهای مانند دیابت که محیط مناسبی برای رشد قارچ ایجاد میکنند
انواع پماد ضد قارچ برای دستگاه تناسلی مردان
پمادهای ضد قارچ معمولاً شامل داروهای موضعی هستند که با مهار رشد قارچ باعث کاهش التهاب و درمان عفونت میشوند. برخی از نامهای تجاری و ترکیبات رایج شامل: پماد برای خارش دستگاه تناسلی مردان
-
کلوتریمازول (Clotrimazole): پماد یا کرم موضعی که برای درمان عفونتهای سطحی ناشی از قارچ مناسب است.
-
میكونازول (Miconazole): کرم ضد قارچ با اثر ضد قارچی گسترده، موثر در درمان عفونتهای قارچی کاندیدا.
-
ترکونازول (Terbinafine): پماد و کرم ضد قارچ با اثر قوی و مناسب برای استفاده روزانه.
-
اکونازول (Econazole): برای درمان قارچهای مقاوم و التهاب شدید پوست.
-
نیتروفوران (Nystatin): مخصوص عفونتهای ناشی از قارچ کاندیدا، معمولاً در موارد مزمن تجویز میشود.

نحوه استفاده از پماد ضد قارچ
برای اثر بخشی بهتر پماد ضد قارچ، رعایت نکات زیر ضروری است:
-
شستوشوی ناحیه تناسلی با آب ولرم و خشک کردن کامل قبل از استفاده
-
استفاده از مقدار کافی پماد و مالیدن به تمام نواحی مبتلا
-
معمولاً روزی یک تا دو بار طبق دستور پزشک استفاده شود
-
ادامه درمان حتی پس از بهبود علائم برای جلوگیری از عود
-
اجتناب از تماس جنسی تا پایان دوره درمان برای پیشگیری از انتقال عفونت
مراقبتهای تکمیلی در طول درمان
برای کاهش عوارض و تسریع روند بهبود، رعایت مراقبتهای زیر توصیه میشود:
-
استفاده از لباس زیر نخی و گشاد برای جلوگیری از رطوبت و گرما
-
خودداری از صابونهای معطر یا مواد تحریککننده
-
پرهیز از خارش یا مالش بیش از حد ناحیه آلوده
-
مصرف داروهای تقویت سیستم ایمنی و تغذیه مناسب
-
در صورت وجود بیماری زمینهای مانند دیابت، کنترل دقیق قند خون

پیشگیری از عفونتهای قارچی
پیشگیری موثر نقش مهمی در کاهش شیوع و شدت عفونت دارد:
-
رعایت بهداشت روزانه و خشک نگه داشتن ناحیه تناسلی
-
استفاده از لباس زیر مناسب و تعویض منظم
-
اجتناب از تماس مستقیم با اشیاء یا پوشاک آلوده
-
استفاده از کاندوم در روابط جنسی برای جلوگیری از انتقال قارچ
-
مدیریت بیماریهای زمینهای و تقویت سیستم ایمنی
زمان مراجعه به پزشک
در صورتی که علائم زیر مشاهده شد، حتماً باید به پزشک متخصص مراجعه شود:
-
خارش یا سوزش شدید که با داروهای معمولی کاهش نمییابد
-
ترشح غیرطبیعی، بوی بد یا خونریزی
-
عدم بهبود پس از یک دوره استفاده از پماد ضد قارچ
-
عود مکرر عفونت یا گسترش لکهها به نواحی دیگر
-
مشکوک بودن به بیماریهای مقاربتی همزمان
جمعبندی
پمادهای ضد قارچ موضعی ابزار اصلی درمان عفونتهای قارچی دستگاه تناسلی مردان هستند و در صورتی که به موقع و درست استفاده شوند، اثر بخشی بالایی دارند. کلوتریمازول، میکونازول، ترابینافین، اکانازول و نیتروستات از پرکاربردترین پمادهای ضد قارچ محسوب میشوند. رعایت بهداشت، پیشگیری از رطوبت و گرما، استفاده از لباس مناسب و پیگیری درمان توسط پزشک متخصص، کلید موفقیت در درمان و جلوگیری از عود عفونت قارچی است.
پماد برای التهاب ناحیه تناسلی مردان
درمان خانگی قارچ دستگاه تناسلی مردان
قارچ دستگاه تناسلی مردان یکی از مشکلات شایع است که میتواند باعث سوزش، خارش، قرمزی و ناراحتی در ناحیه آلت تناسلی شود. در کنار درمانهای دارویی که توسط پزشک تجویز میشود، روشهای خانگی نیز میتوانند به کاهش علائم و تسریع روند بهبود کمک کنند. شناخت روشهای مناسب درمان خانگی، رعایت بهداشت و پیشگیری از عود عفونت، نقش مهمی در حفظ سلامت ناحیه تناسلی مردان دارد.
رعایت بهداشت ناحیه تناسلی
یکی از مهمترین اقدامات در درمان خانگی قارچ دستگاه تناسلی، رعایت بهداشت فردی است. مردان باید ناحیه تناسلی خود را روزانه با آب ولرم و صابون ملایم شستشو دهند و پس از شستشو، پوست را کاملاً خشک کنند. استفاده از حوله نرم و جداگانه برای خشک کردن ناحیه نیز توصیه میشود. عدم رعایت بهداشت میتواند باعث تشدید رشد قارچ و طولانی شدن دوره درمان شود.
استفاده از لباس مناسب
پوشیدن لباسهای تنگ و مرطوب، محیط مناسبی برای رشد قارچ ایجاد میکند. بنابراین استفاده از لباس زیر نخی و آزاد، تعویض روزانه لباس زیر و اجتناب از پوشیدن لباسهای مرطوب یا چسبان میتواند به کاهش علائم کمک کند. همچنین، بعد از ورزش یا تعریق شدید، خشک کردن سریع ناحیه تناسلی اهمیت زیادی دارد.
رژیم غذایی و کنترل قند خون
تغذیه مناسب نقش مهمی در کنترل قارچ دارد. مصرف زیاد قند و مواد شیرین میتواند رشد قارچ را تشدید کند. بنابراین کاهش مصرف شیرینیها و نوشیدنیهای شیرین، افزایش مصرف سبزیجات و میوههای تازه و رعایت رژیم غذایی متعادل به کنترل قارچ کمک میکند. همچنین افرادی که دچار دیابت هستند باید قند خون خود را به طور منظم کنترل کنند تا از عود عفونت جلوگیری شود.
استفاده از درمانهای طبیعی
برخی روشهای طبیعی میتوانند در کاهش علائم قارچ دستگاه تناسلی موثر باشند، از جمله:
-
سرکه سیب: رقیق کردن سرکه سیب با آب و شستشوی ناحیه تناسلی میتواند به کاهش رشد قارچ کمک کند.
-
روغن نارگیل: روغن نارگیل دارای خواص ضدقارچی است و استفاده موضعی آن میتواند خارش و التهاب را کاهش دهد.
-
سیر: سیر دارای خواص ضدقارچی طبیعی است و افزودن آن به رژیم غذایی یا استفاده موضعی رقیق شده میتواند مفید باشد.
-
ماست طبیعی: مصرف ماست پروبیوتیک میتواند به تعادل میکروبی بدن کمک کرده و رشد قارچ را کنترل کند.

اجتناب از عوامل تحریککننده
برخی عادات و محصولات میتوانند عفونت قارچی را تشدید کنند. از جمله:
-
استفاده از صابونهای معطر یا محصولات شوینده قوی
-
رابطه جنسی بدون محافظت با افراد مبتلا
-
مصرف طولانیمدت آنتیبیوتیکها بدون تجویز پزشک
-
تعریق شدید بدون خشک کردن سریع ناحیه تناسلی
با اجتناب از این عوامل، روند بهبود سریعتر شده و خطر عود عفونت کاهش مییابد.
پیگیری علائم و مراجعه به پزشک
اگرچه درمانهای خانگی میتوانند به کاهش علائم کمک کنند، اما در صورت شدت علائم، درد، ترشح یا خونریزی، مراجعه به پزشک متخصص اورولوژی یا پوست و مو ضروری است. پزشک میتواند داروهای ضدقارچ موضعی یا خوراکی تجویز کرده و از پیشرفت عفونت جلوگیری کند. همچنین پیگیری منظم به جلوگیری از عود عفونت کمک میکند.
مزایای روشهای خانگی
روشهای خانگی علاوه بر کاهش علائم، مزایای دیگری نیز دارند:
-
کاهش مصرف داروهای شیمیایی و جلوگیری از عوارض جانبی
-
کنترل بهتر عفونت در موارد خفیف و متوسط
-
پیشگیری از تشدید قارچ و گسترش آن به سایر قسمتهای بدن
-
افزایش آگاهی فرد نسبت به بهداشت و مراقبت از ناحیه تناسلی
جمعبندی
قارچ دستگاه تناسلی مردان یک مشکل شایع و قابل درمان است که در کنار درمان دارویی، روشهای خانگی نقش مهمی در کاهش علائم و پیشگیری از عود دارند. رعایت بهداشت، استفاده از لباس مناسب، تغذیه سالم، بهرهگیری از درمانهای طبیعی و اجتناب از عوامل تحریککننده میتواند روند بهبود را تسریع کند. در عین حال، مراجعه به پزشک در صورت تشدید علائم، اهمیت ویژهای دارد تا از بروز عوارض طولانیمدت جلوگیری شود و سلامت ناحیه تناسلی مردان حفظ گردد.










دیدگاه کاربران
مطلب بسیار مفید و آموزنده بود، ممنون!
امیدوارم پستهای بیشتری در این زمینه ببینیم.
ارسال دیدگاه